Skip to main content

A practical protocol for shortening reconstruction time of volumetric data and imaging bilateral middle cerebral arteries for thrombectomy in acute ischemic stroke using an 80-row computed tomography scanner

Abstract

Time-consuming reconstruction of volumetric data by area-detector-computed tomography (ADCT) scanning and narrow coverage of small-row ADCT may hinder volumetric scanning in acute stroke stage. To design a practical protocol of volumetric scanning for thrombectomy using an 80-row ADCT. An imaging protocol that focuses on the middle cerebral arteries by tilting the gantry of an 80-row ADCT with 0.5-mm-thick detectors can shorten the reconstruction time by 1.0-mm thickness scanning without subtraction. The reconstruction time of small volumetric data was 69 second. This practical protocol is applicable before thrombectomy in different stroke centres with narrow-coverage ADCT scanners.

This is a preview of subscription content, access via your institution.

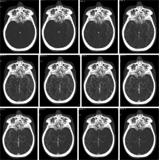
Fig. 1
Fig. 2

Abbreviations

CM:

Contrast medium

80r-ADCT:

80-row area-detector-computed tomography

4D-CTA:

Four-dimensional computed tomography angiography

VD:

Volumetric data

VS:

Volumetric scanning

References

  1. Albers GW, Thijs VN, Wechsler L, Kemp S, Schlaug G, Skalabrin E, Bammer R, Kakuda W, Lansberg MG, Shuaib A, Coplin W, Hamilton S, Moseley M, Marks MP, DEFUSE Investigators (2006) Magnetic resonance imaging profiles predict clinical response to early reperfusion: the diffusion and perfusion imaging evaluation for understanding stroke evolution (DEFUSE) study. Ann Neurol 60:508–517. https://doi.org/10.1002/ana.20976

    Article  PubMed  Google Scholar 

  2. Lansberg MG, Straka M, Kemp S, Mlynash M, Wechsler LR, Jovin TG, Wilder MJ, Lutsep HL, Czartoski TJ, Bernstein RA, Chang CW, Warach S, Fazekas F, Inoue M, Tipirneni A, Hamilton SA, Zaharchuk G, Marks MP, Bammer R, Albers GW, DEFUSE 2 study investigators (2012) MRI profile and response to endovascular reperfusion after stroke (DEFUSE 2): a prospective cohort study. Lancet Neurol 11:860–867. https://doi.org/10.1016/s1474-4422(12)70203-x

    Article  PubMed  PubMed Central  Google Scholar 

  3. Campbell BC, Mitchell PJ, Kleinig TJ et al (2015) Endovascular therapy for ischemic stroke with perfusion-imaging selection. N Engl J Med 372:1009–1018. https://doi.org/10.1056/NEJMoa1414792

    CAS  Article  PubMed  Google Scholar 

  4. Albers GW, Goyal M, Jahan R, Bonafe A, Diener HC, Levy EI, Pereira VM, Cognard C, Yavagal DR, Saver JL (2015) Relationships between imaging assessments and outcomes in Solitaire with the intention for thrombectomy as primary endovascular treatment for acute ischemic stroke. Stroke 46:2786–2794. https://doi.org/10.1161/STROKEAHA.115.010710

    CAS  Article  PubMed  Google Scholar 

  5. Menon BK, d'Esterre CD, Qazi EM, Almekhlafi M, Hahn L, Demchuk AM, Goyal M (2015) Multiphase CT angiography: a new tool for the imaging triage of patients with acute ischemic stroke. Radiology 275:510–520. https://doi.org/10.1148/radiol.15142256

    Article  PubMed  Google Scholar 

  6. Goyal M, Demchuk AM, Menon BK, Eesa M, Rempel JL, Thornton J, Roy D, Jovin TG, Willinsky RA, Sapkota BL, Dowlatshahi D, Frei DF, Kamal NR, Montanera WJ, Poppe AY, Ryckborst KJ, Silver FL, Shuaib A, Tampieri D, Williams D, Bang OY, Baxter BW, Burns PA, Choe H, Heo JH, Holmstedt CA, Jankowitz B, Kelly M, Linares G, Mandzia JL, Shankar J, Sohn SI, Swartz RH, Barber PA, Coutts SB, Smith EE, Morrish WF, Weill A, Subramaniam S, Mitha AP, Wong JH, Lowerison MW, Sajobi TT, Hill MD, ESCAPE Trial Investigators (2015) Randomized assessment of rapid endovascular treatment of ischemic stroke. N Engl J Med 372:1019–1030. https://doi.org/10.1056/NEJMoa1414905

    CAS  Article  PubMed  Google Scholar 

  7. Mori T, Iwata T, Miyazaki Y et al (2014) Rapid imaging protocol in acute stroke by area detector CT. ECR. https://doi.org/10.1594/ecr2014/C-1699:C-1699

  8. Saver JL, Goyal M, van der Lugt A, Menon BK, Majoie CB, Dippel DW, Campbell BC, Nogueira RG, Demchuk AM, Tomasello A, Cardona P, Devlin TG, Frei DF, du Mesnil de Rochemont R, Berkhemer OA, Jovin TG, Siddiqui AH, van Zwam W, Davis SM, Castaño C, Sapkota BL, Fransen PS, Molina C, van Oostenbrugge R, Chamorro Á, Lingsma H, Silver FL, Donnan GA, Shuaib A, Brown S, Stouch B, Mitchell PJ, Davalos A, Roos YB, Hill MD, HERMES Collaborators (2016) Time to treatment with endovascular thrombectomy and outcomes from ischemic stroke: a meta-analysis. JAMA 316:1279–1288. https://doi.org/10.1001/jama.2016.13647

    Article  PubMed  Google Scholar 

  9. Mori T, Tanno Y, Yoshioka K et al (2018) Rapid imaging protocol of the bilateral MCA territories in acute stroke by 80 row area detector CT. Neuroradiology 60(487):481–P423. https://doi.org/10.1007/s00234-018-2057-6

    Article  Google Scholar 

Download references

Funding

This research did not receive any specific grant from funding agencies in the public, commercial, or not-for-profit sectors.

Author information

Affiliations

Authors

Contributions

Takahisa Mori, MD, had full access to all data in the study and takes responsibility for the integrity of the data and accuracy of the data analysis.

Study concept and design: T. Mori

Acquisition of data: T. Mori and K. Yoshioka

Interpretation of data and statistical analysis: T. Mori

Drafting of the manuscript: T. Mori

Critical revision of the manuscript for important intellectual content: T. Mori

Final approval of the submitted version: T. Mori and K. Yoshioka

Corresponding author

Correspondence to Takahisa Mori.

Ethics declarations

Conflict of interest

The authors declare that they have no conflicts of interest.

Ethical approval

All procedures performed in the studies involving human participants were in accordance with the ethical standards of the institutional and/or national research committee and with the 1964 Helsinki Declaration and its later amendments or comparable ethical standards.

Informed consent

Informed consent was obtained from all individual participants included in the study.

Additional information

Publisher’s note

Springer Nature remains neutral with regard to jurisdictional claims in published maps and institutional affiliations.

Rights and permissions

Reprints and Permissions

About this article

Verify currency and authenticity via CrossMark

Cite this article

Mori, T., Yoshioka, K. A practical protocol for shortening reconstruction time of volumetric data and imaging bilateral middle cerebral arteries for thrombectomy in acute ischemic stroke using an 80-row computed tomography scanner. Neuroradiology 62, 97–100 (2020). https://doi.org/10.1007/s00234-019-02306-w

Download citation

  • Received:

  • Accepted:

  • Published:

  • Issue Date:

  • DOI: https://doi.org/10.1007/s00234-019-02306-w

Keywords

  • Area-detector computed tomography
  • Middle cerebral artery
  • Reconstruction
  • Stroke
  • Volumetric scanning
  • Volumetric data