Skip to main content

Imaging of American football injuries in children

Abstract

It is estimated that 3.2 million children ages 6 to 14 years participated in organized youth football in the United States in 2007. Approximately 240,000 children play football in the nation’s largest youth football organization, with tackle divisions starting at age 5 years. The number of children playing unsupervised football is much higher, and the overall number of children participating in American football is increasing. Sports are the leading cause of injury-related emergency room visits for teenagers, and football is a leading precipitating athletic activity for these visits. Football is also the most hazardous organized sports in the United States. Though most pediatric football-related injuries are minor, such as abrasions, sprains, and strains of the extremities, football accounts for more major and catastrophic injuries than any other sport. Given football’s popularity with children in the United States, combined with the high rate of injury associated with participation in this activity, radiologists should be familiar with the imaging features and injury patterns seen in this patient population.

This is a preview of subscription content, access via your institution.

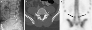
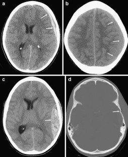
Fig. 1
Fig. 2
Fig. 3
Fig. 4
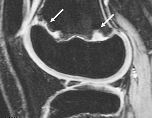
Fig. 5
Fig. 6
Fig. 7
Fig. 8
Fig. 9
Fig. 10
Fig. 11
Fig. 12
Fig. 13
Fig. 14
Fig. 15
Fig. 16
Fig. 17
Fig. 18

References

  1. National Recreation & Parks Association (2008) Youth football initiative. http://www.nrpa.org/newsletter/storyViewer.aspx?templateId=15&editionId=251&contentId=2627. Accessed 13 April 2009

  2. National Federation of State High School Associations. 2006–2007 High School Athletics Participation Summary. http://www.nfhs.org/custom/participation_figures/default.aspx. Accessed 13 April 2009

  3. Pop Warner Little Scholars Inc. (2009) Football overview. http://www.popwarner.com/football/pop.asp. Accessed 10 July 2009

  4. Simon TD, Bublitz C, Hambridge SJ (2006) Emergency department visits among pediatric patients for sports-related injury: basic epidemiology and impact of race/ethnicity and insurance status. Pediatr Emerg Care 22:309–315

    Article  PubMed  Google Scholar 

  5. Turbeville SD, Cowan LD, Asal NR et al (2003) Risk factors for injury in middle school football players. Am J Sports Med 33:276–281

    Google Scholar 

  6. Rome ES (1995) Sports-related injuries among adolescents: when do they occur, and how can we prevent them? Pediatr Rev 16:184–187

    Article  CAS  PubMed  Google Scholar 

  7. Cantu RC (1997) Reflections on head injuries in sport and the concussion controversy (editorial). Clin J Sport Med 7:83–84

    Article  CAS  PubMed  Google Scholar 

  8. Powell JW, Barber-Foss KD (1999) Injury patterns in selected high school sports: a review of the 1995–1997 seasons. J Athl Train 34:277–284

    PubMed  CAS  Google Scholar 

  9. Hutchinson MR, Nasser R (2000) Common sports injuries in children and adolescents. Medscape General Medicine. http://www.medscape.com/viewarticle/408524. Accessed 11 July 2009

  10. Turbeville SD, Cowan LD, Asal NR et al (2003) Risk factors for injury in high school football players. Am J Sports Med 31:974–980

    PubMed  Google Scholar 

  11. Zoch TW, Cleveland DA, McCormick J et al (1996) Football injuries in a rural area. Wis Med J 8:570–573

    Google Scholar 

  12. Mueller FO, Cantu RC (2006) National Center for Catastrophic Sport Injury Research. 24th Annual Report, Fall 1982 – Spring 2006. Injury Prevention Research Center. University of North Carolina, Chapel Hill, NC

  13. Chambers RB (1979) Orthopaedic injuries in athletes (ages 6 to 17). Comparison of injuries occurring in six sports. Am J Sports Med 7:195–197

    Article  CAS  PubMed  Google Scholar 

  14. Goldberg B, Rosenthal PP, Robertson LS et al (1988) Injuries in youth football. Pediatrics 81:255–261

    CAS  PubMed  Google Scholar 

  15. Wasudev NP, Ho CP (2005) Mechanisms and imaging of football-related injuries. Semin Musculoskel Radiol 9:302–315

    Article  Google Scholar 

  16. Collins CL, Fields SK, Comstock RD (2008) When the rules of the game are broken: what proportion of high school sport-related injuries are related to illegal activity? Inj Prev 14:34–38

    Article  CAS  PubMed  Google Scholar 

  17. Goldhaber G (1993) A national survey about parent awareness of the risk of severe brain injury from playing football. J Athl Train 28:306–311

    PubMed  CAS  Google Scholar 

  18. Kraus JF, Conroy C (1984) Mortality and morbidity from injuries in sports and recreation. Annu Rev Public Health 5:163–192

    Article  CAS  PubMed  Google Scholar 

  19. Mueller FO, Blyth CS (1986) An update on football deaths and catastrophic injuries. The Physician and Sports Medicine 14:139–142

    Google Scholar 

  20. Guskiewicz KM, Weaver NL, Padua DA et al (2000) Epidemiology of concussion in collegiate and high school football players. Am J Sports Med 28:643–650

    CAS  PubMed  Google Scholar 

  21. Powell JW, Barber-Foss KD (1999) Traumatic brain injury in high school athletes. JAMA 282:958–963

    Article  CAS  PubMed  Google Scholar 

  22. Metzl JD (1999) Sports-specific concerns in the young athlete: football. Pediatr Emerg Care 15:363–367

    CAS  PubMed  Article  Google Scholar 

  23. Boden BP, Tacchetti RL, Cantu RC et al (2007) Catastrophic head injuries in high school and collegiate football players. Am J Sports Med 34:1223–1232

    Article  Google Scholar 

  24. Gill SS, Boden BP (2008) The epidemiology of catastrophic spine injuries in high school and college football. Sports Med Arthrosc Rev 16:2–6

    Article  Google Scholar 

  25. Molsa JJ, Tegner Y, Alaranta H et al (1999) Spinal cord injuries in ice hockey in Finland and Sweden from 1980 to 1996. Int J Sports Med 20:64–67

    Article  CAS  PubMed  Google Scholar 

  26. Brown RL, Brunn MA, Garcia VF (2001) Cervical spine injuries in children: a review of 103 patients treated consecutively at a level 1 pediatric trauma center. J Pediatr Surg 36:1107–1114

    Article  CAS  PubMed  Google Scholar 

  27. Lawrence DW, Stewart GW, Christy DM et al (1997) High school football-related cervical spinal cord injuries in Louisiana: the athletes’ perspective. J La State Med Soc 149:27–31

    CAS  PubMed  Google Scholar 

  28. Herman MJ (2006) Cervical spine injuries in the pediatric and adolescent athlete. Instr Course Lect 55:641–666

    PubMed  Google Scholar 

  29. Pang D, Wilerger JE (1982) Spinal cord injury without radiographic abnormalities in children. J Neurosurg 57:114–129

    Article  CAS  PubMed  Google Scholar 

  30. Garry JP, McShane J (1998) Lumbar spondylolysis in adolescent athletes. J Fam Pract 47:145–149

    CAS  PubMed  Google Scholar 

  31. Iwamoto J, Abe H, Tsukimura Y et al (2004) Relationship between radiographic abnormalities of lumbar spine and incidence of low back pain in high school and college football players: a prospective study. Am J Sports Med 32:781–786

    Article  PubMed  Google Scholar 

  32. Wan J, Corvino TF, Greenfield SP et al (2003) Kidney and testicle injuries in team and individual sports: data from the national pediatric trauma registry. J Urol 170:1528–1532

    Article  PubMed  Google Scholar 

  33. Frelinger DP (1978) The ruptured spleen in college athletes: a preliminary report. J Am Coll Health Assoc 26:217

    CAS  PubMed  Google Scholar 

  34. Maki DG, Reich RM (1982) Infectious mononucleosis in the athlete. Am J Sports Med 3:162–173

    Article  Google Scholar 

  35. Burroughs KE (2000) Athletes resuming activity after infectious mononucleosis. Arch Fam Med 9:1122–1123

    Article  CAS  PubMed  Google Scholar 

  36. Rosenberg HK, Markowitz RI, Kolbeg H et al (1991) Normal splenic size in infants and children: sonographic measurements. AJR 157:119–121

    CAS  PubMed  Google Scholar 

  37. Stuart MJ (2005) Gridiron football injuries. In: Maffuli N, Caine DJ (eds) Epidemiology of pediatric sports injuries: team sports. Karger, Basel, pp 62–85

    Chapter  Google Scholar 

  38. MSNBC (2009) Nightly news. 14 April. http://www.msnbc.msn.com/id/3032619/#30216688. Accessed 11 July 2009

  39. Caine D, DiFiori J, Maffulli N (2006) Physeal injuries in children’s and youth sports: reasons for concern? Br J Sports Med 40:749–760

    Article  CAS  PubMed  Google Scholar 

  40. Laor T, Wall EJ, Vu LP (2006) Physeal widening in the knee due to stress injuries in child athletes. AJR 186:1260–1264

    Article  PubMed  Google Scholar 

  41. Marker LB, Klareskov B (1996) Posterior sternoclavicular dislocation: an American football injury. Br J Sports Med 30:71–72

    Article  CAS  PubMed  Google Scholar 

  42. Escobedo EM, Richardson ML, Schyulz YB et al (2007) Increased risk of posterior glenoid labrum tears in football players. AJR 188:193–197

    Article  PubMed  Google Scholar 

  43. Yu J, Ashman C, Jones G (2002) The POLPSA lesion: MR imaging findings with arthroscopic correlation in patients with posterior instability. Skeletal Radiol 31:396–399

    Article  PubMed  Google Scholar 

  44. Porubsky GL, Brown SI, Urbaniak JR (1986) Ulnar artery thrombosis: a sports-related injury. Am J Sports Med 14:170–175

    Article  CAS  PubMed  Google Scholar 

Download references

Acknowledgements

We thank MSGT William C. Vance, military graphic artist, at Lackland AFB, TX, for his invaluable depictions of pediatric football injury mechanisms.

Author information

Affiliations

Authors

Corresponding author

Correspondence to Daniel J. Podberesky.

Additional information

The opinions and assertions contained herein are the private views of the authors and are not to be construed as official or as reflecting the views of the Departments of the Air Force or Defense.

The results of this study were presented at the 45th ICAAC Meeting in December 2005.

Rights and permissions

Reprints and Permissions

About this article

Cite this article

Podberesky, D.J., Unsell, B.J. & Anton, C.G. Imaging of American football injuries in children. Pediatr Radiol 39, 1264–1274 (2009). https://doi.org/10.1007/s00247-009-1359-6

Download citation

  • Received:

  • Revised:

  • Accepted:

  • Published:

  • Issue Date:

  • DOI: https://doi.org/10.1007/s00247-009-1359-6

Keywords

  • Football
  • Sports injuries
  • Pediatric