Skip to main content

Patients with nephrolithiasis had lower fetuin-A protein level in urine and renal tissue

Abstract

Fetuin-A acts as an inhibitor of systemic and local ectopic calcification and inflammatory response, but the role of fetuin-A in the etiology of urolithiasis is still unclear. We aim to investigate the expression of fetuin-A in the serum, urine and renal tissue of patients with or without nephrolithiasis. 48 patients with nephrolithiasis (group A) and 32 individuals without urolithiasis (group B, control group) were enrolled into our study. Level of fetuin-A in serum and urine was measured by ELISA, and expression of fetuin-A in renal tissue was localized and assessed by immunohistochemistry, real-time polymerase chain reaction, and Western blotting, respectively. Indexes of oxidative stress in kidney were evaluated. Other routine serum and urine chemistries for inpatients were measured biochemically. The results showed that fetuin-A expressed widely in the proximal and distal renal tubule, the thin segment of Henle’s loop and the collecting duct epithelium. There were no differences in serum fetuin-A level between the two groups. Compared with control group, cellular expression of P47phox and fetuin-A mRNAs in the renal tissue of patients with nephrolithiasis increased, the level of MDA in renal tissue and the level of urinary calcium also increased, but urinary and renal fetuin-A protein and the activities of SOD in renal tissue decreased. Correlation analysis showed that there was a negative correlation between the level of renal fetuin-A protein and the expression of P47phox mRNA and MDA. These results revealed that nephrolithiasis patients had lower fetuin-A protein level in urine and renal tissue.

This is a preview of subscription content, access via your institution.

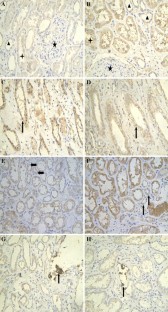
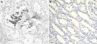
Fig. 1
Fig. 2
Fig. 3
Fig. 4
Fig. 5

References

  1. Schafer C, Heiss A, Schwarz A, Westenfeld R, Ketteler M, Floege J, Muller-Esterl W, Schinke T, Jahnen-Dechent W (2003) The serum protein alpha 2-Heremans–Schmid glycoprotein/fetuin-a is a systemically acting inhibitor of ectopic calcification. J Clin Invest 112:357–366

    PubMed Central  PubMed  Google Scholar 

  2. Price PA, Lim JE (2003) The inhibition of calcium phosphate precipitation by fetuin is accompanied by the formation of a fetuin–mineral complex. J Biol Chem 278:22144–22152

    CAS  PubMed  Article  Google Scholar 

  3. Heiss A, DuChesne A, Denecke B, Grotzinger J, Yamamoto K, Renne T, Jahnen-Dechent W (2003) Structural basis of calcification inhibition by alpha 2-hs glycoprotein/fetuin-a. Formation of colloidal calciprotein particles. J Biol Chem 278:13333–13341

    CAS  PubMed  Article  Google Scholar 

  4. Ketteler M, Bongartz P, Westenfeld R, Wildberger JE, Mahnken AH, Böhm R, Metzger T, Wanner C, Jahnen-Dechent W, Floege J (2003) Association of low fetuin-a (ahsg) concentrations in serum with cardiovascular mortality in patients on dialysis: a cross-sectional study. Lancet 361:827–833

    CAS  PubMed  Article  Google Scholar 

  5. Ombrellino M, Wang H, Yang H, Zhang M, Vishnubhakat J, Frazier A, Scher LA, Friedman SG, Tracey KJ (2001) Fetuin, a negative acute phase protein, attenuates tnf synthesis and the innate inflammatory response to carrageenan. Shock 15:181–185

    CAS  PubMed  Article  Google Scholar 

  6. Li W, Zhu S, Li J, Huang Y, Zhou R, Fan X, Yang H, Gong X, Eissa NT, Jahnen-Dechent W, Wang P, Tracey KJ, Sama AE, Wang H (2011) A hepatic protein, fetuin-a, occupies a protective role in lethal systemic inflammation. PLoS ONE 6:e16945

    CAS  PubMed Central  PubMed  Article  Google Scholar 

  7. Terkeltaub RA, Santoro DA, Mandel G, Mandel N (1988) Serum and plasma inhibit neutrophil stimulation by hydroxyapatite crystals. Evidence that serum alpha 2-hs glycoprotein is a potent and specific crystal-bound inhibitor. Arthritis Rheum 31:1081–1089

    CAS  PubMed  Article  Google Scholar 

  8. Smith ER, Hanssen E, McMahon LP, Holt SG (2013) Fetuin-a-containing calciprotein particles reduce mineral stress in the macrophage. PLoS ONE 8:e60904

    CAS  PubMed Central  PubMed  Article  Google Scholar 

  9. Price PA, Nguyen TM, Williamson MK (2003) Biochemical characterization of the serum fetuin-mineral complex. J Biol Chem 278:22153–22160

    CAS  PubMed  Article  Google Scholar 

  10. Schinke T, Amendt C, Trindl A, Poschke O, Muller-Esterl W, Jahnen-Dechent W (1996) The serum protein alpha2-hs glycoprotein/fetuin inhibits apatite formation in vitro and in mineralizing calvaria cells. A possible role in mineralization and calcium homeostasis. J Biol Chem 271:20789–20796

    CAS  PubMed  Article  Google Scholar 

  11. Asplin JR (2002) Hyperoxaluric calcium nephrolithiasis. Endocrinol Metab Clin North Am 31:927–949

    CAS  PubMed  Article  Google Scholar 

  12. Khan SR (1995) Calcium oxalate crystal interaction with renal tubular epithelium, mechanism of crystal adhesion and its impact on stone development. Urol Res 23:71–79

    CAS  PubMed  Article  Google Scholar 

  13. Tungsanga K, Sriboonlue P, Futrakul P, Yachantha C, Tosukhowong P (2005) Renal tubular cell damage and oxidative stress in renal stone patients and the effect of potassium citrate treatment. Urol Res 33:65–69

    CAS  PubMed  Article  Google Scholar 

  14. Huang HS, Ma MC, Chen J, Chen CF (2002) Changes in the oxidant-antioxidant balance in the kidney of rats with nephrolithiasis induced by ethylene glycol. J Urol 167:2584–2593

    CAS  PubMed  Article  Google Scholar 

  15. Thamilselvan S, Khan SR, Menon M (2003) Oxalate and calcium oxalate mediated free radical toxicity in renal epithelial cells: effect of antioxidants. Urol Res 31:3–9

    CAS  PubMed  Google Scholar 

  16. Thamilselvan S, Khan SR (1998) Oxalate and calcium oxalate crystals are injurious to renal epithelial cells: results of in vivo and in vitro studies. J Nephrol 11 Suppl 1:66–69

    CAS  PubMed  Google Scholar 

  17. Li CY, Deng YL, Sun BH (2009) Taurine protected kidney from oxidative injury through mitochondrial-linked pathway in a rat model of nephrolithiasis. Urol Res 37:211–220

    CAS  PubMed  Article  Google Scholar 

  18. Li C, Deng Y, Sun B (2009) Effects of apocynin and losartan treatment on renal oxidative stress in a rat model of calcium oxalate nephrolithiasis. Int Urol Nephrol 41:823–833

    CAS  PubMed  Article  Google Scholar 

  19. Fasano JM, Khan SR (2001) Intratubular crystallization of calcium oxalate in the presence of membrane vesicles: an in vitro study. Kidney Int 59:169–178

    CAS  PubMed  Article  Google Scholar 

  20. Khan SR (2005) Hyperoxaluria-induced oxidative stress and antioxidants for renal protection. Urol Res 33:349–357

    CAS  PubMed  Article  Google Scholar 

  21. Thamilselvan S, Selvam R (1997) Effect of vitamin e and mannitol on renal calcium oxalate retention in experimental nephrolithiasis. Indian J Biochem Biophys 34:319–323

    CAS  PubMed  Google Scholar 

  22. Stejskal D, Karpisek M, Vrtal R, Student V, Solichova P, Fiala R, Stejskal P (2008) Urine fetuin-a values in relation to the presence of urolithiasis. Bju Int 101:1151–1154

    CAS  PubMed  Article  Google Scholar 

  23. Gurbuz C, Polat H, Yildirim A, Canat L, Bayram G, Caskurlu T (2010) The role of alpha2-heremans schmid glycoprotein (fetuin-a) in the etiology of urolithiasis. Curr Urol 4:10–14

    CAS  Article  Google Scholar 

  24. Umekawa T, Hatanaka Y, Kurita T, Khan SR (2004) Effect of angiotensin ii receptor blockage on osteopontin expression and calcium oxalate crystal deposition in rat kidneys. J Am Soc Nephrol 15:635–644

    CAS  PubMed  Article  Google Scholar 

  25. Rho JH, Roehrl MHA, Wang JY (2009) Glycoproteomic analysis of human lung adenocarcinomas using glycoarrays and tandem mass spectrometry: differential expression and glycosylation patterns of vimentin and fetuin a isoforms. Protein J 28:148–160

    CAS  PubMed  Article  Google Scholar 

  26. Onozato ML, Tojo A, Goto A, Fujita T, Wilcox CS (2002) Oxidative stress and nitric oxide synthase in rat diabetic nephropathy: effects of acei and arb. Kidney Int 61:186–194

    CAS  PubMed  Article  Google Scholar 

  27. Aksoy H, Aksoy Y, Ozturk N, Aydin HR, Yildirim AK, Akcay F (2010) Fetuin-a gene polymorphism in patients with calcium oxalate stone disease. Urology 75:928–932

    PubMed  Article  Google Scholar 

  28. Ciftcioglu N, Bjorklund M, Kuorikoski K, Bergstrom K, Kajander EO (1999) Nanobacteria: an infectious cause for kidney stone formation. Kidney Int 56:1893–1898

    CAS  PubMed  Article  Google Scholar 

  29. Kajander EO, Ciftcioglu N, Miller-Hjelle MA, Hjelle JT (2001) Nanobacteria: controversial pathogens in nephrolithiasis and polycystic kidney disease. Curr Opin Nephrol Hy 10:445

    CAS  Article  Google Scholar 

  30. Deng YL, Meng DD, Li CY (2011) E18 the interaction of the calcifying nanoparticles (cnp) with human renal tubular epithelial cells (hk-2) in vitro. Eur Urol Suppl 10:468

    Article  Google Scholar 

  31. Hamano T, Matsui I, Mikami S, Tomida K, Fujii N, Imai E, Rakugi H, Isaka Y (2010) Fetuin-mineral complex reflects extraosseous calcification stress in ckd. J Am Soc Nephrol 21:1998–2007

    CAS  PubMed  Article  Google Scholar 

Download references

Acknowledgments

This study was supported by National Foundation of Natural Science (No. 30860280), Large-scale Instrument Collaboration Funded Projects of Guangxi Zhuang Autonomous Region (No. 776-2008-189).

Conflict of interest

All authors declared that they had no conflict of interest with regard to the present manuscript.

Author information

Affiliations

Authors

Corresponding author

Correspondence to Yao Liang Deng.

Rights and permissions

Reprints and Permissions

About this article

Cite this article

Wu, Y.X., Li, C.Y. & Deng, Y.L. Patients with nephrolithiasis had lower fetuin-A protein level in urine and renal tissue. Urolithiasis 42, 29–37 (2014). https://doi.org/10.1007/s00240-013-0613-4

Download citation

  • Received:

  • Accepted:

  • Published:

  • Issue Date:

  • DOI: https://doi.org/10.1007/s00240-013-0613-4

Keywords

  • Fetuin-A (AHSG)
  • Nephrolithiasis
  • Oxidative stress
  • Calcification