Skip to main content

A Case of Wolf-Hirschhorn Syndrome and Hypoplastic Left Heart Syndrome

Abstract

Wolf-Hirschhorn Syndrome (WHS) is a genetic syndrome that includes a typical facial appearance, mental retardation, growth delay, seizures, and congenital cardiac defects. A deletion of the terminal band of the short arm of chromosome 4, with a breakpoint at the 4p15 to 4p16 region, is the most common genetic mutation causing WHS. Congenital heart disease associated with WHS typically includes atrial and ventricular septal defects, though there are a few case reports of associated complex congenital heart disease. Here we report a case of an infant with a large 4p deletion, with a breakpoint at the 4p12 region, and hypoplasic left heart syndrome. We discuss a possible link between the size of the chromosomal deletion in WHS and the severity of the cardiac defect.

This is a preview of subscription content, access via your institution.

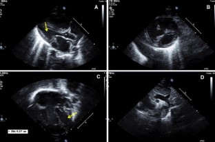
Fig. 1

References

  1. Battaglia A, Filippi T, Carey JC (2008) Update on the clinical features and natural history of Wolf-Hirschhorn (4p-) syndrome: experience with 87 patients and recommendations for routine health supervision. Am J Med Genet C Semin Med Genet 148C(4):246–251

    PubMed  Article  CAS  Google Scholar 

  2. Bergmann A, Cole F, Hirschhorn K (2005) The etiology of Wolf-Hirschhorn syndrome. Trends Genet 21(3):188–195

    Article  Google Scholar 

  3. Fisch GS, Grossfeld P, Falk R, Battaglia A, Youngblom J, Simensen R et al (2010) Cognitive-behavioral features of Wolf-Hirschhorn syndrome and other subtelomeric microdeletions. Am J Med Genet C Semin Med Genet 154C(4):417–426

    PubMed  Article  Google Scholar 

  4. Nimura K, Ura K, Shiratori H, Ikawa M, Okabe M, Schwartz RJ et al (2009) A histone H3 lysine 36 trimethyltransferase links Nkx2-5 to Wolf-Hirschhorn syndrome. Nature 460:287–291

    PubMed  Article  CAS  Google Scholar 

  5. Tautz J, Veenma D, Eussen B, Joosen L, Poddighe P, Tibboel D et al (2010) Congenital diaphragmatic hernia and a complex heart defect in association with Wolf-Hirschhorn syndrome. Am J Med Genet A 152A(11):2891–2894

    PubMed  Article  Google Scholar 

  6. Van Buggenhout G, Melotte C, Dutta B, Froyen G, Van Hummelen P, Marynen P et al (2001) Mild Wolf-Hirschhorn syndrome: micro-array CGH analysis of atypical 4p16.3 deletions enables refinement of the genotype-phenotype map. J Med Genet 38:674–679

    Article  Google Scholar 

  7. Zollino M, Di Sefano C, Zampino G, Mastroiacovo P, Wright TJ, Sorge G et al (2000) Genotype–phenotype correlations and clinical diagnostic criteria in Wolf-Hirschhorn syndrome. Am J Med Genet 94:254–261

    PubMed  Article  CAS  Google Scholar 

Download references

Author information

Affiliations

Authors

Corresponding author

Correspondence to Kelley von Elten.

Rights and permissions

Reprints and Permissions

About this article

Cite this article

von Elten, K., Sawyer, T., Lentz-Kapua, S. et al. A Case of Wolf-Hirschhorn Syndrome and Hypoplastic Left Heart Syndrome. Pediatr Cardiol 34, 1244–1246 (2013). https://doi.org/10.1007/s00246-012-0367-8

Download citation

  • Received:

  • Accepted:

  • Published:

  • Issue Date:

  • DOI: https://doi.org/10.1007/s00246-012-0367-8

Keywords

  • Hypoplastic left heart
  • Chromosome 4