Skip to main content

Loeffler’s Syndrome

This is a preview of subscription content, access via your institution.

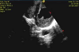
Fig. 1
Fig. 2

References

  1. Ommen S, Seward J, Tajik A (2000) Clinical and echocardiographic features of hypereosinophilic syndromes. Am J Cardiol 86:110–113

    Article  CAS  PubMed  Google Scholar 

  2. Shah R, Ananthasubramaniam K (2006) Evaluation of cardiac involvement in hypereosinophilic syndrome: complementary roles of transthoracic, transesophageal, and contrast echocardiography. Echocardiography: A J CV Ultrasound Allied Tech 23:689-691

    Google Scholar 

  3. Slungaard A, Vercellotti G, Tran T et al (1993) Eosinophil cationic granule proteins impair thrombomodulin function: a potential mechanism for thromboembolism in hypereosinophilic syndrome. J Clin Invest 91:1721–1730

    Article  CAS  PubMed  Google Scholar 

Download references

Author information

Affiliations

Authors

Corresponding author

Correspondence to Nidhi Narula.

Electronic supplementary material

Below is the link to the electronic supplementary material.

Movie clip 1 Two-dimensional echocardiogram. The apical four-chamber view shows complete obliteration of the apical portion of the right ventricle. (MOV 2529 kb)

Movie clip 2 Color echocardiogram in an apical four-chamber view showing dense obliteration of the right ventricle apex and severe tricuspid regurgitation. (MOV 2773 kb)

Movie clip 3 Two-dimensional echocardiogram in a parasternal long axis view showing obliteration of the right ventricle apex as well as involvement of the left ventricle lateral wall with thickening of the posterior mitral leaflet. (MOV 2332 kb)

Movie clip 4 Two-dimensional echocardiogram in a parasternal short axis view showing complete replacement of the right ventricular cavity. Infiltration is seen in the left ventricle also. (MOV 2089 kb)

Rights and permissions

Reprints and Permissions

About this article

Cite this article

Narula, N., Mahajan, R. & Rohit, M. Loeffler’s Syndrome. Pediatr Cardiol 31, 931–932 (2010). https://doi.org/10.1007/s00246-010-9732-7

Download citation

  • Received:

  • Accepted:

  • Published:

  • Issue Date:

  • DOI: https://doi.org/10.1007/s00246-010-9732-7

Keywords

  • Mitral Regurgitation
  • Pericardial Effusion
  • Tricuspid Regurgitation
  • Cardiac Involvement
  • Restrictive Cardiomyopathy