Skip to main content

Isolated costal cartilage fracture: an unusual cause of an anterior chest mass in a toddler

Abstract

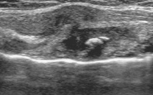
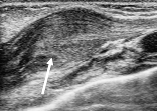
A 17-month-old boy presented with a palpable anterior chest wall mass and was evaluated by chest radiography, sonography, and MRI. No history of trauma was provided initially. Sonography and MRI showed a costal cartilage fracture with overlying hematoma. Identification of a fracture isolated to the costal cartilage is rare and this is a unique case among children. In the appropriate clinical setting, costal cartilage fractures can be confirmed by sonography alone, and follow-up assessment can be based on clinical evaluation without the need for additional cross-sectional imaging.

This is a preview of subscription content, access via your institution.

Fig. 1
Fig. 2
Fig. 3
Fig. 4

References

  1. Ontell FK, Moore EH, Shepard JA et al (1997) The costal cartilages in health and disease. Radiographics 17:571–577

    PubMed  CAS  Google Scholar 

  2. Choi YW, Im JG, Song CS et al (1995) Sonography of the costal cartilage: normal anatomy and preliminary clinical application. J Clin Ultrasound 23:243–250

    PubMed  Article  CAS  Google Scholar 

  3. Griffith JF, Rainer TH, Ching AS et al (1999) Sonography compared with radiography in revealing acute rib fracture. AJR 173:1603–1609

    PubMed  CAS  Google Scholar 

  4. Malghem J, Vande Berg B, Lecouvet F et al (2001) Costal cartilage fractures as revealed on CT and sonography. AJR 176:429–432

    PubMed  CAS  Google Scholar 

  5. Kelloff J, Hulett R, Spivey M (2009) Acute rib fracture diagnosis in an infant by US: a matter of child protection. Pediatr Radiol 39:70–72

    PubMed  Article  Google Scholar 

  6. Smeets AJ, Robben SG, Meradji M (1990) Sonographically detected costo-chondral dislocation in an abused child. A new sonographic sign to the radiological spectrum of child abuse. Pediatr Radiol 20:566–567

    PubMed  Article  CAS  Google Scholar 

  7. Carty H (1997) Non-accidental injury: a review of the radiology. Eur Radiol 7:1365–1376

    PubMed  Article  CAS  Google Scholar 

  8. Donnelly LF, Frush DP (1999) Abnormalities of the chest wall in pediatric patients. AJR 173:1595–1601

    PubMed  CAS  Google Scholar 

Download references

Author information

Affiliations

Authors

Corresponding author

Correspondence to Tal Laor.

Rights and permissions

Reprints and Permissions

About this article

Cite this article

Orth, R.C., Laor, T. Isolated costal cartilage fracture: an unusual cause of an anterior chest mass in a toddler. Pediatr Radiol 39, 985–987 (2009). https://doi.org/10.1007/s00247-009-1276-8

Download citation

  • Received:

  • Revised:

  • Accepted:

  • Published:

  • Issue Date:

  • DOI: https://doi.org/10.1007/s00247-009-1276-8

Keywords

  • Rib fracture
  • Sonography
  • Costal cartilage
  • Child