Skip to main content

Giant Cardiac Fibroma: An Unusual Cause of Failure to Thrive

Abstract

Cardiac fibromas are extremely rare in the general pediatric population and may present with a wide spectrum of clinical signs, including life-threatening arrhythmias and sudden death. We report a 14-month-old boy who presented with failure to thrive as the only symptom. Echocardiography showed a large cardiac fibroma in the right ventricle. Cardiac magnetic resonance imaging confirmed the diagnosis. After complete surgical tumor resection, the boy showed normal catch-up growth. This case underlines the diversity of clinical features of cardiac tumors, which implies that they should be considered early in the differential diagnosis of infants with failure to thrive.

This is a preview of subscription content, access via your institution.

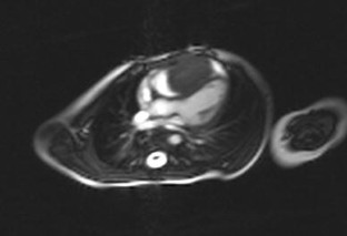
Fig. 1
Fig. 2
Fig. 3

References

  1. Abushaban L, Denham B, Duff D (1993) 10 year review of cardiac tumours in childhood. Br Heart J 70(2):166–169

    PubMed  Article  CAS  Google Scholar 

  2. Beghetti M, Gow RM, Haney I, Mawson J, Williams WG, Freedom RM (1977) Pediatric primary benign cardiac tumors: a 15-year review. Am Heart J 134(6):1107–1114

    Google Scholar 

  3. Burke AP, de Rosado Christenson M, Templeton PA, Virmani R (1994) Cardiac fibroma: clinicopathologic correlates and surgical treatment. J Thorac Cardiovasc Surg 108(5):862–870

    PubMed  CAS  Google Scholar 

  4. Busch U, Kampmann C, Meyer R, Sandring KH, Hausdorf G, Konertz W (1995) Removal of a giant cardiac fibroma from a 4-year-old child. Tex Heart Inst J 22(3):261–264

    PubMed  CAS  Google Scholar 

  5. Cho JM, Danielson GK, Puga FJ et al (2003) Surgical resection of ventricular cardiac fibromas: early and late results. Ann Thorac Surg 76(6):1929–1934

    PubMed  Article  Google Scholar 

  6. Gazit AZ, Gandhi SK (2007) Pediatric primary cardiac tumors: diagnosis and treatment. Curr Treat Options Cardiovasc Med 9(5):399–406

    PubMed  Article  Google Scholar 

  7. Gunther T, Schreiber C, Noebauer C, Eicken A, Lange R (2008) Treatment strategies for pediatric patients with primary cardiac and pericardial tumors: a 30-year review. Pediatr Cardiol 29(6):1071–1076

    PubMed  Article  Google Scholar 

  8. Kusano KF, Ohe T (2002) Cardiac tumors that cause arrhythmias. Card Electrophysiol Rev 6(1–2):174–177

    PubMed  Article  Google Scholar 

  9. Nadas AS, Ellison RC (1968) Cardiac tumors in infancy. Am J Cardiol 21(3):236–363

    Article  Google Scholar 

  10. Ottaviani G, Rossi L, Ramos SG, Matturri L (1999) Pathology of the heart and conduction system in a case of sudden death due to a cardiac fibroma in a 6-month-old child. Cardiovasc Pathol 8(2):109–112

    PubMed  Article  CAS  Google Scholar 

Download references

Author information

Affiliations

Authors

Corresponding author

Correspondence to Damian Hutter.

Rights and permissions

Reprints and Permissions

About this article

Cite this article

Navarini, S., Latzin, P., Kadner, A. et al. Giant Cardiac Fibroma: An Unusual Cause of Failure to Thrive. Pediatr Cardiol 34, 1264–1266 (2013). https://doi.org/10.1007/s00246-012-0374-9

Download citation

  • Received:

  • Accepted:

  • Published:

  • Issue Date:

  • DOI: https://doi.org/10.1007/s00246-012-0374-9

Keywords

  • Cardiac fibroma
  • Children
  • Failure to thrive
  • Infant