Skip to main content

Takayasu’s Arteritis Mimicking Unilateral Pulmonary Artery Agenesis in a Child With Severe Pulmonary Hypertension and Right Heart Failure: A Diagnostic Dilemma

Abstract

Affliction of the pulmonary arteries in Takayasu’s arteritis is uncommon. Moreover the incidence of pulmonary artery involvement in this condition is often underestimated because of asymptomatic nature in most patients. Severe involvement may however present with pulmonary artery hypertension and hemoptysis, which may prove to be fatal. This case report describes a 9-year-old girl with severe pulmonary hypertension and right heart failure secondary to total occlusion of the right pulmonary artery. Detailed clinical examination and computed tomography (CT) angiography confirmed this diagnosis.

This is a preview of subscription content, access via your institution.

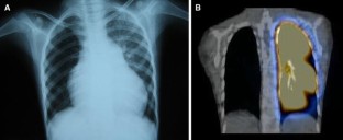
Fig. 1
Fig. 2
Fig. 3
Fig. 4

References

  1. Grum CM, Yarnal JR, Cook SA, Cardasco EM, Tomashefski JF (1981) Unilateral hyperlucent lung: noninvasive diagnosis of the pulmonary artery agenesis. Angiology 32:194–207

    PubMed  Article  CAS  Google Scholar 

  2. Hayashi K, Nagasaki M, Matsunaga N et al (1986) Initial pulmonary artery involvement in Takayasu arteritis. Radiology 159:401–403

    PubMed  CAS  Google Scholar 

  3. Ishikawa K (1978) Natural history and classification of occlusive thromboartopathy (Takayasu’s disease). Circulation 57:27–35

    PubMed  CAS  Google Scholar 

  4. Lie JT (1996) Isolated pulmonary Takayasu arteritis: clinicopathological characteristics. Mod Pathol 9:469–474

    PubMed  CAS  Google Scholar 

  5. Lupi-Herrera E, Sanchez-Torres G, Marcushamer J, Mispireta J, Horwitz S, Vela JE (1977) Takayasu’s arteritis: clinical study of 107 cases. Am Heart J 93:94–103

    PubMed  Article  CAS  Google Scholar 

  6. Matsunaga N, Hayashi K, Sakamoto I et al (1993) Coronary-to-pulmonary artery shunts via the bronchial artery: analysis of cineangiographic studies. Radiology 186:877–882

    PubMed  CAS  Google Scholar 

  7. Paul J, Hernigou A, Lefe B et al (1999) Electron beam CT features of the pulmonary artery in Takayasu’s arteritis. AJR Am J Roentgenol 173:89–93

    PubMed  CAS  Google Scholar 

  8. Saito Y, Hirota K, Ito I et al (1972) Clinical and pathological studies of five autopsied cases of aortitis syndrome: Part 1. Findings of the aorta and its branches, peripheral arteries and pulmonary arteries. Jap Heart J 13:20

    PubMed  Article  CAS  Google Scholar 

  9. Sharma S, Kamalakar T, Rajani M, Talwar KK, Shrivastava S (1990) The incidence and patterns of pulmonary artery involvement in Takayasu’s arteritis. Clin Radiol 42:182–187

    PubMed  Article  CAS  Google Scholar 

  10. Shrivastava S, Srivastava RN, Tandon R (1986) Idiopathic obstructive aortoarteritis in children. Indian Paediatr 23:403–410

    CAS  Google Scholar 

  11. Suzuki Y, Konishi K, Hisada K (1973) Radioisotope lung scanning in Takayasu’s arteritis. Radiology 109:133–136

    PubMed  CAS  Google Scholar 

  12. Yamada I, Shibuya H, Matsubara O, Umehard I, Makino T, Numano F, Suzuki S (1992) Pulmonary artery disease in Takayasu’s arteritis: angiographic findings. AJR Am J Roent 159:263–269

    CAS  Google Scholar 

Download references

Acknowledgment

The authors thank Dr. Amithab Arya from Department of Nuclear Medicine, SGPGIMS, for providing SPECT CT lung perfusion images.

Author information

Affiliations

Authors

Corresponding author

Correspondence to Sudeep Kumar.

Electronic supplementary material

Below is the link to the electronic supplementary material.

Video 1 Transthoracic echocardiogram in basal short-axis view showing dilated main and left pulmonary arteries with no right pulmonary artery shadow. (WMV 866 kb)

Rights and permissions

Reprints and Permissions

About this article

Cite this article

Kumar, S., Moorthy, N., Kapoor, A. et al. Takayasu’s Arteritis Mimicking Unilateral Pulmonary Artery Agenesis in a Child With Severe Pulmonary Hypertension and Right Heart Failure: A Diagnostic Dilemma. Pediatr Cardiol 32, 993–997 (2011). https://doi.org/10.1007/s00246-011-0025-6

Download citation

  • Received:

  • Accepted:

  • Published:

  • Issue Date:

  • DOI: https://doi.org/10.1007/s00246-011-0025-6

Keywords

  • Pulmonary artery agenesis
  • Pulmonary hypertension
  • Takayasu’s arteritis