Skip to main content

Enhanced CT perfusion cut-off sign in midgut volvulus

Abstract

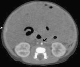
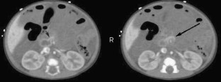
We present a case of malrotation with midgut volvulus in an infant in which we discovered a unique CT sign called the perfusion cut-off sign. We hope this case will help establish this crucial diagnosis in other cases.

This is a preview of subscription content, access via your institution.

Fig. 1
Fig. 2
Fig. 3
Fig. 4
Fig. 5

References

  1. Fisher JK (1981) Computed tomographic diagnosis of volvulus in intestinal malrotation. Radiology 140:145–146

    PubMed  CAS  Google Scholar 

  2. Shaff MI, Himmelfarb E, Sacks GA et al (1985) The whirl sign: a CT finding in volvulus of the small bowel. J Comput Assist Tomogr 9:410

    PubMed  Article  CAS  Google Scholar 

  3. Frank AJ, Goffner LB, Fruauff AA et al (1993) Cecal volvulus: the CT whirl sign. Abdom Imaging 18:288–289

    PubMed  Article  CAS  Google Scholar 

  4. Mori H, Hayashi K, Futagawa S et al (1987) Vascular compromise in chronic volvulus with midgut malrotation. Pediatr Radiol 17:277–281

    PubMed  Article  CAS  Google Scholar 

  5. Pracros JP, Sann L, Genin G et al (1992) Ultrasound diagnosis of midgut volvulus: the “whirlpool” sign. Pediatr Radiol 22:18–20

    PubMed  Article  CAS  Google Scholar 

  6. Kim JY, Ha HK, Byum JY et al (1993) Intestinal infarction secondary to mesenteric venous thrombosis: CT-pathologic correlation. J Comput Assist Tomogr 17:382–385

    PubMed  CAS  Article  Google Scholar 

  7. Aidlen J, Anupindi SA, Jaramillo D et al (2005) Malrotation with midgut volvulus: CT findings of bowel infarction. Pediatr Radiol 35:529–531

    PubMed  Article  Google Scholar 

Download references

Author information

Affiliations

Authors

Corresponding author

Correspondence to Stephen M. Henesch.

Rights and permissions

Reprints and Permissions

About this article

Cite this article

Henesch, S.M., Nance, M.L. & Jaramillo, D.M. Enhanced CT perfusion cut-off sign in midgut volvulus. Pediatr Radiol 36, 355–357 (2006). https://doi.org/10.1007/s00247-005-0071-4

Download citation

  • Received:

  • Revised:

  • Accepted:

  • Published:

  • Issue Date:

  • DOI: https://doi.org/10.1007/s00247-005-0071-4

Keywords

  • Midgut volvulus
  • CT
  • Malrotation