Skip to main content

High-resolution MRI using orbit surface coils for the evaluation of metastatic risk factors in 143 children with retinoblastoma

Part 1: MRI vs. histopathology

Abstract

Introduction

A reliable detection of metastatic risk factors is important for children with retinoblastoma to choose the right therapeutic regimen. First studies using high-resolution magnetic resonance imaging (MRI) with orbit surface coils were promising. The aim of this study was therefore to evaluate the ability of high-resolution MRI to detect metastatic and especially advanced metastatic risk factors in a large group of children with retinoblastoma.

Methods

One hundred forty-three consecutive children with retinoblastoma (148 enucleated eyes, 64 girls, 79 boys, mean age 19.7 ± 15.3) who received pretherapeutical high-resolution MRI with orbit surface coils on 1.5 T MR scanner systems between 2007 and 2012 and subsequent primary enucleation within 14 days were included in this retrospective study. Image analysis was performed by two neuroradiologists experienced in ocular imaging in consensus. Histopathology served as gold standard.

Results

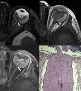
Sensitivity/specificity for the detection of metastatic risk factors using high-resolution MRI with orbit surface coils were 60 %/88.7 % for postlaminar optic nerve infiltration, 65.5 %/95.6 % for choroidal invasion, 100 %/99.3 % for scleral invasion, and 100 %/100 % for peribulbar fat invasion, respectively. The results increased for the detection of advanced metastatic risk factors, 81.8 %/89.1 % for deep postlaminar optic nerve infiltration, 70.6 %/97.6 % for massive choroidal invasion.

Conclusions

High-resolution MRI is clinically valuable for the detection of metastatic, especially of advanced metastatic risk factors in children with retinoblastoma.

This is a preview of subscription content, access via your institution.

Fig. 1
Fig. 2
Fig. 3
Fig. 4

References

  1. Broaddus E, Topham A, Singh AD (2009) Incidence of retinoblastoma in the USA: 1975–2004. Br J Ophthalmol 93:21–23

    CAS  Article  PubMed  Google Scholar 

  2. Seregard S, Lundell G, Svedberg H, Kivela T (2004) Incidence of retinoblastoma from 1958 to 1998 in Northern Europe: advantages of birth cohort analysis. Ophthalmology 111:1228–1232

    Article  PubMed  Google Scholar 

  3. Armenian SH, Panigrahy A, Murphree AL, Jubran RF (2008) Management of retinoblastoma with proximal optic nerve enhancement on MRI at diagnosis. Pediatr Blood Cancer 51:479–484

    Article  PubMed  Google Scholar 

  4. Narang S, Mashayekhi A, Rudich D, Shields CL (2012) Predictors of long-term visual outcome after chemoreduction for management of intraocular retinoblastoma. Clin Exp Ophthalmol 40:736–742

    Article  Google Scholar 

  5. Rodriguez-Galindo C, Chantada GL, Haik BG, Wilson MW (2007) Treatment of retinoblastoma: current status and future perspectives. Curr Treat Options Neurol 9:294–307

    Article  PubMed  Google Scholar 

  6. Shields CL, Shields JA (2010) Retinoblastoma management: advances in enucleation, intravenous chemoreduction, and intra-arterial chemotherapy. Curr Opin Ophthalmol 21:203–212

    Article  PubMed  Google Scholar 

  7. Shields CL, Shields JA, Baez K, Cater JR, De Potter P (1994) Optic nerve invasion of retinoblastoma. Metastatic potential and clinical risk factors. Cancer 73:692–698

    CAS  Article  PubMed  Google Scholar 

  8. Chantada GL, Casco F, Fandino AC, Galli S, Manzitti J, Scopinaro M, Schvartzman E, de Davila MT (2007) Outcome of patients with retinoblastoma and postlaminar optic nerve invasion. Ophthalmology 114:2083–2089

    Article  PubMed  Google Scholar 

  9. Chantada GL, Dunkel IJ, Antoneli CB, de Davila MT, Arias V, Beaverson K, Fandino AC, Chojniak M, Abramson DH (2007) Risk factors for extraocular relapse following enucleation after failure of chemoreduction in retinoblastoma. Pediatr Blood Cancer 49:256–260

    Article  PubMed  Google Scholar 

  10. Uusitalo MS, Van Quill KR, Scott IU, Matthay KK, Murray TG, O'Brien JM (2001) Evaluation of chemoprophylaxis in patients with unilateral retinoblastoma with high-risk features on histopathologic examination. Arch Ophthalmol 119:41–48

    CAS  Article  PubMed  Google Scholar 

  11. Bosaleh A, Sampor C, Solernou V, Fandino A, Dominguez J, de Davila MT, Chantada GL (2012) Outcome of children with retinoblastoma and isolated choroidal invasion. Arch Ophthalmol 130:724–729

    Article  PubMed  Google Scholar 

  12. Eagle RC Jr (2009) High-risk features and tumor differentiation in retinoblastoma: a retrospective histopathologic study. Arch Pathol Lab Med 133:1203–1209

    PubMed  Google Scholar 

  13. Kim CJ, Chi JG, Choi HS, Shin HY, Ahn HS, Yoo YS, Chang KY (1999) Proliferation not apoptosis as a prognostic indicator in retinoblastoma. Virchows Arch 434:301–305

    CAS  Article  PubMed  Google Scholar 

  14. Chong EM, Coffee RE, Chintagumpala M, Hurwitz RL, Hurwitz MY, Chevez-Barrios P (2006) Extensively necrotic retinoblastoma is associated with high-risk prognostic factors. Arch Pathol Lab Med 130:1669–1672

    PubMed  Google Scholar 

  15. Khelfaoui F, Validire P, Auperin A, Quintana E, Michon J, Pacquement H, Desjardins L, Asselain B, Schlienger P, Vielh P (1996) Histopathologic risk factors in retinoblastoma: a retrospective study of 172 patients treated in a single institution. Cancer 77:1206–1213

    CAS  Article  PubMed  Google Scholar 

  16. Broaddus E, Topham A, Singh AD (2009) Survival with retinoblastoma in the USA: 1975–2004. Br J Ophthalmol 93:24–27

    CAS  Article  PubMed  Google Scholar 

  17. Lumbroso-Le Rouic L, Aerts I, Levy-Gabriel C, Dendale R, Sastre X, Esteve M, Asselain B, Bours D, Doz F, Desjardins L (2008) Conservative treatments of intraocular retinoblastoma. Ophthalmology 115:1405–1410, 1410.e1-2

    Article  PubMed  Google Scholar 

  18. Lee V, Hungerford JL, Bunce C, Ahmed F, Kingston JE, Plowman PN (2003) Globe conserving treatment of the only eye in bilateral retinoblastoma. Br J Ophthalmol 87:1374–1380

    CAS  Article  PubMed  PubMed Central  Google Scholar 

  19. Brisse HJ, Guesmi M, Aerts I et al (2007) Relevance of CT and MRI in retinoblastoma for the diagnosis of postlaminar invasion with normal-size optic nerve: a retrospective study of 150 patients with histological comparison. Pediatr Radiol 37:649–656

    Article  PubMed  Google Scholar 

  20. de Graaf P, Goricke S, Rodjan F, Galluzzi P, Maeder P, Castelijns JA, Brisse HJ, on behalf of the European Retinoblastoma Imaging Collaboration (ERIC) (2012) Guidelines for imaging retinoblastoma: imaging principles and MRI standardization. Pediatr Radiol 42:2–14

    Article  PubMed  PubMed Central  Google Scholar 

  21. De Jong MC, De Graaf P, Noij DP, Goricke S, Maeder P, Galluzzi P, Brisse HJ, Moll AC, Castelijns JA, European Retinoblastoma Imaging Collaboration (ERIC) (2014) Diagnostic performance of magnetic resonance imaging and computed tomography for advanced retinoblastoma: a systematic review and meta-analysis. Ophthalmology 121:1109–1118

    Article  PubMed  Google Scholar 

  22. Lemke AJ, Kazi I, Mergner U et al (2007) Retinoblastoma—MR appearance using a surface coil in comparison with histopathological results. Eur Radiol 17:49–60

    Article  PubMed  Google Scholar 

  23. Wilson MW, Rodriguez-Galindo C, Billups C, Haik BG, Laningham F, Patay Z (2009) Lack of correlation between the histologic and magnetic resonance imaging results of optic nerve involvement in eyes primarily enucleated for retinoblastoma. Ophthalmology 116:1558–1563

    Article  PubMed  Google Scholar 

  24. Chawla B, Sharma S, Sen S, Azad R, Bajaj MS, Kashyap S, Pushker N, Ghose S (2012) Correlation between clinical features, magnetic resonance imaging, and histopathologic findings in retinoblastoma: a prospective study. Ophthalmology 119:850–856

    Article  PubMed  Google Scholar 

  25. de Graaf P, Barkhof F, Moll AC, Imhof SM, Knol DL, van der Valk P, Castelijns JA (2005) Retinoblastoma: MR imaging parameters in detection of tumor extent. Radiology 235:197–207

    Article  PubMed  Google Scholar 

  26. Song KD, Eo H, Kim JH, Yoo SY, Jeon TY (2012) Can preoperative MR imaging predict optic nerve invasion of retinoblastoma? Eur J Radiol 81:4041–4045

    Article  PubMed  Google Scholar 

  27. Lee BJ, Kim JH, Kim DH, Park SH, Yu YS (2012) The validity of routine brain MRI in detecting post-laminar optic nerve involvement in retinoblastoma. Br J Ophthalmol 96:1237–1241

    Article  PubMed  Google Scholar 

  28. Schueler AO, Hosten N, Bechrakis NE, Lemke AJ, Foerster P, Felix R, Foerster MH, Bornfeld N (2003) High resolution magnetic resonance imaging of retinoblastoma. Br J Ophthalmol 87:330–335

    CAS  Article  PubMed  PubMed Central  Google Scholar 

  29. Sirin S, Schlamann M, Metz KA, Bornfeld N, Schweiger B, Holdt M, Schuendeln MM, Lohbeck S, Krasny A, Goericke SL (2013) Diagnostic image quality of gadolinium-enhanced T1-weighted MRI with and without fat saturation in children with retinoblastoma. Pediatr Radiol 43:716–724

    Article  PubMed  Google Scholar 

  30. Brisse HJ, de Graaf P, Galluzzi P et al (2014) Assessment of early-stage optic nerve invasion in retinoblastoma using high-resolution 1.5 Tesla MRI with surface coils: a multicentre, prospective accuracy study with histopathological correlation. Eur Radiol. doi:10.1007/s00330-014-3514-1, epub ahead of print

    Google Scholar 

  31. Sirin S, Schlamann M, Metz KA, Bornfeld N, Schweiger B, Holdt M, Temming P, Schuendeln MM, Goericke SL (2015) High-resolution MRI using orbit surface coils for the evaluation of metastatic risk factors in 143 children with retinoblastoma : Part 2: new vs. old imaging concept. Neuroradiology. doi:10.1007/s00234-015-1538-0

  32. Rauschecker AM, Patel CV, Yeom KW, Eisenhut CA, Gawande RS, O'Brien JM, Ebrahimi KB, Daldrup-Link HE (2012) High-resolution MR imaging of the orbit in patients with retinoblastoma. Radiographics 32:1307–1326

    Article  PubMed  Google Scholar 

  33. Linn Murphree A (2005) Intraocular retinoblastoma: the case for a new group classification. Ophthalmol Clin N Am 18:41–53

    CAS  Article  Google Scholar 

  34. Shields CL, Mashayekhi A, Au AK, Czyz C, Leahey A, Meadows AT, Shields JA (2006) The International Classification of Retinoblastoma predicts chemoreduction success. Ophthalmology 113:2276–2280

    Article  PubMed  Google Scholar 

  35. Gizewski ER, Wanke I, Jurklies C, Gungor AR, Forsting M (2005) T1 Gd-enhanced compared with CISS sequences in retinoblastoma: superiority of T1 sequences in evaluation of tumour extension. Neuroradiology 47:56–61

    Article  PubMed  Google Scholar 

  36. Khurana A, Eisenhut CA, Wan W, Ebrahimi KB, Patel C, O'Brien JM, Yeom K, Daldrup-Link HE (2012) Comparison of the diagnostic value of MR imaging and ophthalmoscopy for the staging of retinoblastoma. Eur Radiol 23:1271–1280

    Article  PubMed  Google Scholar 

  37. Sastre X, Chantada GL, Doz F, Wilson MW, de Davila MT, Rodriguez-Galindo C, Chintagumpala M, Chevez-Barrios P, International Retinoblastoma Staging Working Group (2009) Proceedings of the consensus meetings from the International Retinoblastoma Staging Working Group on the pathology guidelines for the examination of enucleated eyes and evaluation of prognostic risk factors in retinoblastoma. Arch Pathol Lab Med 133:1199–1202

    PubMed  Google Scholar 

  38. Messmer EP, Heinrich T, Hopping W, de Sutter E, Havers W, Sauerwein W (1991) Risk factors for metastases in patients with retinoblastoma. Ophthalmology 98:136–141

    CAS  Article  PubMed  Google Scholar 

  39. Shields CL, Shields JA, Baez KA, Cater J, De Potter PV (1993) Choroidal invasion of retinoblastoma: metastatic potential and clinical risk factors. Br J Ophthalmol 77:544–548

    CAS  Article  PubMed  PubMed Central  Google Scholar 

  40. Barkhof F, Smeets M, van der Valk P, Tan KE, Hoogenraad F, Peeters J, Valk J (1997) MR imaging in retinoblastoma. Eur Radiol 7:726–731

    CAS  Article  PubMed  Google Scholar 

  41. Wilson MW, Qaddoumi I, Billups C, Haik BG, Rodriguez-Galindo C (2011) A clinicopathological correlation of 67 eyes primarily enucleated for advanced intraocular retinoblastoma. Br J Ophthalmol 95:553–558

    Article  PubMed  Google Scholar 

  42. Rodjan F, de Graaf P, Brisse HJ et al (2012) Trilateral retinoblastoma: neuroimaging characteristics and value of routine brain screening on admission. J Neurooncol 109(3):535–544

    Article  PubMed  PubMed Central  Google Scholar 

  43. de Jong MC, Kors WA, de Graaf P, Castelijns JA, Kivela T, Moll AC (2014) Trilateral retinoblastoma: a systematic review and meta-analysis. Lancet Oncol 15:1157–1167

    Article  PubMed  Google Scholar 

Download references

Ethical standards and patient consent

We declare that all human and animal studies have been approved by the Ethics Committee of the University of Duisburg-Essen and have therefore been performed in accordance with the ethical standards laid down in the 1964 Declaration of Helsinki and its later amendments. We declare that all patients gave informed consent prior to inclusion in this study.

Conflict of interest

We declare that we have no conflict of interest.

Author information

Affiliations

Authors

Corresponding author

Correspondence to Selma Sirin.

Rights and permissions

Reprints and Permissions

About this article

Verify currency and authenticity via CrossMark

Cite this article

Sirin, S., Schlamann, M., Metz, K.A. et al. High-resolution MRI using orbit surface coils for the evaluation of metastatic risk factors in 143 children with retinoblastoma. Neuroradiology 57, 805–814 (2015). https://doi.org/10.1007/s00234-015-1544-2

Download citation

  • Received:

  • Accepted:

  • Published:

  • Issue Date:

  • DOI: https://doi.org/10.1007/s00234-015-1544-2

Keywords

  • MRI
  • Retinoblastoma
  • Tumor extension
  • Histology
  • Eye