Skip to main content

Myocardial Perfusion Abnormalities in Patients Occurring More Than 1 Year After Successful Univentricular (Fontan Surgery) and Biventricular Repair (Complete Repair of Tetralogy of Fallot)

Abstract

The outcome of children born with cyanotic congenital heart disease has markedly improved over the years. Follow up is recommended for most post-operated cases as complications may occur over long term. One of the complications is the development of ventricular dysfunction, often seen after a successful Fontan surgery (or one of its modifications) for single ventricle. The aim of this study was to determine the prevalence of myocardial perfusion abnormalities in the ventricular myocardium of asymptomatic patients, older than 8 years of age, who had earlier undergone either a univentricular palliation (modified Fontan procedure) or a biventricular repair for tetralogy of Fallot, more than a year ago. All eligible patients underwent screening electrocardiogram (to rule out rhythm disturbance) and echocardiography. Patients with ventricular ejection fraction of more than 50 % by echocardiography were included. Enrolled patients were subjected to gated stress–rest myocardial perfusion imaging using Technitium-99m tetrofosmin single photon emission-computerized tomography (SPECT). Ventricular ejection fraction was also calculated from gated rest study. For the Fontan group, we also analyzed data to see if the morphology of the systemic ventricle would make a difference as far as myocardial perfusion was concerned. Twenty-six patients were enrolled (11 had undergone Fontan surgery and 15 had complete repair of tetralogy of Fallot). Seven of 11 patients in the Fontan group had myocardial perfusion defects (63.6 %) as against none in the repaired tetralogy of Fallot group (p < 0.001). The ejection fraction was within normal range in both the groups; it was statistically higher in the post tetralogy of Fallot repair group (p < 0.04). There were two subgroups in the post Fontan group depending on the morphology of systemic ventricle-left (4 patients) and non-left (7 patients). Higher number and larger size of perfusion defects were present in the non-left ventricular systemic ventricle morphology as compared with left ventricular morphology, but this difference did not reach statistical significance. Myocardial perfusion defects are common in patients who have undergone univentricular repair more than one year ago in contrast to patients who had a biventricular repair for tetralogy of Fallot. In the Fontan group, the morphology of the systemic ventricle was not predictive of prevalence of perfusion defect.

This is a preview of subscription content, access via your institution.

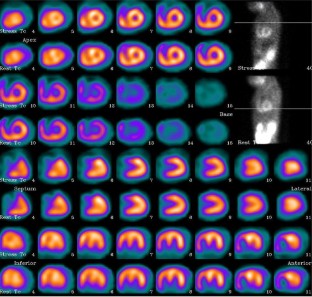
Fig. 1
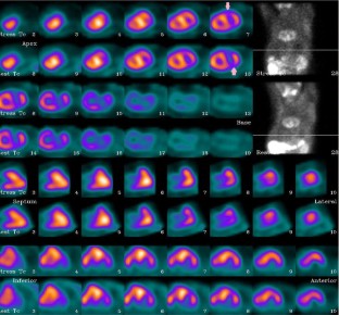
Fig. 2

References

  1. Bassareo PP, Tumbarello R, Piras A, Mercuro G (2010) Evaluation of regional myocardial function by Doppler tissue imaging in univentricular hearts after successful Fontan repair. Echocardiography 27:702–708

    PubMed  Article  Google Scholar 

  2. Campbell M (1972) Natural history of cyanotic malformations and comparison of all common cardiac malformations. Br Heart J 34:3–8

    PubMed  Article  CAS  Google Scholar 

  3. Chungsomprasong P, Soongswang J, Nana A, Durongpisitkul K, Loahaprsitiporn D, Vijansorn C, Sriyodchartti S (2011) Medium and long-term outcomes of Fontan operation. J Med Assoc Thai 94(3):323–330

    PubMed  Google Scholar 

  4. Cupo P, Figueiredo AB, Filho AP, Pintya AO, Tavares GA Jr, Caligaris F et al (2007) Acute left ventricular dysfunction of severe scorpion envenomation is related to myocardial perfusion disturbance. Int J Cardiol 116:98–106

    PubMed  Article  Google Scholar 

  5. Ekman-Joelsson BM, Berggren H, Boll AB, Sixt R, Sunnegardh J (2008) Abnormalities in myocardial perfusion after surgical correction of pulmonary atresia with intact ventricular septum. Cardiol Young 18:89–95

    PubMed  Article  Google Scholar 

  6. Hayes AM, Baker EJ, Kakadekar A, Parsons JM, Martin RP, Radley-Smith R et al (1994) Influence of anatomic correction for transposition of the great arteries on myocardial perfusion: radionuclide imaging with technetium-99m 2-methoxy isobutyl isonitrile. J Am Coll Cardiol 24:769–777

    PubMed  Article  CAS  Google Scholar 

  7. Hill J, Timmis A (2002) Exercise tolerance testing. Br Med J 324(7345):1084–1087

    Article  Google Scholar 

  8. Hornung TS, Bernard EJ, Jaeggi ET, Howman-Giles RB, Celermajer DS, Hawker RE (1998) Myocardial perfusion defects and associated systemic ventricular dysfunction in congenitally corrected transposition of the great arteries. Heart 80:322–326

    PubMed  CAS  Google Scholar 

  9. Kondo C (2004) Myocardial perfusion imaging in pediatric cardiology. Ann Nucl Med 18:551–561

    PubMed  Article  Google Scholar 

  10. Kondo C, Nakazawa M, Kusakabe K, Momma K (1996) Myocardial dysfunction and depressed fatty acid metabolism in patients with cyanotic congenital heart disease. J Nucl Cardiol 3:30–36

    PubMed  Article  CAS  Google Scholar 

  11. Lubiszewska B, Gosiewska E, Hoffman P, Teresinska A, Rozanski J, Piotrowski W et al (2000) Myocardial perfusion and function of the systemic right ventricle in patients after atrial switch procedure for complete transposition: long-term follow-up. J Am Coll Cardiol 36:1365–1370

    PubMed  Article  CAS  Google Scholar 

  12. Millane T, Bernard EJ, Jaeggi ET, Howman-Giles RB, Uren RF, Cartmill TB et al (2000) Role of ischemia and infarction in late right ventricular dysfunction after atrial repair of transposition of the great arteries. J Am Coll Cardiol 35:1661–1668

    PubMed  Article  CAS  Google Scholar 

  13. Rossano JW, Chang AC, Chang (2006) Perioperative management of patients with poorly functioning ventricles in the setting of the functionally univentricular heart. Cardiol Young 16(Suppl 1):47–54

    PubMed  Article  Google Scholar 

  14. Shaddy E, Boucek MM, Hsu DT, Boucek RJ, Canter CD, Mahony L et al (2007) Carvedilol for children and adolescents with heart failure. JAMA 298(10):1171–1179

    PubMed  Article  Google Scholar 

  15. Sundaram PS, Padma S (2009) Role of myocardial perfusion single photon emission computed tomography in pediatric cardiology practice. Ann Pediatr Cardiol 2:127–139

    PubMed  Article  Google Scholar 

  16. Vogel M, Smallhorn JF, Gilday D, Benson LN, Ash J, Williams WG et al (1991) Assessment of myocardial perfusion in patients after the arterial switch operation. J Nucl Med 32:237–241

    PubMed  CAS  Google Scholar 

  17. Washington RL, Bricker JT, Alpert BS et al (1994) Guidelines for exercise testing in the pediatric age group: from the committee on atherosclerosis and hypertension in children, council on cardiovascular disease in the young, the American Heart Association. Circulation 90:2166–2179

    PubMed  Article  CAS  Google Scholar 

  18. Weindling SN, Wernovsky G, Colan SD, Parker JA, Boutin C, Mone SM et al (1994) Myocardial perfusion, function and exercise tolerance after the arterial switch operation. J Am Coll Cardiol 23:424–433

    PubMed  Article  CAS  Google Scholar 

Download references

Author information

Affiliations

Authors

Corresponding author

Correspondence to Anita Saxena.

Rights and permissions

Reprints and Permissions

About this article

Cite this article

Priyadarshini, A., Saxena, A., Patel, C. et al. Myocardial Perfusion Abnormalities in Patients Occurring More Than 1 Year After Successful Univentricular (Fontan Surgery) and Biventricular Repair (Complete Repair of Tetralogy of Fallot). Pediatr Cardiol 34, 786–794 (2013). https://doi.org/10.1007/s00246-012-0531-1

Download citation

  • Received:

  • Accepted:

  • Published:

  • Issue Date:

  • DOI: https://doi.org/10.1007/s00246-012-0531-1

Keywords

  • Myocardial perfusion defects
  • Fontan procedure
  • Tetralogy of Fallot