Skip to main content

Mesenteric pseudoaneurysm in a 12-year-old girl with abdominal tuberculosis presenting with massive lower gastrointestinal bleeding

Abstract

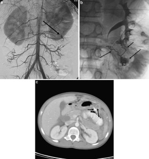
We report a case of a 12-year-old girl with a mesenteric pseudoaneurysm and abdominal tuberculosis presenting with massive lower gastrointestinal hemorrhage requiring multiple blood transfusions. The pseudoaneurysm was treated successfully with transarterial microcoil embolization. Pseudoaneurysms are a rare and life-threatening complication of tuberculosis and understanding the imaging characteristics and treatment options will help to guide appropriate therapy.

This is a preview of subscription content, access via your institution.

Fig. 1
Fig. 2
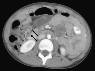
Fig. 3

References

  1. Satokawa H, Takahasi K, Hoshino Y, et al (2004) Tuberculous pseudoaneurysm of the celiac artery. A case report. Int Angiol 23:85–88

    PubMed  CAS  Google Scholar 

  2. Seith A, Gulati MS, Nandi B, et al (2003) Tuberculous pseudoaneurysm of the gastroduodenal artery. Clin Imaging 27:408–410

    Article  PubMed  Google Scholar 

  3. Oran I, Parildar M, Memis A (2001) Mesenteric artery aneurysms in intestinal tuberculosis as a cause of lower gastrointestinal bleeding. Abdom Imaging 26:131–133

    Article  PubMed  CAS  Google Scholar 

  4. Baker KS, Tisnado J, Cho SR, et al (1987) Splanchnic artery aneurysms and pseudoaneurysms: transcatheter embolization. Radiology 163:135–139

    PubMed  CAS  Google Scholar 

  5. Drooz AT, Lewis CA, Allen TE, et al (2003) Quality improvement guidelines for percutaneous transcatheter embolization. J Vasc Interv Radiol 14:S237–S242

    PubMed  Google Scholar 

  6. Uygur-Bayramicli O, Dabak G, Dabak R (2003) A clinical dilemma: abdominal tuberculosis. World J Gastroenterol 9:1098–1101

    PubMed  Google Scholar 

  7. Ha HK, Ko GY, Yu ES, et al (1999) Intestinal tuberculosis with abdominal complications: radiologic and pathologic features. Abdom Imaging 24:32–38

    Article  PubMed  CAS  Google Scholar 

  8. Ishii A, Namimoto T, Morishita S, et al (1996) Embolization for ruptured superior mesenteric artery aneurysms. Br J Radiol 69:296–300

    PubMed  CAS  Article  Google Scholar 

Download references

Author information

Affiliations

Authors

Corresponding author

Correspondence to Rodney Corby.

Rights and permissions

Reprints and Permissions

About this article

Cite this article

Corby, R., Cranford, C., Van Ha, T. et al. Mesenteric pseudoaneurysm in a 12-year-old girl with abdominal tuberculosis presenting with massive lower gastrointestinal bleeding. Pediatr Radiol 36, 456–459 (2006). https://doi.org/10.1007/s00247-006-0127-0

Download citation

  • Received:

  • Revised:

  • Accepted:

  • Published:

  • Issue Date:

  • DOI: https://doi.org/10.1007/s00247-006-0127-0

Keywords

  • Tuberculosis
  • Lower GI bleeding
  • Mesenteric pseudoaneurysm
  • Embolization therapy