Skip to main content

Treatment of giant pulmonary interstitial emphysema by ipsilateral bronchial occlusion with a Swan-Ganz catheter

Abstract

Background

Unilateral giant pulmonary interstitial emphysema (PIE) can be seen as a complication of chronic ventilation in extremely low-birth-weight babies. Many can be managed by conventional pulmonary care which includes positioning, suctioning, chest physiotherapy, gentle conventional ventilation and high-frequency ventilation. Some may need invasive procedures such as lung puncture, pleurotomies and excisional surgery. This is the group in which single-lung ventilation may be beneficial and circumvent the need for an invasive procedure.

Objective

We describe the technique of single-lung ventilation using a Swan-Ganz catheter to block the main stem bronchus on the diseased side in air-leak syndromes.

Materials and methods

A retrospective chart review was done on 17 newborns undergoing single-lung ventilation using this technique at the Children’s Hospital of New York, Columbia University, from 1986 to 2000.

Results

The technique was successful in the management of severe, neonatal unilateral lung disease not responsive to conventional modes of therapy in all but two neonates as seen by a significant improvement in pH and a decrease in PaCO2 levels. In one neonate malpositioning of the Swan-Ganz catheter balloon could have contributed to the development of pneumothorax.

Conclusion

The described technique of single-lung ventilation provides a safe, minimally invasive and economically feasible method of management of unilateral giant PIE in newborns not responsive to conventional modes of therapy with minimal complications.

This is a preview of subscription content, access via your institution.

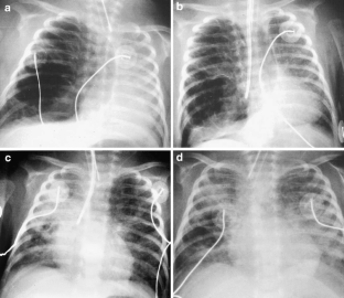
Fig. 1
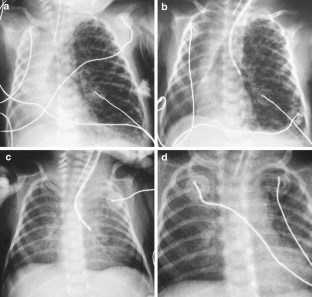
Fig. 2

References

  1. Schwartz AN, Graham CB (1986) Neonatal tension PIE in bronchopulmonary dysplasia: treatment with lateral decubitus positioning. Radiology 161:351–354

    PubMed  CAS  Google Scholar 

  2. Swingle HM, Eggert LD, Bucciarelli RL (1984) New approach to management of unilateral tension PIE in premature infants. Pediatrics 74:354–357

    PubMed  CAS  Google Scholar 

  3. Keszler M, Donn SM, Bucciarelli RL et al (1991) Multicenter controlled trial comparing high frequency jet ventilation and conventional mechanical ventilation in newborn infants with PIE. J Pediatr 119:85–93

    PubMed  Article  CAS  Google Scholar 

  4. Marraro G (1992) Simultaneous independent lung ventilation in pediatric patients. Crit Care Clin 8:131–145

    PubMed  CAS  Google Scholar 

  5. Levine DH, Trump DS, Waterkotte G (1981) Unilateral pulmonary interstitial emphysema: a surgical approach to treatment. Pediatrics 68:510–514

    PubMed  CAS  Google Scholar 

  6. Sugi K, Kaneda Y, Suga K et al (2000) Improvement of contralateral pulmonary function after unilateral lung volume reduction surgery. Ann Thorac Cardiovasc Surg 6:363–368

    PubMed  CAS  Google Scholar 

  7. Randel RC, Mannino Fl (1989) One lung high-frequency ventilation in the management of an acquired neonatal pulmonary cyst. J Perinatol 9:66–68

    PubMed  CAS  Google Scholar 

  8. Ost D, Corbridge T (1996) Independent lung ventilation. Clin Chest Med 17:591–601

    PubMed  Article  CAS  Google Scholar 

  9. MacMahon P, Fleming PJ, Thearle MJ et al (1982) An improved selective bronchial intubation technique for managing severe localized interstitial emphysema. Acta Paediatr Scand 71:151–153

    CAS  Google Scholar 

  10. Hammer GB, Manos SJ, Smith BM et al (1996) Single-lung ventilation in pediatric patients. Anesthesiology 84:1503–1506

    PubMed  Article  CAS  Google Scholar 

  11. Lewis S, Pelausa E, Ojah C et al (1988) Pulmonary interstitial emphysema: selective bronchial occlusion with Swan Ganz catheter. Arch Dis Child 63:313–315

    PubMed  CAS  Article  Google Scholar 

  12. Boucek C, Klain M, Obuchowski N et al (1992) Pulmonary artery catheter monitoring during single-lung ventilation in dogs. J Clin Monit 8:209–215

    PubMed  Article  CAS  Google Scholar 

Download references

Acknowledgement

The authors acknowledge the help of Dr. Robert Cowles in the preparation of this article.

Author information

Affiliations

Authors

Corresponding author

Correspondence to Shantanu Rastogi.

Rights and permissions

Reprints and Permissions

About this article

Cite this article

Rastogi, S., Gupta, A., Wung, JT. et al. Treatment of giant pulmonary interstitial emphysema by ipsilateral bronchial occlusion with a Swan-Ganz catheter. Pediatr Radiol 37, 1130–1134 (2007). https://doi.org/10.1007/s00247-007-0597-8

Download citation

  • Received:

  • Revised:

  • Accepted:

  • Published:

  • Issue Date:

  • DOI: https://doi.org/10.1007/s00247-007-0597-8

Keywords

  • Pulmonary interstitial emphysema
  • Single-lung ventilation
  • Newborns