Skip to main content

Multislice CT angiography of interrupted aortic arch

Abstract

Interrupted aortic arch (IAA) is defined as complete luminal and anatomic discontinuity between the ascending and descending aorta. Because almost all patients with IAA become critically ill during the neonatal period, they should undergo urgent corrective surgery. This clinical urgency necessitates a fast and accurate noninvasive diagnostic method. Although echocardiography remains the primary imaging tool for this purpose, it is not always sufficient for planning surgical correction of IAA, principally due to a limited acoustic window and the inexperience of imagers. In this context, multislice CT angiography is regarded as an appropriate imaging technique complementary to echocardiography because it is fast, accurate, and objective for the diagnosis of IAA. In this article we describe what cardiac radiologists should know about IAA in their clinical practice, including clinicopathological features, CT features with contemporary surgical methods and postoperative complications, and differentiation from coarctation of the aorta and aortic arch atresia.

This is a preview of subscription content, access via your institution.

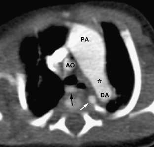
Fig. 1
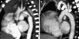
Fig. 2
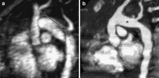
Fig. 3
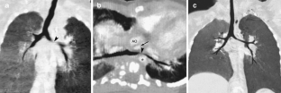
Fig. 4
Fig. 5
Fig. 6
Fig. 7
Fig. 8
Fig. 9
Fig. 10
Fig. 11

References

  1. Celoria GC, Patton RB (1959) Congenital absence of the aortic arch. Am Heart J 58:407–413

    PubMed  Article  CAS  Google Scholar 

  2. Loffredo CA, Ferencz C, Wilson PD et al (2000) Interrupted aortic arch: an epidemiologic study. Teratology 61:368–375

    PubMed  Article  CAS  Google Scholar 

  3. Lewin MB, Lindsay EA, Jurecic V et al (1997) A genetic etiology for interruption of the aortic arch type B. Am J Cardiol 80:493–497

    PubMed  Article  CAS  Google Scholar 

  4. Kreutzer J, Van Praagh R (2000) Comparison of left ventricular outflow tract obstruction in interruption of the aortic arch and in coarctation of the aorta, with diagnostic, developmental, and surgical implications. Am J Cardiol 86:856–862

    PubMed  Article  CAS  Google Scholar 

  5. Krishna CS, Bhan A, Sharma S et al (2005) Interruption of aortic arch in adults: surgical experience with extra-anatomic bypass. Tex Heart Inst J 32:147–150

    Google Scholar 

  6. McCrindle BW, Tchervenkov CI, Konstantinov IE et al (2005) Risk factors associated with mortality and interventions in 472 neonates with interrupted aortic arch: a Congenital Heart Surgeons Society study. J Thorac Cardiovasc Surg 129:343–350

    PubMed  Article  Google Scholar 

  7. Backer CL, Mavroudis C (2000) Congenital Heart Surgery Nomenclature and Database Project: patent ductus arteriosus, coarctation of the aorta, interrupted aortic arch. Ann Thorac Surg 69(4 Suppl):S298–S307

    PubMed  Article  CAS  Google Scholar 

  8. Kaulitz R, Jonas RA, van der Velde ME (1999) Echocardiographic assessment of interrupted aortic arch. Cardiol Young 9:562–571

    PubMed  CAS  Article  Google Scholar 

  9. Cinar A, Haliloglu M, Karagoz T et al (2004) Interrupted aortic arch in a neonate: multidetector CT diagnosis. Pediatr Radiol 34:901–903

    PubMed  Article  Google Scholar 

  10. Lee HY, Lee W, Chung JW et al (2006) Interrupted aortic arch with aberrant subclavian artery: a rare form of arch anomaly demonstrated with multidetector CT and 3D reconstruction. Pediatr Radiol 36:272–273

    PubMed  Article  Google Scholar 

  11. Onbas O, Olgun H, Ceviz N et al (2006) Interrupted aortic arch associated with absence of left common carotid artery: imaging with MDCT. Cardiovasc Intervent Radiol 29:429–431

    PubMed  Article  Google Scholar 

  12. Roche KJ, Krinsky G, Lee VS et al (1999) Interrupted aortic arch: diagnosis with gadolinium-enhanced 3D MRA. J Comput Assist Tomogr 23:197–202

    PubMed  Article  CAS  Google Scholar 

  13. Goo HW, Park IS, Ko JK et al (2003) CT of congenital heart disease: normal anatomy and typical pathologic conditions. Radiographics 23(Spec No):S147–S165

    PubMed  Article  Google Scholar 

  14. Goo HW, Park IS, Ko JK et al (2005) Computed tomography for the diagnosis of congenital heart disease in pediatric and adult patients. Int J Cardiovasc Imaging 21:347–365

    PubMed  Article  Google Scholar 

  15. Gilkeson RC, Ciancibello L, Zahka K (2003) Pictorial essay. Multidetector CT evaluation of congenital heart disease in pediatric and adult patients. AJR 180:973–980

    PubMed  CAS  Google Scholar 

  16. Lee T, Tsai IC, Fu YC et al (2006) Using multidetector-row CT in neonates with complex congenital heart disease to replace diagnostic cardiac catheterization for anatomical investigation: initial experience in technical and clinical feasibility. Pediatr Radiol 36:1273–1282

    PubMed  Article  Google Scholar 

  17. Goo HW, Park IS, Ko JK et al (2005) Visibility of the origin and proximal course of coronary arteries on non-ECG-gated heart CT in patients with congenital heart disease. Pediatr Radiol 35:792–798

    PubMed  Article  Google Scholar 

  18. Goo HW, Suh DS (2006) Tube current reduction in pediatric non-ECG-gated heart CT by combined tube current modulation. Pediatr Radiol 36:344–351

    PubMed  Article  Google Scholar 

  19. Russo V, Renzulli M, La Palombara C et al (2006) Congenital diseases of the thoracic aorta. Role of MRI and MRA. Eur Radiol 16:676–684

    PubMed  Article  Google Scholar 

  20. Goo HW, Yang DH, Park IS et al (2007) Time-resolved three-dimensional contrast-enhanced magnetic resonance angiography in patients who have undergone Fontan operation or bidirectional cavopulmonary connection: initial experience. J Magn Reson Imaging 25:727–736

    PubMed  Article  Google Scholar 

  21. Netter FH, Van Mierop LH (1978) Embryology. In: Netter FH (ed) The CIBA collection of medical illustrations (heart). Ciba Pharmaceutical, New York, pp 112–130

    Google Scholar 

  22. Lee JR, Kwak JG, Ban JE et al (2006) Analysis of the causes of and risk factors for mortality in the surgical repair of interrupted aortic arch. Korean J Thorac Cardiovasc Surg 39:99–105

    Google Scholar 

  23. McElhinney DB, Tworetzky W, Hanley FL et al (1999) Congenital obstructive lesions of the right aortic arch. Ann Thorac Surg 67:1194–1202

    PubMed  Article  CAS  Google Scholar 

  24. Vriend JW, Lam J, Mulder BJ (2004) Complete aortic arch obstruction: interruption or aortic coarctation? Int J Cardiovasc Imaging 20:393–396

    PubMed  Article  CAS  Google Scholar 

  25. Oosterhof T, Azakie A, Freedom RM et al (2004) Associated factors and trends in outcomes of interrupted aortic arch. Ann Thorac Surg 78:1696–1702

    PubMed  Article  Google Scholar 

  26. Momma K, Ando M, Matsuoka R et al (1999) Interruption of the aortic arch associated with deletion of chromosome 22q11 is associated with a subarterial and doubly committed ventricular septal defect in Japanese patients. Cardiol Young 9:463–467

    PubMed  CAS  Google Scholar 

  27. Bove EL, Minich LL, Pridjian AK et al (1993) The management of severe subaortic stenosis, ventricular septal defect, and aortic arch obstruction in the neonate. J Thorac Cardiovasc Surg 105:289–295

    PubMed  CAS  Google Scholar 

  28. al-Marsafawy HM, Ho SY, Redington AN et al (1995) The relationship of the outlet septum to the aortic outflow tract in hearts with interruption of the aortic arch. J Thorac Cardiovasc Surg 109:1225–1236

    PubMed  Article  CAS  Google Scholar 

  29. Blatchford JW 3rd, Franciosi RA, Singh A et al (1987) Vascular ring in interruption of the aortic arch with bilateral patent ductus arteriosi. J Thorac Cardiovasc Surg 94:596–599

    PubMed  Google Scholar 

  30. Konstantinov IE, Karamlou T, Blackstone EH et al (2006) Truncus arteriosus associated with interrupted aortic arch in 50 neonates: a Congenital Heart Surgeons Society study. Ann Thorac Surg 81:214–222

    PubMed  Article  Google Scholar 

  31. Konstantinov IE, Karamlou T, Williams WG et al (2006) Surgical management of aortopulmonary window associated with interrupted aortic arch: a Congenital Heart Surgeons Society study. J Thorac Cardiovasc Surg 131:1136–1141

    PubMed  Article  Google Scholar 

  32. Berry TE, Bharati S, Muster AJ et al (1982) Distal aortopulmonary septal defect, aortic origin of the right pulmonary artery, intact ventricular septum, patent ductus arteriosus and hypoplasia of the aortic isthmus: a newly recognized syndrome. Am J Cardiol 49:108–116

    PubMed  Article  CAS  Google Scholar 

  33. Yoo SJ, Choi HY, Park IS et al (1991) Distal aortopulmonary window with aortic origin of the right pulmonary artery and interruption of the aortic arch (Berry syndrome): diagnosis by MR imaging. AJR 157:835–836

    PubMed  CAS  Google Scholar 

  34. De Caro E, Pongiglione G, Ribaldone D (1998) Interruption of the aortic arch, ventricular septal defect, aortic atresia and aortopulmonary fistulous communication. Int J Cardiol 65:19–21

    PubMed  Article  Google Scholar 

  35. Luciani GB, Ackerman RJ, Chang AC et al (1996) One-stage repair of interrupted aortic arch, ventricular septal defect, and subaortic obstruction in the neonate: a novel approach. J Thorac Cardiovasc Surg 111:348–358

    PubMed  Article  CAS  Google Scholar 

  36. Roussin R, Belli E, Lacour-Gayet F et al (2002) Aortic arch reconstruction with pulmonary autograft patch aortoplasty. J Thorac Cardiovasc Surg 123:443–448

    PubMed  Article  Google Scholar 

  37. Sakakibara Y, Gomi S, Mihara W et al (1999) Late aneurysm of the distal aortic arch after repair of aortic interruption. A case report. Jpn Heart J 40:497–501

    PubMed  Article  CAS  Google Scholar 

  38. Hirooka K, Fraser CD Jr (1997) Ross-Konno procedure with interrupted aortic arch repair in a premature neonate. Ann Thorac Surg 64:249–251

    PubMed  Article  CAS  Google Scholar 

  39. Goo HW (2004) Evaluation of the airways in patients with congenital heart disease using multislice CT. J Korean Pediatr Cardiol Soc 8:37–43

    Google Scholar 

  40. Sakai T, Miki S, Ueda Y et al (1995) Left main bronchus compression after aortic reconstruction for interruption of aortic arch. Eur J Cardiothorac Surg 9:667–669

    PubMed  Article  CAS  Google Scholar 

  41. Pretre R, Friedli B, Rouge JC et al (1996) Anterior translocation of the right pulmonary artery to prevent bronchovascular compression in a case of truncus arteriosus and type A interrupted aortic arch. J Thorac Cardiovasc Surg 111:672–674

    PubMed  Article  CAS  Google Scholar 

  42. Epelman M, Navarro OM, Daneman A et al (2005) M-mode sonography of diaphragmatic motion: description of technique and experience in 278 pediatric patients. Pediatr Radiol 35:661–667

    PubMed  Article  Google Scholar 

Download references

Author information

Affiliations

Authors

Corresponding author

Correspondence to Hyun Woo Goo.

Rights and permissions

Reprints and Permissions

About this article

Cite this article

Yang, D.H., Goo, H.W., Seo, DM. et al. Multislice CT angiography of interrupted aortic arch. Pediatr Radiol 38, 89–100 (2008). https://doi.org/10.1007/s00247-007-0662-3

Download citation

  • Received:

  • Revised:

  • Accepted:

  • Published:

  • Issue Date:

  • DOI: https://doi.org/10.1007/s00247-007-0662-3

Keywords

  • Interrupted aortic arch
  • Multislice CT angiography
  • Infants