Skip to main content

Antenatal diagnosis of intestinal malrotation on fetal MRI

Abstract

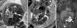
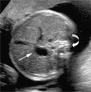
We report a case of intestinal malrotation without any associated GI tract complications diagnosed antenatally by fetal MRI. Antenatal US revealed a midline stomach. Subsequent fetal MRI confirmed the midline stomach and, in addition, revealed all loops of small bowel to the right of the midline and all large bowel to the left. All these features were consistent with intestinal malrotation. There was no abnormal bowel wall thickening, bowel dilatation, ascites or polyhydramnios. To our knowledge, this is a unique case of intestinal malrotation without associated GI tract complications diagnosed antenatally on fetal MRI.

This is a preview of subscription content, access via your institution.

Fig. 1
Fig. 2
Fig. 3

References

  1. Torres AM, Ziegler MM (1993) Malrotation of the intestine. World J Surg 17:326–331

    PubMed  Article  CAS  Google Scholar 

  2. Roberts DJ, Goldstein AM, Graeme-Cook F et al (2007) Gastrointestinal tract and pancreas. In: Gilbert-Barness E, Kapur RP, Oligny LL et al (eds) Potter’s pathology of the fetus, infant and child, 2nd edn. Elsevier, Philadelphia, p 1157

    Google Scholar 

  3. Miyakoshi K, Ishimoto H, Tanigaki S et al (2001) Prenatal diagnosis of midgut volvulus by sonography and magnetic resonance imaging. Am J Perinatol 18:447–450

    PubMed  Article  CAS  Google Scholar 

  4. Veyrac C, Couture A, Saguintaah M et al (2004) MRI of fetal GI tract abnormalities. Abdom Imaging 29:411–420

    PubMed  Article  CAS  Google Scholar 

  5. Filston HC, Kirks DR (1981) Malrotation – the ubiquitous anomaly. J Pediatr Surg 16:614–620

    PubMed  Article  CAS  Google Scholar 

  6. Levin TL, Liebling MS, Ruzal-Shapiro C et al (1995) Midgut malfixation in patients with congenital diaphragmatic hernia: what is the risk of midgut volvulus? Pediatr Radiol 25:259–261

    PubMed  Article  CAS  Google Scholar 

  7. Teele RL, Pease PW, Rowley RS (1998) Malrotation in newborns following antenatal diagnosis of intra-abdominal cyst. Pediatr Radiol 28:717–721

    Article  Google Scholar 

  8. Cassart M, Massez A, Lingier P et al (2006) Sonographic prenatal diagnosis of malpositioned stomach as a feature of uncomplicated intestinal malrotation. Pediatr Radiol 36:358–360

    PubMed  Article  Google Scholar 

Download references

Author information

Affiliations

Authors

Corresponding author

Correspondence to Deepa R. Biyyam.

Rights and permissions

Reprints and Permissions

About this article

Cite this article

Biyyam, D.R., Dighe, M. & Siebert, J.R. Antenatal diagnosis of intestinal malrotation on fetal MRI. Pediatr Radiol 39, 847–849 (2009). https://doi.org/10.1007/s00247-009-1226-5

Download citation

  • Received:

  • Revised:

  • Accepted:

  • Published:

  • Issue Date:

  • DOI: https://doi.org/10.1007/s00247-009-1226-5

Keywords

  • Antenatal
  • Malrotation
  • Fetal MRI