Skip to main content

Osteochondritis dissecans of the subtalar articular facet: an unusual diagnosis

Abstract

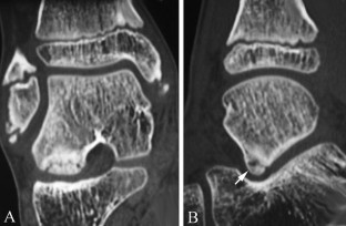
Osteochondritis dissecans of the talus is classically characterized by an abnormality of the articular cartilage of the talar dome. We report a rare case of a lesion of the subtalar facet in a 10-year-old boy. The lesion was responsible for a painful ankle with secondary instability. The diagnosis was made using plain radiographs and CT, which showed a well-circumscribed osteochondral fragment demarcated from the adjacent bone by a radiolucent line. The clinical outcome was favourable after a 6-week period with a non-weight-bearing short-leg cast.

This is a preview of subscription content, access via your institution.

Fig. 1
Fig. 2

References

  1. Aichroth P (1971) Osteochondrosis dissecans of the knee. A clinical survey. J Bone Joint Surg Br 53:440–447

    Google Scholar 

  2. Higuera J, Laguna R, Peral M, et al (1998) Osteochondritis dissecans of the talus during childhood and adolescence. J Pediatr Orthop 3:328–332

    Google Scholar 

  3. Nafei A, Saether J, Gelineck J (1990) Osteochondritis dissecans of the calcaneus (in Danish). Ugeskr Laeger 152:1095

    Google Scholar 

  4. Roach R (2003) Osteochondral lesions of the talus. J Am Pediatr Med Assoc 4:307–311

    Google Scholar 

  5. Loomer R, Fisher C, Lloyd-Smith R, et al (1993) Osteochondral lesions of the talus. Am J Sports Med 1:13–19

    Google Scholar 

  6. Mintz DN, Tashjian GS, Connell DA, et al (2003) Osteochondral lesions of the talus: a new magnetic resonance grading system with arthroscopic correlation. Arthroscopy 4:353–359

    Google Scholar 

  7. Berndt A, Harty M (1951) Transchondral fractures (osteochondritis dissecans) of the talus. J Bone Joint Surg Am 41:988–1020

    Google Scholar 

  8. Green W, Banks H (1953) Osteochondritis dissecans in children. J Bone Joint Surg Am 35:26

    Google Scholar 

  9. Letts M, Davidson D, Ahmer A (2003) Osteochondritis dissecans of the talus in children. J Pediatr Orthop 5:617–625

    Google Scholar 

  10. Shearer C, Loomer R, Clement D (2002) Nonoperatively managed stage 5 osteochondral talar lesions. Foot Ankle Int 7:651–654

    Google Scholar 

  11. Navid DO, Myerson MS (2002) Approach alternatives for treatment of osteochondral lesions of the talus. Foot Ankle Clin 3:635–649

    Google Scholar 

Download references

Author information

Affiliations

Authors

Corresponding author

Correspondence to Raphaël Vialle.

Rights and permissions

Reprints and Permissions

About this article

Cite this article

Madi, F., Vialle, R., Mary, P. et al. Osteochondritis dissecans of the subtalar articular facet: an unusual diagnosis. Pediatr Radiol 35, 823–825 (2005). https://doi.org/10.1007/s00247-005-1463-1

Download citation

  • Received:

  • Accepted:

  • Published:

  • Issue Date:

  • DOI: https://doi.org/10.1007/s00247-005-1463-1

Keywords

  • Talus
  • Osteochondritis dissecans
  • Subtalar joint
  • Radiography
  • CT
  • Child