Skip to main content

Mucocele of the sphenoid sinus

Abstract

The sphenoid sinus is the least common site of mucocele of all paranasal sinuses. It is very rare in children, especially in those younger than 12 years when pneumatization of the sphenoid sinus is completed. We report a case of histologically proven sphenoidal mucocele in a 5-year-old child. The child presented with an acute onset of significant visual impairment and headache. His vision gradually improved after trans-nasal sphenoidotomy and drainage of the sinus content with return of complete normal baseline vision after 2 months.

This is a preview of subscription content, access via your institution.

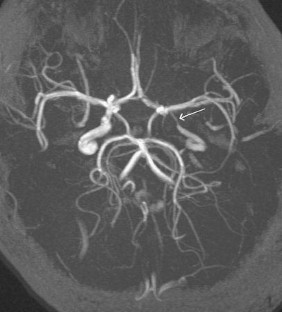
Fig. 1
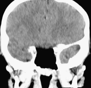
Fig. 2
Fig. 3
Fig. 4
Fig. 5
Fig. 6

References

  1. Kosling S, Hintner M, Brandt S, et al (2004) Mucocele of the sphenoid sinus. Eur J Radiol 51:1–5

    PubMed  Article  CAS  Google Scholar 

  2. Jang YJ, Kim SC (2000) Pneumatization of sphenoid sinus in children evaluated by MRI. Am J Rhinol 14:181–185

    PubMed  Article  CAS  Google Scholar 

  3. Casteels I, De Loof E, Brock P, et al (1992) Sudden blindness in a child: presenting symptom of a sphenoid sinus mucocele. Br J Ophthalmol 76:502–504

    PubMed  Article  CAS  Google Scholar 

  4. Friedman A, Batra PS, Fakhri S, et al (2005) Isolated sphenoid sinus disease: etiology and management. Otolaryngol Head Neck Surg 133:544–550

    PubMed  Article  Google Scholar 

  5. Jaime L, Tova M, Moshe P, et al (2005) Bilateral consecutive blindness due to sphenoid sinus mucocele with unilateral partial recovery. Can J Ophthalmol 40:506–508

    Google Scholar 

  6. Sundar U, Sharma AL, Yeolekar ME, et al (2004) Sphenoidal sinus mucocele presenting as mono-ocular painless loss of vision. Postgrad Med J 80:40–43

    PubMed  CAS  Google Scholar 

  7. Uren BA, Berkowitz RG (2003) Isolated inflammatory sphenoid sinus disease in children. Ann Otol Rhinol Laryngol 112:370–372

    PubMed  Google Scholar 

  8. Malard O, Gayet-Delacroix M, Jegoux F, et al (2004) Spontaneous sphenoid sinus mucocele revealed by meningitis and brain abscess in a 12-year-old child. AJNR 25:873–875

    PubMed  Google Scholar 

Download references

Author information

Affiliations

Authors

Corresponding author

Correspondence to Michael Ditchfield.

Rights and permissions

Reprints and Permissions

About this article

Cite this article

Haloi, A.K., Ditchfield, M. & Maixner, W. Mucocele of the sphenoid sinus. Pediatr Radiol 36, 987–990 (2006). https://doi.org/10.1007/s00247-006-0243-x

Download citation

  • Received:

  • Revised:

  • Accepted:

  • Published:

  • Issue Date:

  • DOI: https://doi.org/10.1007/s00247-006-0243-x

Keywords

  • Sphenoid sinus
  • Mucocele
  • Children
  • Imaging