Skip to main content

Magnetic resonance imaging spectrum of medulloblastoma

Abstract

Introduction

Two medulloblastoma variants were recently added to the WHO classification of CNS tumours. We retrospectively analysed the imaging findings of 37 classic and 27 cases of variant medulloblastomas to identify imaging characteristics that might suggest a particular MB subtype.

Methods

Sixty-four patients from three institutions were included. Location, tumour margins, signal intensities on conventional MRI, enhancement pattern, the presence of haemorrhage, calcifications and hydrocephalus were recorded and analysed. Signal characteristics on diffusion-weighted MR images and MR spectra were evaluated when available.

Results

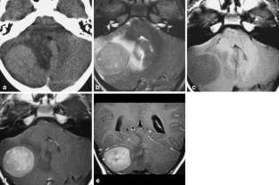
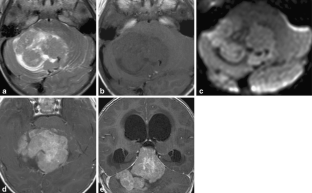
Thirty-seven classic type of MB (CMB), twelve cases of desmoplastic/nodular medulloblastoma (DMB), nine medulloblastomas with extensive nodularity (MB-EN), five cases of anaplastic and one of large-cell medulloblastoma were included. Fifty of 64 tumours were located in the 4th ventricle region. On T2WI, CMB were all hyperintense, whereas DMB and MB-EN showed isointensity in up to 66%. One third of the classic MB showed only subtle marginal or linear enhancement. All medulloblastoma variants showed marked enhancement.

Conclusion

The results of our study suggest: (a) an age-dependent distribution of MB variants, with DMB and MB-EN more common in younger children; (b) a female predominance in DMB; (c) a more common off-midline location in DMB (50%) and MB-EN (33%) variants.

This is a preview of subscription content, access via your institution.

Fig. 1
Fig. 2
Fig. 3
Fig. 4
Fig. 5
Fig. 6

References

  1. Louis DN, Ohgaki H, Wiestler OD, Cavenee WK, Burger PC, Jouvet A, Scheithauer BW, Kleihues P (2007) The 2007 who classification of tumours of the central nervous system. Acta Neuropathol 114(2):97–109. doi:10.1007/s00401-007-0243-4

    PubMed  Article  Google Scholar 

  2. Rubinstein LJ, Northfield DW (1964) The medulloblastoma and the so-called “Arachnoidal cerebellar sarcoma”. Brain 87:379–412

    PubMed  Article  CAS  Google Scholar 

  3. Nelson M, Diebler C, Forbes WS (1991) Paediatric medulloblastoma: atypical ct features at presentation in the siop ii trial. Neuroradiology 33(2):140–142

    PubMed  Article  CAS  Google Scholar 

  4. Sandhu A, Kendall B (1987) Computed tomography in management of medulloblastomas. Neuroradiology 29(5):444–452

    PubMed  Article  CAS  Google Scholar 

  5. Meyers SP, Kemp SS, Tarr RW (1992) MR imaging features of medulloblastomas. AJR Am J Roentgenol 158(4):859–865

    PubMed  CAS  Google Scholar 

  6. Mueller DP, Moore SA, Sato Y, Yuh WT (1992) MRI spectrum of medulloblastoma. Clin Imaging 16(4):250–255

    PubMed  Article  CAS  Google Scholar 

  7. Giangaspero F, Perilongo G, Fondelli MP, Brisigotti M, Carollo C, Burnelli R, Burger PC, Garre ML (1999) Medulloblastoma with extensive nodularity: a variant with favorable prognosis. J Neurosurg 91(6):971–977

    PubMed  Article  CAS  Google Scholar 

  8. Garre ML, Cama A, Bagnasco F, Morana G, Giangaspero F, Brisigotti M, Gambini C, Forni M, Rossi A, Haupt R, Nozza P, Barra S, Piatelli G, Viglizzo G, Capra V, Bruno W, Pastorino L, Massimino M, Tumolo M, Fidani P, Dallorso S, Schumacher RF, Milanaccio C, Pietsch T (2009) Medulloblastoma variants: age-dependent occurrence and relation to gorlin syndrome—a new clinical perspective. Clin Cancer Res 15(7):2463–2471. doi:10.1158/1078-0432.CCR-08-2023

    PubMed  Article  Google Scholar 

  9. Eran A, Ozturk A, Aygun N, Izbudak I (2010) Medulloblastoma: atypical CT and MRI findings in children. Pediatr Radiol 40(7):1254–1262. doi:10.1007/s00247-009-1429-9

    PubMed  Article  Google Scholar 

  10. Kaderali Z, Lamberti-Pasculli M, Rutka JT (2009) The changing epidemiology of paediatric brain tumours: a review from the hospital for sick children. Childs Nerv Syst 25(7):787–793. doi:10.1007/s00381-008-0771-9

    PubMed  Article  Google Scholar 

  11. Koral K, Gargan L, Bowers DC, Gimi B, Timmons CF, Weprin B, Rollins NK (2008) Imaging characteristics of atypical teratoid-rhabdoid tumor in children compared with medulloblastoma. AJR Am J Roentgenol 190(3):809–814. doi:10.2214/AJR.07.3069

    PubMed  Article  Google Scholar 

  12. Levy RA, Blaivas M, Muraszko K, Robertson PL (1997) Desmoplastic medulloblastoma: MR findings. AJNR Am J Neuroradiol 18(7):1364–1366

    PubMed  CAS  Google Scholar 

  13. Suresh TN, Santosh V, Yasha TC, Anandh B, Mohanty A, Indiradevi B, Sampath S, Shankar SK (2004) Medulloblastoma with extensive nodularity: a variant occurring in the very young-clinicopathological and immunohistochemical study of four cases. Childs Nerv Syst 20(1):55–60. doi:10.1007/s00381-003-0855-5

    PubMed  Article  CAS  Google Scholar 

  14. McManamy CS, Pears J, Weston CL, Hanzely Z, Ironside JW, Taylor RE, Grundy RG, Clifford SC, Ellison DW (2007) Nodule formation and desmoplasia in medulloblastomas—defining the nodular/desmoplastic variant and its biological behavior. Brain Pathol 17(2):151–164. doi:10.1111/j.1750-3639.2007.00058.x

    PubMed  Article  Google Scholar 

  15. Min HS, Lee YJ, Park K, Cho BK, Park SH (2006) Medulloblastoma: histopathologic and molecular markers of anaplasia and biologic behavior. Acta Neuropathol 112(1):13–20. doi:10.1007/s00401-006-0073-9

    PubMed  Article  CAS  Google Scholar 

  16. Giangaspero F, Rigobello L, Badiali M, Loda M, Andreini L, Basso G, Zorzi F, Montaldi A (1992) Large-cell medulloblastomas. A distinct variant with highly aggressive behavior. Am J Surg Pathol 16(7):687–693

    PubMed  Article  CAS  Google Scholar 

  17. Verma S, Tavare CJ, Gilles FH (2008) Histologic features and prognosis in pediatric medulloblastoma. Pediatr Dev Pathol 11(5):337–343. doi:10.2350/07-09-0353.1

    PubMed  Article  Google Scholar 

  18. Eberhart CG (2007) In search of the medulloblast: neural stem cells and embryonal brain tumors. Neurosurg Clin N Am 18(1):59–69. doi:10.1016/j.nec.2006.10.005, viii-ix

    PubMed  Article  Google Scholar 

  19. Perry A (2002) Medulloblastomas with favorable versus unfavorable histology: how many small blue cell tumor types are there in the brain? Adv Anat Pathol 9(6):345–350

    PubMed  Article  Google Scholar 

  20. Malheiros SM, Carrete H Jr, Stavale JN, Santos AJ, Borges LR, Guimaraes IF, Pelaez MP, Franco CM, Gabbai AA (2003) MRI of medulloblastoma in adults. Neuroradiology 45(7):463–467. doi:10.1007/s00234-003-1011-3

    PubMed  Article  CAS  Google Scholar 

  21. Menon G, Krishnakumar K, Nair S (2008) Adult medulloblastoma: clinical profile and treatment results of 18 patients. J Clin Neurosci 15(2):122–126. doi:10.1016/j.jocn.2007.06.007

    PubMed  Article  Google Scholar 

  22. Buhring U, Strayle-Batra M, Freudenstein D, Scheel-Walter HG, Kuker W (2002) MRI features of primary, secondary and metastatic medulloblastoma. Eur Radiol 12(6):1342–1348. doi:10.1007/s00330-001-1189-x

    PubMed  Article  CAS  Google Scholar 

  23. Koeller KK, Rushing EJ (2003) From the archives of the AFIP: medulloblastoma: a comprehensive review with radiologic-pathologic correlation. Radiographics 23(6):1613–1637. doi:10.1148/rg.236035168

    PubMed  Article  Google Scholar 

  24. Becker RL, Becker AD, Sobel DF (1995) Adult medulloblastoma: review of 13 cases with emphasis on MRI. Neuroradiology 37(2):104–108

    PubMed  Article  CAS  Google Scholar 

  25. Koci TM, Chiang F, Mehringer CM, Yuh WT, Mayr NA, Itabashi H, Pribram HF (1993) Adult cerebellar medulloblastoma: imaging features with emphasis on MR findings. AJNR Am J Neuroradiol 14(4):929–939

    PubMed  CAS  Google Scholar 

  26. Tortori-Donati P, Fondelli MP, Rossi A, Cama A, Caputo L, Andreussi L, Garre ML (1996) Medulloblastoma in children: CT and MRI findings. Neuroradiology 38(4):352–359

    PubMed  Article  CAS  Google Scholar 

  27. David KM, Casey AT, Hayward RD, Harkness WF, Phipps K, Wade AM (1997) Medulloblastoma: is the 5-year survival rate improving? A review of 80 cases from a single institution. J Neurosurg 86(1):13–21

    PubMed  Article  CAS  Google Scholar 

  28. Meyers SP, Wildenhain SL, Chang JK, Bourekas EC, Beattie PF, Korones DN, Davis D, Pollack IF, Zimmerman RA (2000) Postoperative evaluation for disseminated medulloblastoma involving the spine: contrast-enhanced MR findings, CSF cytologic analysis, timing of disease occurrence, and patient outcomes. AJNR Am J Neuroradiol 21(9):1757–1765

    PubMed  CAS  Google Scholar 

  29. Agrawal D, Singhal A, Hendson G, Durity FA (2007) Gyriform differentiation in medulloblastoma—a radiological predictor of histology. Pediatr Neurosurg 43(2):142–145. doi:10.1159/000098390

    PubMed  Article  Google Scholar 

  30. Rumboldt Z, Camacho DL, Lake D, Welsh CT, Castillo M (2006) Apparent diffusion coefficients for differentiation of cerebellar tumors in children. AJNR Am J Neuroradiol 27(6):1362–1369

    PubMed  CAS  Google Scholar 

  31. Kotsenas AL, Roth TC, Manness WK, Faerber EN (1999) Abnormal diffusion-weighted MRI in medulloblastoma: does it reflect small cell histology? Pediatr Radiol 29(7):524–526

    PubMed  Article  CAS  Google Scholar 

Download references

Acknowledgements

We thank the European Society of Neuroradiology—Diagnostic and Interventional (ESNR) for financial support. We thank Mrs. Mary McAllister for her help in editing the manuscript.

Conflict of interest

We declare that we have no conflict of interest.

Author information

Affiliations

Authors

Corresponding author

Correspondence to Julia Fruehwald-Pallamar.

Rights and permissions

Reprints and Permissions

About this article

Cite this article

Fruehwald-Pallamar, J., Puchner, S.B., Rossi, A. et al. Magnetic resonance imaging spectrum of medulloblastoma. Neuroradiology 53, 387–396 (2011). https://doi.org/10.1007/s00234-010-0829-8

Download citation

  • Received:

  • Accepted:

  • Published:

  • Issue Date:

  • DOI: https://doi.org/10.1007/s00234-010-0829-8

Keywords

  • Brain
  • Magnetic resonance imaging (MRI)
  • Medulloblastoma
  • Medulloblastoma variants