Skip to main content

Screening children for sickle cell vasculopathy: guidelines for transcranial Doppler evaluation

Abstract

Cerebral infarction is a major cause of morbidity and mortality in children with sickle cell disease. Prevention of primary stroke might be feasible with a way to identify children at greatest risk. Transcranial Doppler (TCD) has been shown to be a noninvasive, reliable, inexpensive method of identifying children at highest risk for cerebral infarction. The pros and cons of imaging and non-imaging TCD techniques are discussed. The protocol for the stroke prevention trial in sickle cell anemia (STOP), including data acquisition and interpretation, is reviewed. Providing TCD to sickle cell patients can be a valuable service that results in a significant decrease in first stroke rates.

This is a preview of subscription content, access via your institution.

Fig. 1
Fig. 2
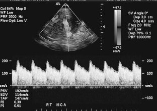
Fig. 3
Fig. 4
Fig. 5
Fig. 6

References

  1. Huttenlocher PR, Moohr JW, Johns I, et al (1984) Cerebral blood flow in sickle cell cerebrovascular disease. Pediatrics 73:615–621

    Google Scholar 

  2. Powers D, Wilson B, Imbus C, et al (1978) The natural history of stroke in sickle cell disease. Am J Med 65:461–471

    Article  Google Scholar 

  3. Adams R, McKie V, Nichols F, et al (1992) The use of transcranial ultrasonography to predict stroke in sickle cell disease. N Engl J Med 326:605–610

    CAS  Google Scholar 

  4. Vichinsky E, Luban N, Wright E, et al (2001) Prospective RBC phenotype matching in stroke prevention trial in sickle cell anemia: a multicenter transfusion trial. Transfusion 41:1086–1092

    Google Scholar 

  5. Files B, Kutler A, Adam R, et al (2002) Longitudinal changes in ferritin during chronic transfusion. J Pediatr Hematol Oncol 24:284–290

    Google Scholar 

  6. Adams RJ, Aaslid R, Gammal TE, et al (1988) Detection of cerebral vasculopathy in sickle cell disease using transcranial Doppler ultrasonography and magnetic resonance imaging: case report. Stroke 19:518–520

    Google Scholar 

  7. Adams RJ, Nichols FT III, Aaslid R, et al (1990) Cerebral vessel stenosis in sickle cell disease: criteria for detection by transcranial Doppler. Am J Pediatr Hematol Oncol 12:277–282

    Google Scholar 

  8. Adams RJ, Nichols FT, Figueroa R, et al (1992) Transcranial Doppler correlation with cerebral angiography in sickle cell disease. Stroke 23:1073–1077

    CAS  PubMed  Google Scholar 

  9. Adams RJ, Nichols FT, McKie VC, et al (1989) Transcranial Doppler: influence of hematocrit in children with sickle cell anemia without stroke. J Cardiovasc Technol 8:97–101

    Google Scholar 

  10. Seibert JJ, Miller SF, Kirby RS, et al (1993) Cerebrovascular disease in symptomatic and asymptomatic patients with sickle cell anemia: screening with duplex transcranial Doppler US—correlation with MR imaging and MR angiography. Radiology 189:457–466

    CAS  PubMed  Google Scholar 

  11. Seibert JJ, Glasier CM, Kirby RS, et al (1998) TCD, MRA and MRI as a screening examination for cerebrovascular disease in patients with sickle cell anemia: an eight-year study. Pediatr Radiol 28:138–142

    Article  CAS  PubMed  Google Scholar 

  12. Siegel MJ, Luker GD, Glauser TA, et al (1995) Cerebral infarction in sickle cell disease: transcranial Doppler US versus neurologic examination. Radiology 197:191–194

    Google Scholar 

  13. Verlhac S, Bernaudin F, Tortrat D, et al (1995) Detection of cerebrovascular disease in patients with sickle cell disease using transcranial Doppler sonography: correlation with MRI, MRA, and conventional angiography. Pediatr Radiol 25:S14–S19

    Google Scholar 

  14. Adams R, McKie V, Hsu L, et al (1998) Prevention of a first stroke by transfusions in children with sickle cell anemia and abnormal results on transcranial Doppler ultrasonography. N Engl J Med 339:5–11

    Article  Google Scholar 

  15. Adams R, McKie V, Brambilla D, et al (1998) Stroke prevention trial in sickle cell anemia: study design. Control Clin Trials 19:110–129

    Google Scholar 

  16. Nichols FT, Jones AM, Adams RJ, et al (2001) Stroke prevention in sickle cell disease (STOP) study guidelines for transcranial Doppler testing. J Neuroimaging 11:354–363

    CAS  PubMed  Google Scholar 

  17. Fujioka KA, Gates DT, Spencer MP (1994) A comparison of transcranial color Doppler imaging and standard static pulsed wave Doppler in the assessment of intracranial hemodynamics. J Vasc Technol 18:29–35

    Google Scholar 

  18. Rosendahl T, Muller C, Wagner W, et al (1995) Transcranial imaging a new angle on transcranial Doppler. Video J Color Flow Imaging 5:59–62

    Google Scholar 

  19. Bulas DI, Jones A, Seibert J, et al (2000) TCD screening for stroke prevention in sickle cell anemia: pitfalls in technique variation. Pediatr Radiol 30:733–738

    Article  CAS  PubMed  Google Scholar 

  20. Jones A, Seibert J, Nichols F, et al (2001) Comparison of TCDI and TCD in children with sickle cell anemia. Pediatr Radiol 31:461–469

    Article  CAS  PubMed  Google Scholar 

  21. McCarville MB, Chenghong L, Xiong X, et al (2004) Comparison of TCD with and without imaging in the evaluation of children with sickle cell disease AJR 183:1117–1122

    Google Scholar 

  22. Aaslid R (ed) (1986) Transcranial Doppler sonography. Springer, Berlin Heidelberg New York

    Google Scholar 

  23. Fujioka KA, Douville CM (1992) Anatomy and free hand examination techniques. In: Newell DW, Aaslid R (eds) Transcranial Doppler. Raven Press, New York

    Google Scholar 

  24. Jones A, Granger S, Bramilla D, et al (2004) Peak systolic and diastolic TCD velocities for prediction of stroke in sickle cell anemia. Pediatr Radiol 2004 Oct 23 Epub

  25. Neish A, Blews D, Simms C, et al (2002) Screening for stroke in sickle cell anemia: comparison of transcranial Doppler imaging and nonimaging US techniques. Radiology 222:709–714

    PubMed  Google Scholar 

  26. Malouf AJ, Hamrick-Turner JE, Doherty MC, et al (2001) Implementation of the STOP protocol for stroke prevention in sickle cell anemia by using duplex power Doppler imaging. Radiology 219:359–365

    Google Scholar 

  27. Fullerton H, Johnston SC, Zhao S, et al (2004) Declining rates in Californian children with sickle cell disease. Blood 104:336–339

    Article  Google Scholar 

Download references

Author information

Affiliations

Authors

Corresponding author

Correspondence to Dorothy Bulas.

Rights and permissions

Reprints and Permissions

About this article

Cite this article

Bulas, D. Screening children for sickle cell vasculopathy: guidelines for transcranial Doppler evaluation. Pediatr Radiol 35, 235–241 (2005). https://doi.org/10.1007/s00247-005-1417-7

Download citation

  • Received:

  • Revised:

  • Accepted:

  • Published:

  • Issue Date:

  • DOI: https://doi.org/10.1007/s00247-005-1417-7

Keywords

  • Sickle cell disease
  • Transcranial Doppler
  • Pediatric stroke
  • Cerebrovascular disease