Skip to main content

White Matter Injury and the Inflammatory Response Following Neonatal Cardiac Surgery

Abstract

White matter injury (WMI) is a known complication following neonatal heart surgery in term infants. In preterm infants, WMI has been associated with the degree of systemic inflammation. It is not known whether inflammation is an important mechanism of WMI as documented by magnetic resonance imaging (MRI) following neonatal heart surgery with cardiopulmonary bypass. Term neonates with congenital heart disease were enrolled in a prospective study with postoperative MRI. White matter injury was recorded by the number of T1 hyperintense foci with >5 foci consistent with significant WMI. Eleven candidate cytokine markers (INF-gamma, TNF-alpha, IL-1 beta, IL-2, IL-4, IL-5, IL-6, IL-8, IL-10, IL-12, and IL-13) were assayed preoperatively and daily for 5 days following surgery. Multiple clinical factors were recorded and correlated with WMI. Ninety-two subjects were enrolled in the study. The median age at surgery was 5 days (interquartile range 4–7 days). Compared with the presurgery level, there were statistically significant increases (p < 0.005) for 8 out of 11 inflammatory markers. In all, 64 postoperative MRIs were performed. No significant correlation was detected between WMI and clinical variables or inflammatory markers assessed immediately postoperative and on postoperative days 1 and 3, with exception of IL-1 beta on postoperative day 1. WMI correlates poorly with the systemic inflammatory response after congenital heart surgery and a number of herein measured clinical factors. WMI following neonatal heart surgery is a complex, still incompletely understood phenomenon that warrants continued investigation.

This is a preview of subscription content, access via your institution.

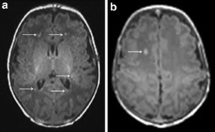
Fig. 1

Abbreviations

AP:

Aortopulmonary

CICU:

Cardiac intensive care unit

CPB:

Cardiopulmonary bypass

CHD:

Congenital heart disease

DORV:

Double-outlet right ventricle

DILV:

Double-inlet left ventricle

HLHS:

Hypoplastic left heart syndrome

ICU:

Intensive care unit

IAA:

Interrupted aortic arch

MRI:

Magnetic resonance imaging

TAPVR:

Total anomalous pulmonary venous return

TA:

Truncus arteriosus

WMI:

White matter injury

VSD:

Ventricular septal defect

References

  1. Andropoulos DB, Hunter JV, Nelson DP, Stayer SA, Stark AR, McKenzie ED, Heinle JS, Graves DE, Fraser CD Jr (2010) Brain immaturity is associated with brain injury before and after neonatal cardiac surgery with high-flow bypass and cerebral oxygenation monitoring. J Thorac Cardiovasc Surg 139(3):543–556. doi:10.1016/j.jtcvs.2009.08.022

    Article  PubMed Central  PubMed  Google Scholar 

  2. Back SA, Gan X, Li Y, Rosenberg PA, Volpe JJ (1998) Maturation-dependent vulnerability of oligodendrocytes to oxidative stress-induced death caused by glutathione depletion. J Neurosci Off J Soc Neurosci 18(16):6241–6253

    CAS  Google Scholar 

  3. Back SA, Luo NL, Borenstein NS, Levine JM, Volpe JJ, Kinney HC (2001) Late oligodendrocyte progenitors coincide with the developmental window of vulnerability for human perinatal white matter injury. J Neurosci Off J Soc Neurosci 21(4):1302–1312

    CAS  Google Scholar 

  4. Beca J, Gunn JK, Coleman L, Hope A, Reed PW, Hunt RW, Finucane K, Brizard C, Dance B, Shekerdemian LS (2013) New white matter brain injury after infant heart surgery is associated with diagnostic group and the use of circulatory arrest. Circulation 127(9):971–979. doi:10.1161/CIRCULATIONAHA.112.001089

    Article  PubMed  Google Scholar 

  5. Block AJ, McQuillen PS, Chau V, Glass H, Poskitt KJ, Barkovich AJ, Esch M, Soulikias W, Azakie A, Campbell A, Miller SP (2010) Clinically silent preoperative brain injuries do not worsen with surgery in neonates with congenital heart disease. J Thorac Cardiovasc Surg 140(3):550–557. doi:10.1016/j.jtcvs.2010.03.035

    Article  PubMed Central  CAS  PubMed  Google Scholar 

  6. Dent CL, Spaeth JP, Jones BV, Schwartz SM, Glauser TA, Hallinan B, Pearl JM, Khoury PR, Kurth CD (2006) Brain magnetic resonance imaging abnormalities after the Norwood procedure using regional cerebral perfusion. J Thorac Cardiovasc Surg 131(1):190–197. doi:10.1016/j.jtcvs.2005.10.003

    Article  PubMed  Google Scholar 

  7. Dimitropoulos A, McQuillen PS, Sethi V, Moosa A, Chau V, Xu D, Brant R, Azakie A, Campbell A, Barkovich AJ, Poskitt KJ, Miller SP (2013) Brain injury and development in newborns with critical congenital heart disease. Neurology 81(3):241–248. doi:10.1212/WNL.0b013e31829bfdcf

    Article  PubMed Central  PubMed  Google Scholar 

  8. Elovitz MA, Mrinalini C, Sammel MD (2006) Elucidating the early signal transduction pathways leading to fetal brain injury in preterm birth. Pediatr Res 59(1):50–55. doi:10.1203/01.pdr.0000191141.21932.b6

    Article  PubMed  Google Scholar 

  9. Galli KK, Zimmerman RA, Jarvik GP, Wernovsky G, Kuypers MK, Clancy RR, Montenegro LM, Mahle WT, Newman MF, Saunders AM, Nicolson SC, Spray TL, Gaynor JW (2004) Periventricular leukomalacia is common after neonatal cardiac surgery. J Thorac Cardiovas Surg 127(3):692–704. doi:10.1016/j.jtcvs.2003.09.053

    Article  Google Scholar 

  10. Gaynor JW (2004) Periventricular leukomalacia following neonatal and infant cardiac surgery. Semin Thorac Cardiovasc Surg Pediatr Card Surg Annu 7:133–140

    Article  PubMed  Google Scholar 

  11. Hagberg H, Wennerholm UB, Savman K (2002) Sequelae of chorioamnionitis. Curr Opin Infect Dis 15(3):301–306

    Article  PubMed  Google Scholar 

  12. Hsia TY, Gruber PJ (2006) Factors influencing neurologic outcome after neonatal cardiopulmonary bypass: what we can and cannot control. Ann Thorac Surg 81(6):S2381–S2388. doi:10.1016/j.athoracsur.2006.02.074

    Article  PubMed  Google Scholar 

  13. Mahle WT, Tavani F, Zimmerman RA, Nicolson SC, Galli KK, Gaynor JW, Clancy RR, Montenegro LM, Spray TL, Chiavacci RM, Wernovsky G, Kurth CD (2002) An MRI study of neurological injury before and after congenital heart surgery. Circulation 106(12 Suppl 1):I109–I114

    PubMed  Google Scholar 

  14. Mahle WT, Matthews E, Kanter KR, Kogon BE, Hamrick SE, Strickland MJ (2014) Inflammatory response after neonatal cardiac surgery and its relationship to clinical outcomes. Ann Thorac Surg 97(3):950–956. doi:10.1016/j.athoracsur.2013.10.069

    Article  PubMed  Google Scholar 

  15. Marino BS, Lipkin PH, Newburger JW, Peacock G, Gerdes M, Gaynor JW, Mussatto KA, Uzark K, Goldberg CS, Johnson WH Jr, Li J, Smith SE, Bellinger DC, Mahle WT, Stroke C, American Heart Association Congenital Heart Defects Committee (2012) Neurodevelopmental outcomes in children with congenital heart disease: evaluation and management—a scientific statement from the American Heart Association. Circulation 126(9):1143–1172. doi:10.1161/CIR.0b013e318265ee8a

    Article  PubMed  Google Scholar 

  16. McQuillen PS, Sheldon RA, Shatz CJ, Ferriero DM (2003) Selective vulnerability of subplate neurons after early neonatal hypoxia–ischemia. J Neurosci Off J Soc Neurosci 23(8):3308–3315

    CAS  Google Scholar 

  17. McQuillen PS, Hamrick SE, Perez MJ, Barkovich AJ, Glidden DV, Karl TR, Teitel D, Miller SP (2006) Balloon atrial septostomy is associated with preoperative stroke in neonates with transposition of the great arteries. Circulation 113(2):280–285. doi:10.1161/CIRCULATIONAHA.105.566752

    Article  PubMed  Google Scholar 

  18. McQuillen PS, Barkovich AJ, Hamrick SE, Perez M, Ward P, Glidden DV, Azakie A, Karl T, Miller SP (2007) Temporal and anatomic risk profile of brain injury with neonatal repair of congenital heart defects. Stroke J Cereb Circ 38(2 Suppl):736–741. doi:10.1161/01.STR.0000247941.41234.90

    Article  Google Scholar 

  19. Miller SP, McQuillen PS, Vigneron DB, Glidden DV, Barkovich AJ, Ferriero DM, Hamrick SE, Azakie A, Karl TR (2004) Preoperative brain injury in newborns with transposition of the great arteries. Ann Thorac Surg 77(5):1698–1706. doi:10.1016/j.athoracsur.2003.10.084

    Article  PubMed  Google Scholar 

  20. Miller SP, McQuillen PS, Hamrick S, Xu D, Glidden DV, Charlton N, Karl T, Azakie A, Ferriero DM, Barkovich AJ, Vigneron DB (2007) Abnormal brain development in newborns with congenital heart disease. N Engl J Med 357(19):1928–1938. doi:10.1056/NEJMoa067393

    Article  CAS  PubMed  Google Scholar 

  21. Petit CJ, Rome JJ, Wernovsky G, Mason SE, Shera DM, Nicolson SC, Montenegro LM, Tabbutt S, Zimmerman RA, Licht DJ (2009) Preoperative brain injury in transposition of the great arteries is associated with oxygenation and time to surgery, not balloon atrial septostomy. Circulation 119(5):709–716. doi:10.1161/CIRCULATIONAHA.107.760819

    Article  PubMed Central  PubMed  Google Scholar 

  22. Welke KF, Shen I, Ungerleider RM (2006) Current assessment of mortality rates in congenital cardiac surgery. Ann Thorac Surg 82(1):164–170; discussion 170–161. doi:10.1016/j.athoracsur.2006.03.004

  23. Westaby S (1987) Organ dysfunction after cardiopulmonary bypass. A systemic inflammatory reaction initiated by the extracorporeal circuit. Intensive Care Med 13(2):89–95

    Article  CAS  PubMed  Google Scholar 

Download references

Conflict of interest

This study was funded by the Thrasher Research Foundation #6064. The Thrasher Research Foundation was involved in study design, but not in the collection, analysis, and interpretation of data, writing of the report, or decision to submit the manuscript for publication. The initial draft was created by Nilesh K. Desai, MD and William T. Mahle, MD without any form of payment to produce the manuscript. Nilesh K. Desai, MD and William T. Mahle, MD received salary support from the Thrasher Research Foundation Fund Award 02830-7. Nilesh K. Desai also receives 1 % salary support from Siemens Medical, USA. The authors report no other significant conflict of interest that pertains to this submission.

Author information

Affiliations

Authors

Corresponding author

Correspondence to Nilesh K. Desai.

Rights and permissions

Reprints and Permissions

About this article

Verify currency and authenticity via CrossMark

Cite this article

Desai, N.K., Hamrick, S.E.G., Strickland, M.J. et al. White Matter Injury and the Inflammatory Response Following Neonatal Cardiac Surgery. Pediatr Cardiol 36, 942–949 (2015). https://doi.org/10.1007/s00246-015-1104-x

Download citation

  • Received:

  • Accepted:

  • Published:

  • Issue Date:

  • DOI: https://doi.org/10.1007/s00246-015-1104-x

Keywords

  • Congenital heart disease
  • MRI
  • Periventricular leukomalacia