Skip to main content

Comparative analysis of the intervertebral disc signal and annulus changes between immediate and 1-year postoperative MRI after transforaminal endoscopic lumbar discectomy and annuloplasty

Abstract

Purpose

Postoperative magnetic resonance imaging (MRI) after microdiscectomy for lumbar disc herniation frequently shows spinal canal compression by the remaining annulus, which gradually decreases over time. Transforaminal endoscopic lumbar discectomy (TELD) can remove the herniation with minimal trauma to surrounding soft tissue. We aim to identify this remodeling of annulus fibrosus and the change of disc signal after TELD.

Methods

We reviewed patients who underwent TELD. Clinical data obtained were Oswestry disability index (ODI) and visual analog scale (VAS) for back and leg pain. Residual mass signal and disc protrusion size were measured in postoperative MRI.

Results

Thirty-one patients were reviewed. The mean age was 38.3 ± 14.4 years (range 18 to 76 years). ODI was 18.2% at the first follow-up and 12.7% at the last follow-up (p = 0.009). VAS for back and leg pain were 2.0 and 1.0 without significant change during follow-up. Disc protrusion size was reduced by 67.7% at the 1-year follow-up (p < 0.001). The residual mass signals at postoperative day 1 were high in 12 cases, intermediate in 18 cases, and low in1 case. The signal intensity was correlated with the percentage of disc protrusion reduction (p = 0.048). The percentage of disc protrusion reduction correlated with the last follow-up ODI (p = 0.018).

Conclusion

One year after TELD, annulus remodeling was observed with an average of 67.7% of size reduction. The high signal intensity of residual mass at day 1 correlated with disc protrusion reduction at follow-up MRI. The percentage of disc protrusion reduction associated with the ODI at the final follow-up.

This is a preview of subscription content, access via your institution.

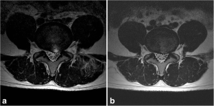
Fig. 1
Fig. 2
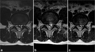
Fig. 3
Fig. 4
Fig. 5

References

  1. Kerr D, Zhao W, Lurie JD (2015) What are long-term predictors of outcomes for lumbar disc herniation? A randomized and observational study. Clin Orthop Relat Res 473(6):1920–1930. https://doi.org/10.1007/s11999-014-3803-7

    Article  PubMed  Google Scholar 

  2. Alvi MA, Kerezoudis P, Wahood W, Goyal A, Bydon M (2018) Operative approaches for lumbar disc herniation: a systematic review and multiple treatment meta-analysis of conventional and minimally invasive surgeries. World Neurosurg 114:391–407 e392. https://doi.org/10.1016/j.wneu.2018.02.156

    Article  PubMed  Google Scholar 

  3. Eun SS, Lee SH, Sabal LA (2016) Long-term follow-up results of percutaneous endoscopic lumbar discectomy. Pain Physician 19(8):E1161–E1166

    PubMed  Google Scholar 

  4. Weber C, Kvistad KA, Moholdt VA, Nygaard OP, Solheim O (2016) Repeated 3.0 tesla magnetic resonance imaging after clinically successful lumbar disc surgery. Spine (Phila Pa 1976) 41(3):239–245. https://doi.org/10.1097/BRS.0000000000001189

    Article  Google Scholar 

  5. Babar S, Saifuddin A (2002) MRI of the post-discectomy lumbar spine. Clin Radiol 57(11):969–981

    Article  CAS  PubMed  Google Scholar 

  6. Nakano M, Matsui H, Ishihara H, Kawaguchi Y, Gejo R, Hirano N (2001) Serial changes of herniated intervertebral discs after posterior lumbar discectomy: the relation between magnetic resonance imaging of the postoperative intervertebral discs and clinical outcome. J Spinal Disord 14(4):293–300

    Article  CAS  PubMed  Google Scholar 

  7. Dina TS, Boden SD, Davis DO (1995) Lumbar spine after surgery for herniated disk: imaging findings in the early postoperative period. AJR Am J Roentgenol 164(3):665–671. https://doi.org/10.2214/ajr.164.3.7863890

    Article  CAS  PubMed  Google Scholar 

  8. Wang Y, Luo G, Wang J, Zhu M, Li C, Teng H (2018) Early postoperative magnetic resonance imaging findings after percutaneous endoscopic lumbar discectomy and their correlations with clinical outcomes. World Neurosurg 111:e241–e249. https://doi.org/10.1016/j.wneu.2017.12.032

    Article  PubMed  Google Scholar 

  9. Rönnberg K, Lind B, Zoega B, Gadeholt-Göthlin G, Halldin K, Gellerstedt M, Brisby H (2008) Peridural scar and its relation to clinical outcome: a randomised study on surgically treated lumbar disc herniation patients. Eur Spine J 17(12):1714–1720. https://doi.org/10.1007/s00586-008-0805-8

    Article  PubMed  PubMed Central  Google Scholar 

  10. Choi CK, Shim HK, Hwang JS, Shin SH, Lee DC, Jung HH, Park HA, Park CK (2018) Comparison of surgical invasiveness between microdiscectomy and 3 different endoscopic discectomy techniques for lumbar disc herniation. World Neurosurgery. https://doi.org/10.1016/j.wneu.2018.05.085

  11. Ahn SS, Kim SH, Kim DW, Lee BH (2016) Comparison of outcomes of percutaneous endoscopic lumbar discectomy and open lumbar microdiscectomy for young adults: a retrospective matched cohort study. World Neurosurg 86:250–258. https://doi.org/10.1016/j.wneu.2015.09.047

    Article  PubMed  Google Scholar 

  12. Ruetten S, Komp M, Merk H, Godolias G (2008) Full-endoscopic interlaminar and transforaminal lumbar discectomy versus conventional microsurgical technique: a prospective, randomized, controlled study. Spine (Phila Pa 1976) 33(9):931–939. https://doi.org/10.1097/BRS.0b013e31816c8af7

    Article  Google Scholar 

  13. Gibson JNA, Subramanian AS, Scott CEH (2017) A randomised controlled trial of transforaminal endoscopic discectomy vs microdiscectomy. Eur Spine J 26(3):847–856. https://doi.org/10.1007/s00586-016-4885-6

    Article  PubMed  Google Scholar 

  14. Kamper SJ, Ostelo RW, Rubinstein SM, Nellensteijn JM, Peul WC, Arts MP, van Tulder MW (2014) Minimally invasive surgery for lumbar disc herniation: a systematic review and meta-analysis. Eur Spine J 23(5):1021–1043. https://doi.org/10.1007/s00586-013-3161-2

    Article  PubMed  Google Scholar 

  15. Ethier DB, Cain JE, Yaszemski MJ, Glover JM, Klucznik RP, Pyka RE, Lauerman WC (1994) The influence of anulotomy selection on disc competence. A radiographic, biomechanical, and histologic analysis. Spine (Phila Pa 1976) 19(18):2071–2076

    Article  CAS  Google Scholar 

  16. Ozer AF, Oktenoglu T, Sasani M, Bozkus H, Canbulat N, Karaarslan E, Sungurlu SF, Sarioglu AC (2006) Preserving the ligamentum flavum in lumbar discectomy: a new technique that prevents scar tissue formation in the first 6 months postsurgery. Neurosurgery 59(1 Suppl 1):ONS126–133; discussion ONS126–133. https://doi.org/10.1227/01.NEU.0000220078.90175.E6

    Article  Google Scholar 

  17. Tsou PM, Alan Yeung C, Yeung AT (2004) Posterolateral transforaminal selective endoscopic discectomy and thermal annuloplasty for chronic lumbar discogenic pain: a minimal access visualized intradiscal surgical procedure. Spine J 4(5):564–573. https://doi.org/10.1016/j.spinee.2004.01.014

    Article  PubMed  Google Scholar 

  18. Choi KC, Kim JS, Kang BU, Lee CD, Lee SH (2011) Changes in back pain after percutaneous endoscopic lumbar discectomy and annuloplasty for lumbar disc herniation: a prospective study. Pain Med 12(11):1615–1621. https://doi.org/10.1111/j.1526-4637.2011.01250.x

    Article  PubMed  Google Scholar 

  19. Mysliwiec LW, Cholewicki J, Winkelpleck MD, Eis GP (2010) MSU classification for herniated lumbar discs on MRI: toward developing objective criteria for surgical selection. Eur Spine J 19(7):1087–1093. https://doi.org/10.1007/s00586-009-1274-4

    Article  PubMed  PubMed Central  Google Scholar 

  20. Bron JL, Helder MN, Meisel HJ, Van Royen BJ, Smit TH (2009) Repair, regenerative and supportive therapies of the annulus fibrosus: achievements and challenges. Eur Spine J 18(3):301–313. https://doi.org/10.1007/s00586-008-0856-x

    Article  PubMed  Google Scholar 

  21. Liu WC, Choi G, Lee SH, Kwon AM, Kim KH, Park J, Park HS (2018) Epidural fluid collection after percutaneous endoscopic lumbar discectomy. World Neurosurg 111:e756–e763. https://doi.org/10.1016/j.wneu.2017.12.154

    Article  PubMed  Google Scholar 

  22. Kang SH, Park SW (2011) Symptomatic post-discectomy pseudocyst after endoscopic lumbar discectomy. J Korean Neurosurg Soc 49(1):31–36. https://doi.org/10.3340/jkns.2011.49.1.31

    Article  PubMed  PubMed Central  Google Scholar 

  23. Masui T, Yukawa Y, Nakamura S, Kajino G, Matsubara Y, Kato F, Ishiguro N (2005) Natural history of patients with lumbar disc herniation observed by magnetic resonance imaging for minimum 7 years. J Spinal Disord Tech 18(2):121–126

    Article  PubMed  Google Scholar 

  24. Barth M, Diepers M, Weiss C, Thomé C (2008) Two-year outcome after lumbar microdiscectomy versus microscopic sequestrectomy: part 2: radiographic evaluation and correlation with clinical outcome. Spine 33(3):273–279. https://doi.org/10.1097/BRS.0b013e31816201a6

    Article  PubMed  Google Scholar 

  25. Tonosu J, Takeshita K, Hara N, Matsudaira K, Kato S, Masuda K, Chikuda H (2012) The normative score and the cut-off value of the Oswestry disability index (ODI). Eur Spine J 21(8):1596–1602. https://doi.org/10.1007/s00586-012-2173-7

    Article  PubMed  PubMed Central  Google Scholar 

Download references

Funding

No funding was received for this study.

Author information

Affiliations

Authors

Corresponding author

Correspondence to Jin-Sung Kim.

Ethics declarations

Conflict of interest

J-SK consults for RIWOspine, GmbH and Elliquence, LLC.

Ethical approval

All procedures performed in studies involving human participants were in accordance with the ethical standards of the institutional and/or national research committee and with the 1964 Helsinki declaration and its later amendments or comparable ethical standards.

Informed consent

Informed consent was obtained from all individual participants included in the study.

Additional information

Publisher’s note

Springer Nature remains neutral with regard to jurisdictional claims in published maps and institutional affiliations.

Rights and permissions

Reprints and Permissions

About this article

Verify currency and authenticity via CrossMark

Cite this article

Mahatthanatrakul, A., Kotheeranurak, V., Lin, GX. et al. Comparative analysis of the intervertebral disc signal and annulus changes between immediate and 1-year postoperative MRI after transforaminal endoscopic lumbar discectomy and annuloplasty. Neuroradiology 61, 411–419 (2019). https://doi.org/10.1007/s00234-019-02174-4

Download citation

  • Received:

  • Accepted:

  • Published:

  • Issue Date:

  • DOI: https://doi.org/10.1007/s00234-019-02174-4

Keywords

  • Transforaminal endoscopic lumbar discectomy
  • Annuloplasty
  • Magnetic resonance imaging
  • Annulus fibrosus remodeling
  • Intervertebral disc signal