Skip to main content

Simple and complex dysembryoplastic neuroepithelial tumors (DNT) variants: clinical profile, MRI, and histopathology

Abstract

Introduction

Dysembryoplastic neuroepithelial tumors (DNTs) are long-term epilepsy associated tumors subdivided into simple and complex variants. The purpose of this study was to relate different DNT components identified on magnetic resonance imaging (MRI) to histopathological features and to test the hypothesis that glial nodules as a histopathological feature of complex variants induce an occasional glioma misdiagnosis.

Methods

Clinical, MRI, and histopathologic features of DNTs operated between 1988 and 2008 were reviewed.

Results

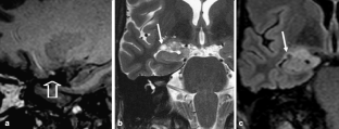
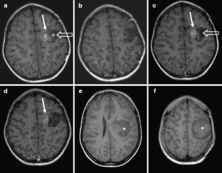
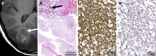
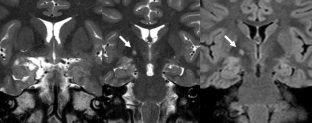
From a total of 61 DNTs, 48 simple and 13 complex variants were identified. Multiple or single pseudocysts in a cortical/subcortical location with small cysts sometimes separated from the tumor represented the glioneuronal element and were found in all DNTs. FLAIR hyperintense tissue was found between pseudocysts but—in neocortical DNTs—also circumscript in deeper tumor parts. Calcification and hemorrhages in this location occurred in four of 13 complex variants, and one of these patients was also the only one with tumor growth. Patients with complex variants had earlier seizure onset, and complex variants were more often located outside the temporal lobe. Although complex variants represented a higher diagnostic challenge, misdiagnoses also occurred in simple variants. One of five of DNTs showed contrast enhancement, which varied on follow-up studies with enhancing parts becoming nonenhancing and vice versa.

Conclusion

The glioneuronal element is readily identifiable on MRI and should be considered to support the DNT diagnosis. Complex DNT variants have a different clinical profile and a more variable histopathological and MRI appearance; however, misdiagnoses occasionally also occur in simple variants.

This is a preview of subscription content, access via your institution.

Fig. 1
Fig. 2
Fig. 3
Fig. 4
Fig. 5
Fig. 6
Fig. 7
Fig. 8

References

  1. Daumas-Duport C, Scheithauer BW, Chodkiewicz JP et al (1998) Dysembryoplastic neuroepithelial tumor: a surgically curable tumor of young patients with intractable partial seizures. Report of thirty-nine cases. Neurosurgery 23:545–556

    Article  Google Scholar 

  2. Daumas-Duport C, Pietsch T, Lantos PL (2000) Dysembryoplastic neuroepithelial tumor. In: Kleihues P, Cavenee K (eds) Pathology and genetic of tumors of the nervous system. IARC, Lyon, pp 03–104

    Google Scholar 

  3. Daumas-Duport C (1993) Dysembryoplastic neuroepithelial tumors. Brain Pathol 3:255–268. doi:10.1111/j.1750-3639.1993.tb00755.x

    Article  Google Scholar 

  4. Daumas-Duport C, Varlet P, Bacha S et al (1999) Dysembryoplastic neuroepithelial tumors: non specific histological forms–a study of 40 cases. J Neurooncol 41:267–280. doi:10.1023/A:1006193018140

    PubMed  Article  CAS  Google Scholar 

  5. Ostertun B, Wolf HK, Campos MG et al (1996) Dysembryoplastic neuroepithelial tumors: MR and CT evaluation. AJNR Am J Neuroradiol 17:419–430

    PubMed  CAS  Google Scholar 

  6. Urbach H (2005) Imaging of the epilepsies. Eur Radiol 15:494–500. doi:10.1007/s00330-004-2629-1

    PubMed  Article  CAS  Google Scholar 

  7. Stanescu Cosson R, Varlet P, Beauvon F et al (2001) Dysembryoplastic neuroepithelial tumors: CT, MR findings and imaging follow-up: a study of 53 cases. J Neuroradiol 28:230–240

    PubMed  CAS  Google Scholar 

  8. Yamasaki F, Kurisu K, Satoh K et al (2005) Apparent diffusion coefficient of human brain tumors at MR imaging. Radiology 235:985–991. doi:10.1148/radiol.2353031338

    PubMed  Article  Google Scholar 

  9. Fernandez C, Girard N, Paz Paredes A et al (2003) The usefulness of MR imaging in the diagnosis of dysembryoplastic neuroepithelial tumor in children: a study of 14 cases. AJNR Am J Neuroradiol 24:829–834

    PubMed  Google Scholar 

  10. Raymond AA, Halpin SF, Alsanjari N et al (1994) Dysembryoplastic neuroepithelial tumor. Features in 16 patients. Brain 117:461–475. doi:10.1093/brain/117.3.461

    PubMed  Article  Google Scholar 

  11. Kuroiwa T, Bergey GK, Rothman MI et al (1995) Radiologic appearance of the dysembryoplastic neuroepithelial tumor. Radiology 197:233–238

    PubMed  CAS  Google Scholar 

  12. Lee DY, Chung CK, Hwang YS et al (2000) Dysembryoplastic neuroepithelial tumor: radiological findings (including PET, SPECT, and MRS) and surgical strategy. J Neurooncol 47:167–174. doi:10.1023/A:1006401305247

    PubMed  Article  CAS  Google Scholar 

  13. Lee MC, Kang JY, Seol MB et al (2006) Clinical features and epileptogenesis of dysembryoplastic neuroepithelial tumor. Childs Nerv Syst 22:1611–1618. doi:10.1007/s00381-006-0162-z

    PubMed  Article  Google Scholar 

  14. Urbach H (2006) MRI of long-term epilepsy-associated tumors. Clin Neuroradiol 16:209–216. doi:10.1007/s00062-006-6025-x

    Article  Google Scholar 

  15. Bulakbasi N, Kocaoglu M, Sanal TH et al (2007) Dysembryoplastic neuroepithelial tumors: proton MR spectroscopy, diffusion and perfusion characteristics. Neuroradiology 49:805–812. doi:10.1007/s00234-007-0263-8

    PubMed  Article  Google Scholar 

  16. Louis DN, Ohgaki H, Wiestler OD Cavenee (eds) (2007) WHO classification of tumors of the central nervous system. IARC, Lyon

  17. Urbach H, Hattingen J, von Oertzen J et al (2004) MRI in the presurgical evaluation of patients with drug-resistant epilepsy. AJNR Am J Neuroradiol 25:919–926

    PubMed  Google Scholar 

  18. Kral T, Clusmann H, Urbach H et al (2002) Preoperative evaluation for epilepsy surgery (Bonn Algorithm). Zentralbl Neurochir 63:106–110. doi:10.1055/s-2002-35826

    PubMed  Article  CAS  Google Scholar 

  19. Engel J Jr, Van Ness PC, Rasmussen TB et al (1993) Outcome with respect to epileptic seizures. In: Engel J Jr (ed) Surgical treatment of the epilepsies. Raven, New York, pp 609–621

    Google Scholar 

  20. Luyken C, Blümcke I, Fimmers R et al (2003) The spectrum of long-term epilepsy associated tumors: long-term seizure and tumor outcome and neurosurgical aspects. Epilepsia 44:822–830. doi:10.1046/j.1528-1157.2003.56102.x

    PubMed  Article  Google Scholar 

  21. Pasquier B, Peoc'H M, Fabre-Boquentin B et al (2002) Surgical pathology of drug-resistant partial epilepsy. A 10-year-experience with a series of 327 consecutive patients. Epileptic Disord 4:99–119

    PubMed  Google Scholar 

  22. O'Brien D, Farrell M, Delanty N et al (2007) The Children's cancer and leukaemia group guidelines for the diagnosis and management of Dysembryoplastic Neuroepithelial Tumors. Br J Neurosurg 21:539–549. doi:10.1080/02688690701594817

    PubMed  Article  Google Scholar 

  23. Thom M, Gomez-Anson B, Revesz T et al (1999) Spontaneous intralesional hemorhage in dysembryoplastic neuroepithelial tumors: a series of five cases. J Neurol Neurosurg Psychiatry 67:97–101. doi:10.1136/jnnp. 67.1.97

    PubMed  Article  CAS  Google Scholar 

  24. Yamaguchi N, Ohnishi H, Tachibana O et al (1998) An enlarging dysembryoplastic neuroepithelial tumor during a 6-year period: a case report. No Shinkei Geka 26:1097–1101

    PubMed  CAS  Google Scholar 

  25. Hammond R, Duggal N, Woulfe J et al (2000) Malignant transformation of a dysembryoplastic neuroepithelial tumor. J Neurosurg 92:772–775

    Google Scholar 

  26. Tsuboi Y, Kurimoto M, Nagai S et al (2007) Malignant transformation of oligoastrocytoma: a case report. Brain Tumor Pathol 24:63–68. doi:10.1007/s10014-007-0217-1

    PubMed  Article  Google Scholar 

  27. Schittenhelm J, Mittelbronn M, Wolff M et al (2007) Multifocal dysembryoplastic neuroepithelial tumor with signs of atypia after regrowth. Neuropathology 27:383–389. doi:10.1111/j.1440-1789.2007.00780.x

    PubMed  Article  Google Scholar 

  28. Gonzales M, Dale S, Susman M et al (2007) Dysembryoplastic neuroepithelial tumor (DNT)-like oligodendrogliomas or DNTs evolving into oligodendrogliomas: two illustrative cases. Neuropathology 27:324–330. doi:10.1111/j.1440-1789.2007.00783.x

    PubMed  Article  Google Scholar 

Download references

Conflict of interest statement

We declare that we have no conflict of interest.

Author information

Affiliations

Authors

Corresponding author

Correspondence to Horst Urbach.

Rights and permissions

Reprints and Permissions

About this article

Cite this article

Campos, A.R., Clusmann, H., von Lehe, M. et al. Simple and complex dysembryoplastic neuroepithelial tumors (DNT) variants: clinical profile, MRI, and histopathology. Neuroradiology 51, 433–443 (2009). https://doi.org/10.1007/s00234-009-0511-1

Download citation

  • Received:

  • Accepted:

  • Published:

  • Issue Date:

  • DOI: https://doi.org/10.1007/s00234-009-0511-1

Keywords

  • DNT
  • Dysembryoplastic neuroepithelial tumor
  • Epilepsy
  • MRI