Skip to main content

Two Young Adults Who Had Acute Coronary Syndrome after Regression of Coronary Aneurysms Caused by Kawasaki Disease in Infancy

Abstract

We report two young adult patients who had acute coronary syndrome after regression of coronary aneurysms caused by Kawasaki disease (KD). A 26 year-old man had acute anterior myocardial infarction at midnight after drinking alcohol. He had had bilateral coronary aneurysms caused by KD at the age of 8 months. Selective coronary angiograms (CAGs) at the age of 7 years revealed regression of both coronary aneurysms. He had no symptoms until the onset of acute myocardial infarction. The other patient was a 24 year-old man diagnosed as having a subendocardial infarction. He had had bilateral coronary aneurysms caused by KD at the age of 1 year. CAGs at the age of 9 years showed that both had regressed. It should be recognized that young adults with apparently normal coronary arteries angiographically after regression of large coronary aneurysms caused by KD may occasionally have acute coronary syndromes. We suspect intimal involvement of the coronary arterial wall after regression of the large aneurysms underlies the acute coronary syndrome in adults. Risk factors for atherosclerosis must be avoided in this population.

This is a preview of subscription content, access via your institution.

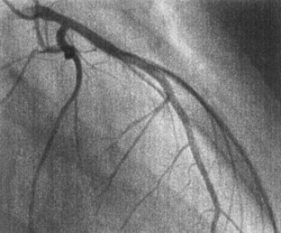
Fig. 1
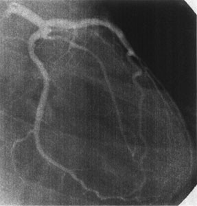
Fig. 2
Fig. 3
Fig. 4
Fig. 5

References

  1. Akagi T, Rose V, Benson LN, A, et al (1992) Outcome of coronary artery aneurysms after Kawasaki disease. J Pediatr 121:689–694

    PubMed  CAS  Article  Google Scholar 

  2. Burns JC, Shike H, Gordon JB, et al (1996) Sequelae of Kawasaki disease in adolescents and young adults. J Am Coll Cardiol 28:253–257

    PubMed  CAS  Article  Google Scholar 

  3. Iemura M, Ishii M, Sugimura T, Akagi T, Kato H (2000) Long term consequences of regressed coronary aneurysms after Kawasaki disease: vascular wall morphology and function. Heart 83:307–311

    PubMed  CAS  Article  Google Scholar 

  4. Kato H, Sugimura T, Akagi T, et al (1996) Long-term consequences of Kawasaki disease. A 10 to 21 year follow-up study of 594 patients. Circulation 94:1379–1385

    PubMed  CAS  Google Scholar 

  5. Mitani Y, Okuda Y, Shimpo H, et al (1997) Impaired endothelial dysfunction in epicardial coronary arteries after Kawasaki disease. Circulation 96:454–461

    PubMed  CAS  Google Scholar 

  6. Nakano H, Ueda K, Saito A, et al (1985) Repeated quantitative angiograms in coronary arterial aneurysm in Kawasaki Disease. Am J Cardiol 56:846–851

    PubMed  CAS  Article  Google Scholar 

  7. Naoe S, Takahashi K, Masuda H, et al (1991) Kawasaki disease with particular emphasis on arterial lesions. Acta Pathol Japonica 41:785–797

    CAS  Google Scholar 

  8. Negoro N, Nariyama J, Nakagawa A, et al (2003) Successful catheter interventional therapy for acute coronary syndrome secondary to Kawasaki disease in young adults. Circ J 67:362–365

    PubMed  Article  Google Scholar 

  9. Sasaguri Y, Kato H (1982) Regression of aneurysms in Kawasaki disease: a pathological study. J Pediatr 100:225–231

    PubMed  CAS  Article  Google Scholar 

  10. Sugimura T, Kato H, Inoue O, et al (1994) Intravascular ultrasound of coronary arteries in children: assessment of the wall morphology and the lumen after Kawasaki disease. Circulation 89:258–265

    PubMed  CAS  Google Scholar 

  11. Suzuki A, Miyagawa-Tomita S, Komatsu K, et al (2000) Active remodeling of the coronary arterial lesions in the late phase of Kawasaki disease: immunohistochemical study. Circulation 101:2935–2941

    PubMed  CAS  Google Scholar 

  12. Suzuki A, Yamagishi M, Kimura K, et al (1996) Functional behavior and morphology of the coronary artery wall in patients with Kawasaki disease assessed by intravascular ultrasound. J Am Coll Cardiol 27:291–296

    PubMed  CAS  Article  Google Scholar 

  13. Tsuda E (2003) Intravascular ultrasound in Kawasaki disease. Res Adv Cardiol 2:21–28

    Google Scholar 

  14. Tsuda E, Kamiya T, Kimura K, Ono Y, Echigo Si (2002) Coronary artery dilatation exceeding 4.0 mm during acute Kawasaki disease predicts a high probability of subsequent late intima-medial thickening. Pediatr Cardiol 23:9–14

    PubMed  CAS  Article  Google Scholar 

  15. Tsuda E, Kamiya T, Ono Y, et al (2005) Incidence of stenotic lesions predicted by acute phase changes in coronary arterial diameter during Kawasaki disease: threshold for coronary aneurysm causing stenosis is 6.0 mm. Pediatr Cardiol 26:73–79

    PubMed  CAS  Article  Google Scholar 

  16. Tsuda E, Kamiya T, Ono Y, et al (2005) Dilated coronary arterial lesions in the late period after Kawasaki disease. Heart 91:177–182

    PubMed  CAS  Article  Google Scholar 

Download references

Acknowledgments

We thank Professor Peter Olley and Dr. Setsuko Olley for their English language consultation. We thank Dr. Teiji Akagi (Kurume University) and Dr. Kenji Kishida (Kokura Memorial Hospital) for their cooperation.

Author information

Affiliations

Authors

Corresponding author

Correspondence to E. Tsuda.

Rights and permissions

Reprints and Permissions

About this article

Cite this article

Tsuda, E., Hanatani, A., Kurosaki, K. et al. Two Young Adults Who Had Acute Coronary Syndrome after Regression of Coronary Aneurysms Caused by Kawasaki Disease in Infancy. Pediatr Cardiol 27, 372–375 (2006). https://doi.org/10.1007/s00246-005-1233-8

Download citation

  • Published:

  • Issue Date:

  • DOI: https://doi.org/10.1007/s00246-005-1233-8

Keywords

  • Kawasaki disease
  • Coronary artery aneurysm
  • Acute myocardial infarction