Skip to main content

A Fetus With Hypoplastic Left Heart Syndrome and Tricuspid Stenosis With Evolving Hydrops Fetalis

Abstract

Hypoplastic left heart syndrome (HLHS) is a severe congenital heart defect that results in death if not treated shortly after birth. In approximately 60 to 70% of cases, HLHS can be detected prenatally and generally is well tolerated due to the presence of the foramen ovale and ductus arteriosus, which allow for blood to bypass the left side of the heart but still provide adequate blood flow to the systemic circulation. A rare case of HLHS involving a fetus with tricuspid valve stenosis, abnormal venous Doppler findings, and hydrops is reported.

This is a preview of subscription content, access via your institution.

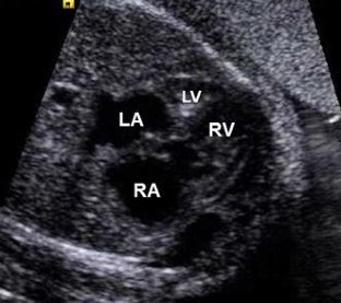
Fig. 1
Fig. 2
Fig. 3
Fig. 4

References

  1. Hinton RB Jr, Martin LJ, Tabangin ME, Mazwi ML, Cripe LH, Benson DW (2007) Hypoplastic left heart syndrome is heritable. J Am Coll Cardiol 50:1590–1595

    PubMed  Article  Google Scholar 

  2. Stamm C, Anderson RH, Ho SY (1997) The morphologically tricuspid valve in hypoplastic left heart syndrome. Eur J Cardiothorac Surg 12:587–592

    PubMed  Article  CAS  Google Scholar 

  3. Galindo A, Nieto O, Villagra S, Graneras A, Herraiz I, Mendoza A (2009) Hypoplastic left heart syndrome diagnosed in fetal life: associated findings, pregnancy outcome, and results of palliative surgery. Ultrasound Obstet Gynecol 33:560–566

    PubMed  Article  CAS  Google Scholar 

  4. Allen RH, Benson CB, Haug LW (2005) Pregnancy outcome of fetuses with a diagnosis of hypoplastic left ventricle on prenatal sonography. J Ultrasound Med 24:1199–1203

    PubMed  Google Scholar 

  5. Huhta JC (2004) Guidelines for the evaluation of heart failure in the fetus with or without hydrops. Pediatr Cardiol 25:274–286

    PubMed  Article  CAS  Google Scholar 

  6. Gest AL, Martin CG, Moise AA, Hansen TN (1990) Reversal of venous blood flow with atrial tachycardia and hydrops in fetal sheep. Pediatr Res 28:223–226

    PubMed  Article  CAS  Google Scholar 

Download references

Author information

Affiliations

Authors

Corresponding author

Correspondence to Allison Divanović.

Rights and permissions

Reprints and Permissions

About this article

Cite this article

Divanović, A., Witte, D. & Michelfelder, E. A Fetus With Hypoplastic Left Heart Syndrome and Tricuspid Stenosis With Evolving Hydrops Fetalis. Pediatr Cardiol 33, 1210–1212 (2012). https://doi.org/10.1007/s00246-012-0253-4

Download citation

  • Received:

  • Accepted:

  • Published:

  • Issue Date:

  • DOI: https://doi.org/10.1007/s00246-012-0253-4

Keywords

  • Congenital heart defect
  • HLHS
  • Hypoplastic left heart syndrome
  • Tricuspid stenosis
  • Hydrops fetalis