Skip to main content

Assessment of coronary artery lesions in children with Kawasaki disease: evaluation of MSCT in comparison with 2-D echocardiography

Abstract

Background

Transthoracic two-dimensional echocardiography is an effective method for detecting coronary arterial injury in Kawasaki disease. However, its accuracy in the diagnosis of coronary arterial lesions is limited.

Objective

To investigate the value of multislice spiral CT for coronary angiography for observing the coronary arterial injury caused by infantile Kawasaki disease.

Materials and methods

Coronary angiography, using a 64-slice spiral CT scanner, and 2-D echocardiography were performed in 48 children with Kawasaki disease in whom the position, internal diameter, and length of each coronary artery were measured.

Results

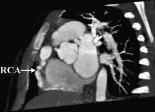
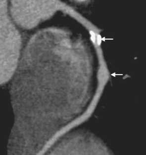
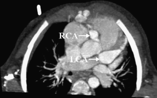
MSCT showed coronary artery injury in 15 of the 48 children. Among these 15 children, 20 coronary artery branches showed complications, including the left coronary artery branches in 15 (31.2%) and the right coronary artery branches in 5 (10.4%). Complications in the left coronary artery branches included dilation in 12 (25.0%) and stenosis, calcification and the combination of the two in one each, and the right coronary artery branches showed dilation; two branches also showed beaded changes. MSCT also showed dilation in the left anterior descending arteries in two children. These children showed no abnormality on 2-D echocardiography.

Conclusion

MSCT is a valuable examination method for detecting coronary artery injury in Kawasaki disease.

This is a preview of subscription content, access via your institution.

Fig. 1
Fig. 2
Fig. 3
Fig. 4

References

  1. Yanagawa H, Yashiro M, Nakamura Y et al (1992) Epidemiologic pictures of Kawasaki disease in Japan: from the nationwide incidence survey in 1991 and 1992. Pediatrics 95:475–479

    Google Scholar 

  2. Burns JC, Kushner HI, Bastian JF et al (2000) Kawasaki disease: a brief history. Pediatrics 106:E27

    Article  CAS  PubMed  Google Scholar 

  3. Kato H, Sugimura T, Akagi T et al (1996) Long-term consequences of Kawasaki disease. A 10- to 21-year follow-up study of 594 patients. Circulation 94:1379–1385

    CAS  PubMed  Google Scholar 

  4. Dajani AS, Taubert KA, Gerber MA et al (1993) Diagnosis and therapy of Kawasaki disease in children. Circulation 87:1776–1780

    CAS  PubMed  Google Scholar 

  5. Taubert KA (1994) Seven-year national survey of Kawasaki disease and acute rheumatic fever. Pediatr Infect Dis J 13:704–708

    CAS  PubMed  Article  Google Scholar 

  6. Mavrogeni S, Papadopoulos G, Karanasios E et al (2008) How to image Kawasaki disease: a validation of different imaging techniques. Int J Cardiol 124:27–31

    Article  PubMed  Google Scholar 

  7. Sohn S, Kim HS, Lee SW (2004) Multidetector row computed tomography for follow-up of patients with coronary artery aneurysms due to Kawasaki disease. Pediatr Cardiol 25:35–39

    Article  CAS  PubMed  Google Scholar 

  8. Chu WC, Mok GC, Lam WW et al (2006) Assessment of coronary artery aneurysms in paediatric patients with Kawasaki disease by multidetector row CT angiography: feasibility and comparison with 2D echocardiography. Pediatr Radiol 36:1148–1153

    Article  PubMed  Google Scholar 

  9. Leschka S, Alkadhi H, Plass A et al (2005) Accuracy of MSCT coronary angiography with 64-slice technology: first experience. Eur Heart J 26:1482–1487

    Article  PubMed  Google Scholar 

  10. Leber AW, Knez A, Becker C et al (2003) Non-invasive intravenous coronary angiography using electron beam tomography and multislice computed tomography. Heart 89:633–639

    Article  CAS  PubMed  Google Scholar 

  11. Newburger JW, Takahashi M, Gerber MA, et al; Committee on Rheumatic Fever, Endocarditis, and Kawasaki Disease, Council on Cardiovascular Disease in the Young, American Heart Association (2004) Diagnosis, treatment, and long-term management of Kawasaki disease: a statement for health professionals from the Committee on Rheumatic Fever, Endocarditis, and Kawasaki Disease, Council on Cardiovascular Disease in the Young, American Heart Association. Pediatrics 114:1708–1733

    Article  PubMed  Google Scholar 

  12. Research Committee on Kawasaki Disease (1984) Report of Subcommittee on Standardization of Diagnostic Criteria and Reporting of Coronary Artery Lesions in Kawasaki Disease. Ministry of Health and Welfare, Tokyo, Japan

  13. Kaichi S, Tsuda E, Fujita H et al (2008) Acute coronary artery dilation due to Kawasaki disease and subsequent late calcification as detected by electron beam computed tomography. Pediatr Cardiol 29:568–573

    Article  CAS  PubMed  Google Scholar 

  14. American Heart Association (2001) 2002 Heart and Stroke Statistical Update. American Heart Association, Dallas, TX

  15. Scanlon P, Faxon D, Audet A et al (1999) ACC/AHA guidelines for coronary angiography. A report of the American College of Cardiology/American Heart Association Task Force on practice guidelines (Committee on Coronary Angiography). Developed in collaboration with the Society for Cardiac Angiography and Interventions. J Am Coll Cardiol 33:1756–1824

    Article  CAS  PubMed  Google Scholar 

  16. Bashore TM, Bates ER, Berger PB et al; American College of Cardiology. Task Force on Clinical Expert Consensus Documents (2001) American College of Cardiology/Society for Cardiac Angiography and Interventions Clinical Expert Consensus Document on cardiac catheterization laboratory standards. A report of the American College of Cardiology Task Force on Clinical Expert Consensus Documents. J Am Coll Cardiol 37:2170–2214

    Article  CAS  PubMed  Google Scholar 

  17. Yu X, Hamamichi Y, Ichida F et al (2001) Dipyridamole stress ultrasonic myocardial tissue characterization in patients with Kawasaki disease. J Am Soc Echocardiogr 14:682–690

    Article  CAS  PubMed  Google Scholar 

  18. Mavrogeni S, Papadopoulos G, Douskou M et al (2004) Magnetic resonance angiography is equivalent to X-ray coronary angiography for the evaluation of coronary arteries in Kawasaki disease. J Am Coll Cardiol 43:649–652

    Article  PubMed  Google Scholar 

  19. Greil GF, Stuber M, Botnar RM et al (2002) Coronary magnetic resonance angiography in adolescents and young adults with Kawasaki disease. Circulation 105:908–911

    Article  PubMed  Google Scholar 

  20. Sato Y, Kato M, Inoue F et al (2003) Detection of coronary artery aneurysms, stenoses and occlusions by multislice spiral computed tomography in adolescents with Kawasaki disease. Circ J 67:427–430

    Article  PubMed  Google Scholar 

  21. Nieman K, Cademartiri F, Raaijmakers R et al (2003) Noninvasive angiographic evaluation of coronary stents with multi-slice spiral computed tomography. Herz 28:136–142

    Article  PubMed  Google Scholar 

  22. Francone M, Napoli A, Carbone I et al (2007) Noninvasive imaging of the coronary arteries using a 64-row multidetector CT scanner: initial clinical experience and radiation dose concerns. Radiol Med 112:31–46

    Article  CAS  PubMed  Google Scholar 

Download references

Author information

Affiliations

Authors

Corresponding author

Correspondence to Xianyi Yu.

Rights and permissions

Reprints and Permissions

About this article

Cite this article

Xing, Y., Wang, H., Yu, X. et al. Assessment of coronary artery lesions in children with Kawasaki disease: evaluation of MSCT in comparison with 2-D echocardiography. Pediatr Radiol 39, 1209–1215 (2009). https://doi.org/10.1007/s00247-009-1364-9

Download citation

  • Received:

  • Revised:

  • Accepted:

  • Published:

  • Issue Date:

  • DOI: https://doi.org/10.1007/s00247-009-1364-9

Keywords

  • Coronary artery
  • Kawasaki disease
  • MSCT
  • 2D echocardiography
  • Children