Skip to main content

Insights on the pathology of kidney stone formation

Abstract

The purpose of these studies was to test the hypothesis that Randall’s plaque develops in unique anatomical sites of the kidney and that its formation is conditioned by specific stone-forming pathophysiologies. To test this hypothesis, we performed intraoperative mapping studies with biopsies of papilla from the kidneys of 15 idiopathic calcium oxalate (CaOx) stone formers, four intestinal bypass for obesity patients and ten brushite stone formers, and obtained papillary specimens from four non-stone formers after nephrectomy. Both light and electron microscopic examination of tissue changes along with infrared and electron diffraction analyses of mineral composition were performed. Distinct patterns of mineral deposition and papillary pathology were discovered in each of the three different stone forming groups. CaOx stone formers had predictable sites of interstitial apatite crystals beginning at the thin loops of Henle and spreading to the urothelium. These plaque areas are termed Randall’s plaque and are thought to serve as sites for stone attachment. The papilla and medullary tubules appeared normal. The intestinal bypass patients only had intraluminal sites of crystalline material in the medullary collecting ducts. The brushite stone formers had the most severe form of cortical and medullary changes with sites of Randall’s plaque, and yellowish intraluminal deposits in medullary collecting ducts. All deposits were determined to be apatite. The metabolic and surgical pathologic finding in three distinct groups of stone formers clearly shows that “the histology of the renal papilla from a stone former is particular to the clinical setting”. It is observations like these that we believe will provide the insights to allow the stone community to generate better clinical treatments for kidney stone disease, as we understand the pathogenesis of stone formation for each type of stone former.

This is a preview of subscription content, access via your institution.

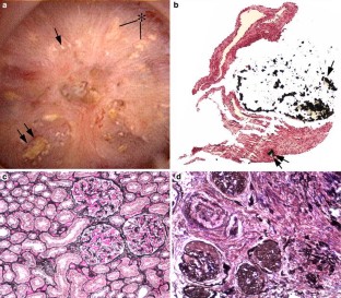
Fig. 1
Fig. 2
Fig. 3

References

  1. Shuster J, Scheaffer RL (1984) Economic impact of kidney stones in white male adults. Urology 24: 327

    Article  PubMed  Google Scholar 

  2. Parks JH, Coe FL (1996) The financial effects of kidney stone prevention. Kidney Int 50: 1706

    PubMed  Google Scholar 

  3. Lingeman JE, Coury TA, Newman DM et al. (1987) Comparison of results and morbidity of percutaneous nephrostolithotomy and extracorporeal shock wave lithotripsy. J Urol 138: 485

    PubMed  Google Scholar 

  4. Parks JH, Coe FL (1994) An increasing number of calcium oxalate stone events worsens treatment outcome. Kidney Int 45: 1722

    PubMed  Google Scholar 

  5. Khan SR (1991) Pathogenesis of oxalate urolithiasis: lessons from experimental studies with rats. Am J Kidney Dis 17: 398

    PubMed  Google Scholar 

  6. Randall A (1937) The origin and growth of renal calculi. Ann Surg 105: 1009

    Google Scholar 

  7. Asplin JR, Parks JH, Coe FL (1997) Dependence of upper limit of metastability on supersaturation in nephrolithiasis. Kidney Int 52: 1602

    PubMed  Google Scholar 

  8. Low RK, Stoller ML (1997) Endoscopic mapping of renal papillae for Randall’s plaques in patients with urinary stone disease. J Urol 158: 2062

    PubMed  Google Scholar 

  9. Evan AP, Lingeman JE, Coe FL et al. (2003) Randall’s plaque of patients with nephrolithiasis begins in basement membrane of thin loops of Henle. JCI 111: 607

    Article  PubMed  Google Scholar 

  10. Kuo RL, Lingeman JE, Evan AP et al. (2003) Urine calcium and volume predict coverage of renal papilla by Randall’s plaque. Kidney Int 64: 2150

    Article  PubMed  Google Scholar 

  11. Kim SC, Coe FL, Tinmouth WW et al. (2005) Stone formation is proportionally to papillary surface coverage by Randall’s plaque. J Urol 173: 117

    PubMed  Google Scholar 

  12. Khan SR, Hackett RL (1987) Crystal-matrix relationships in experimentally induced urinary calcium oxalate monohydrate crystals, an ultrastructural study. Calcif Tissue Int 41: 157

    PubMed  Google Scholar 

  13. Khan SR, Kok DJ (2004) Modulators of urinary stone formation. Frontiers Biosci 9: 1450

    Google Scholar 

  14. Evan AAP, Coe FL, Rittling SR et al. (2005) Apatite plaque particles in inner medulla of kidneys of CaOx stone formers: Osteopontin localization. Kidney Intl (in press)

    Google Scholar 

  15. Evan AP, Lingeman JE, Coe FL et al. (2005) Crystal-associated nephropathy in patients with brushite nephrolithiasis. Kidney Int 67: 576

    Article  PubMed  Google Scholar 

Download references

Acknowledgements

This study was supported by grants NIH NIDDK PO1 56788 and PO1 43881.

Author information

Affiliations

Authors

Corresponding author

Correspondence to Andrew P. Evan.

Rights and permissions

Reprints and Permissions

About this article

Cite this article

Evan, A.P., Coe, F.L., Lingeman, J.E. et al. Insights on the pathology of kidney stone formation. Urol Res 33, 383–389 (2005). https://doi.org/10.1007/s00240-005-0488-0

Download citation

  • Received:

  • Accepted:

  • Published:

  • Issue Date:

  • DOI: https://doi.org/10.1007/s00240-005-0488-0

Keywords

  • Kidney calculi
  • Pathology
  • Calcium oxalate
  • Hydroxyapatite
  • Human