Skip to main content

Absence of the Right Pulmonary Artery Associated With a Partial Anomalous Pulmonary Venous Connection

Abstract

Unilateral absence of a pulmonary artery is a rare anomaly. Patients may present with hemoptysis, recurrent respiratory infections, pulmonary hypertension, or congestive heart failure. This report describes the case of a missing right pulmonary artery associated with anomalous left pulmonary venous connection not previously described in the medical literature.

This is a preview of subscription content, access via your institution.

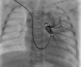
Fig. 1
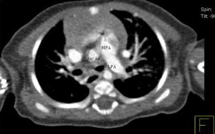
Fig. 2
Fig. 3

References

  1. Anderson RC, Char F, Adam PJR (1958) Proximal interruption of a pulmonary arch (absence of one pulmonary artery): case report and a new embryologic interpretation. Dis Chest 34:73–86

    PubMed  CAS  Google Scholar 

  2. Bahler AC, Carson P, Traks E, Levene A, Gillespie D (1969) Absent right pulmonary artery: problems in diagnosis and management. Am J Med 46:64–71

    PubMed  Article  CAS  Google Scholar 

  3. Bouros D, Pare P, Panagou P, Tsintiris K, Siafakas N (1995) The varied manifestation of pulmonary artery agenesis in adulthood. Chest 108:670–676

    PubMed  Article  CAS  Google Scholar 

  4. Cucci CE, Doyle EF, Lewis EW Jr (1964) Absence of a primary division of the pulmonary trunk: an ontogenetic theory. Circulation 29:124–131

    PubMed  CAS  Google Scholar 

  5. Fraentzel O (1868) Ein Fall von anormer communication der aorta mit der arteria pulmonalis. Virchow’s Arch Path Anat 43:420–422

    Article  Google Scholar 

  6. Ghanbari H, Feldman D, David S, Saba S (2009) Unilateral absence of a left pulmonary artery: successful therapeutic response to a combination of bosentan and warfarin. Circ Cardiovasc Imaging 2:e46–e48

    PubMed  Article  Google Scholar 

  7. Koga H, Hidaka T, Miyako K, Suga N, Noboru T (2010) Age-related clinical characteristics of isolated congenital unilateral absence of a pulmonary artery. Pediatr Cardiol 31:1186–1190

    PubMed  Article  Google Scholar 

  8. Maeda S, Suzuki S, Moriya T, Suzuki T, Chida M, Suda H, Sakuma H, Kondo T, Sasano H (2001) Isolated unilateral absence of a pulmonary artery: influence of systemic circulation on alveolar capillary vessels. Pathol Int 51:649–653

    PubMed  Article  CAS  Google Scholar 

  9. Pool PE, Vogel JHK, Blount SG (1962) Congenital unilateral absence of a pulmonary artery. Am J Cardiol 10:706–732

    PubMed  Article  CAS  Google Scholar 

  10. Shakibi JG, Rastan H, Nazarian I, Paydar M, Aryanpour I, Siassi B (1978) Isolated unilateral absence of the pulmonary artery: review of the world literature and guidelines for surgical repair. Jpn Heart J 19:439–451

    PubMed  Article  CAS  Google Scholar 

  11. Singhi AK, Francis E, Kumar RK (2010) Isolated absence of right pulmonary artery. Ann Pediatr Cardiol 2:119–122

    Google Scholar 

  12. Ten Harkel AD, Blom NA, Ottenkamp J (2002) Isolated unilateral absence of a pulmonary artery. Chest 122:1471–1477

    PubMed  Article  Google Scholar 

Download references

Author information

Affiliations

Authors

Corresponding author

Correspondence to Canan Ayabakan.

Rights and permissions

Reprints and Permissions

About this article

Cite this article

Binnetoğlu, K., Ayabakan, C., Sarisoy, Ö. et al. Absence of the Right Pulmonary Artery Associated With a Partial Anomalous Pulmonary Venous Connection. Pediatr Cardiol 33, 182–184 (2012). https://doi.org/10.1007/s00246-011-0110-x

Download citation

  • Received:

  • Accepted:

  • Published:

  • Issue Date:

  • DOI: https://doi.org/10.1007/s00246-011-0110-x

Keywords

  • Right pulmonary artery
  • Anomalous pulmonary venous connection
  • Pulmonary hypertension