Skip to main content

Magnetic compression anastomosis as a nonsurgical treatment for esophageal atresia

Abstract

Background

We describe a unique technique to promote a nonsurgical esophageal anastomosis with magnets in children with esophageal atresia.

Objective

To evaluate the efficacy of magnetic lengthening of atretic esophageal ends to produce an anastomosis and to communicate our results after more than 2 years of follow-up.

Materials and methods

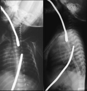
Between September 2001 and March 2004, five children were selected for treatment. Two of the children had esophageal atresia without fistula (type A) and three had atresia with fistula converted to type A surgically; however, surgeons failed to achieve an anastomosis because of the width of the gap. Neodymium-iron-boron magnets were used. Daily chest radiographs were taken until union of the magnets was observed. They were then replaced with an orogastric tube.

Results

Anastomosis was achieved in all patients in an average of 4.8 days. One patient, with signs of early sepsis, was successfully treated with antibiotics. In four of the five patients, esophageal stenosis developed. At the time of this report, two patients were free of treatment and on an oral diet (after 26 months), two patients required periodic balloon dilatation, and one patient had recently undergone surgery due to recurrent esophageal stenosis not amenable to balloon dilatation.

Conclusion

Magnetic esophageal anastomosis is a feasible method in selected patients with esophageal atresia. Esophageal anastomosis was achieved in all patients. The only observed complication of significance was esophageal stenosis. One patient needed surgery because of stenosis.

This is a preview of subscription content, access via your institution.

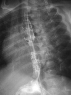
Fig. 1
Fig. 2
Fig. 3
Fig. 4
Fig. 5
Fig. 6

References

  1. Cope C (1995) Creation of compression gastroenterostomy by means of the oral, percutaneous, or surgical introduction of magnets: feasibility study in swine. J Vasc Interv Radiol 6:539–545

    PubMed  Article  CAS  Google Scholar 

  2. Cope C, Ginsberg GG (2001) Long-term patency of experimental magnetic compression gastroenteric anastomoses achieved with covered stents. Gastrointest Endosc 53:780–784

    PubMed  Article  CAS  Google Scholar 

  3. Cope C, Clark TW, Ginsberg G et al (1999) Stent placement of gastroenteric anastomoses formed by magnetic compression. J Vasc Interv Radiol 10:1379–1386

    PubMed  Article  CAS  Google Scholar 

  4. Cope C (1995) Evaluation of compression cholecystogastric and cholecystojejunal anastomoses in swine after peroral and surgical introduction of magnets. J Vasc Interv Radiol 6:546–552

    PubMed  Article  CAS  Google Scholar 

  5. Thomasson BH (1972) Congenital esophageal atresia: mercury bag stretching of the upper pouch in a patient without tracheoesophageal fistula. Surgery 71:661–663

    PubMed  CAS  Google Scholar 

  6. Howell CG, Davis JB Jr, Parrish RA (1987) Primary repair of esophageal atresia: how long a gap? J Pediatr Surg 22:42–43

    PubMed  Article  CAS  Google Scholar 

  7. Nuss D (1977) Successful management of oesophageal atresia type IIIa by oesophageal stretching: a case report. S Afr Med J 52:457–460

    PubMed  CAS  Google Scholar 

  8. de Lorimier AA, Harrison MR (1985) Esophageal atresia: embryogenesis and management. World J Surg 9:250–257

    PubMed  Article  Google Scholar 

  9. Puri P, Blake N, O‘Donnell B et al (1981) Delayed primary anastomosis following spontaneous growth of esophageal segments in esophageal atresia. J Pediatr Surg 16:180–183

    PubMed  Article  CAS  Google Scholar 

  10. Hendren WH, Hale JR (1976) Esophageal atresia treated by electromagnetic bougienage and subsequent repair. J Pediatr Surg 11:713–722

    PubMed  Article  CAS  Google Scholar 

  11. Hendren WH, Hale JR (1975) Electromagnetic bougienage to lengthen esophageal segments in congenital esophageal atresia. N Engl J Med 293:428–432

    PubMed  CAS  Article  Google Scholar 

  12. Takao S, Matsuo Y, Shinchi H et al (2001) Magnetic compression anastomosis for benign obstruction of the common bile duct. Endoscopy 33:988–990

    PubMed  Article  CAS  Google Scholar 

Download references

Acknowledgement

We thank Dr. Kate Feinstein for her continuous support and thoughtful corrections and Fabiana Yampolsky for her help in the translation of the initial manuscript.

Author information

Affiliations

Authors

Corresponding author

Correspondence to Mario Zaritzky.

Rights and permissions

Reprints and Permissions

About this article

Cite this article

Zaritzky, M., Ben, R., Zylberg, G.I. et al. Magnetic compression anastomosis as a nonsurgical treatment for esophageal atresia. Pediatr Radiol 39, 945–949 (2009). https://doi.org/10.1007/s00247-009-1305-7

Download citation

  • Received:

  • Revised:

  • Accepted:

  • Published:

  • Issue Date:

  • DOI: https://doi.org/10.1007/s00247-009-1305-7

Keywords

  • Esophageal atresia
  • Interventional
  • Anastomosis
  • Magnets
  • Children