Skip to main content

The optic nerve sheath on MRI in acute optic neuritis

Abstract

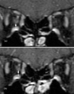
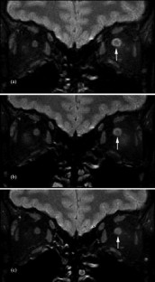
Optic nerve sheath dilatation or gadolinium-enhancement on magnetic resonance imaging in acute optic neuritis have been previously reported but have been thought to be rare occurrences. This study recruited 33 patients with acute unilateral optic neuritis. All had their optic nerves imaged with fat-saturated fast spin-echo (FSE) imaging, and 28 had imaging before and after triple-dose gadolinium-enhanced fat-saturated T1-weighted imaging. Follow-up imaging was performed on 20 patients (15 following gadolinium). A dilated subarachnoid space at the anterior end of the symptomatic optic nerve on FSE imaging was seen in 15/33 cases. In three of these cases, dilatation was visible on short-term follow-up. Optic nerve sheath enhancement was seen in 21/28 cases acutely: seven at the anterior end of the lesion only, five at the posterior end only and nine at both ends. Optic sheath enhancement was seen in 13 patients on follow-up. This study suggests that optic nerve sheath dilatation on FSE images and optic nerve sheath enhancement on triple-dose gadolinium-enhanced images are common findings in acute optic neuritis. Optic nerve sheath dilatation may be due to inflammation of the optic nerve, with its associated swelling, interrupting the communication between the subarachnoid space of the diseased optic nerve and the chiasmal cistern. Optic nerve sheath enhancement suggests that meningeal inflammation occurs in optic neuritis, in agreement with pathological studies of both optic neuritis and multiple sclerosis.

This is a preview of subscription content, access via your institution.

Fig. 1
Fig. 2
Fig. 3
Fig. 4
Fig. 5

References

  1. Hickman SJ, Dalton CM, Miller DH, Plant GT (2002) Management of acute optic neuritis. Lancet 360:1953–1962

    Article  Google Scholar 

  2. Optic Neuritis Study Group (1997) The 5-year risk of MS after optic neuritis: experience of the optic neuritis treatment trial. Neurology 49:1404–1413

    PubMed  Google Scholar 

  3. Optic Neuritis Study Group (2003) High- and low-risk profiles for the development of multiple sclerosis within 10 years after optic neuritis: experience of the optic neuritis treatment trial. Arch Ophthalmol 121:944–949

    Article  Google Scholar 

  4. Brex PA, Ciccarelli O, O’Riordan JI, Sailer M, Thompson AJ, Miller DH (2002) A longitudinal study of abnormalities on MRI and disability from multiple sclerosis. N Engl J Med 346:158–164

    Article  PubMed  Google Scholar 

  5. Gass A, Moseley IF, Barker GJ, Jones S, MacManus D, McDonald WI, Miller DH (1996) Lesion discrimination in optic neuritis using high-resolution fat-suppressed fast spin-echo MRI. Neuroradiology 38:317–321

    Google Scholar 

  6. Kupersmith MJ, Alban T, Zeiffer B, Lefton D (2002) Contrast-enhanced MRI in acute optic neuritis: relationship to visual performance. Brain 125:812–822

    Article  PubMed  Google Scholar 

  7. Hickman SJ, Toosy AT, Miszkiel KA, Jones SJ, Altmann DR, MacManus DG, Plant GT, Thompson AJ, Miller DH (2004) Visual recovery following acute optic neuritis: a clinical, electrophysiological and magnetic resonance imaging study. J Neurol 251:996–1005

    Article  Google Scholar 

  8. Gass A, Barker GJ, Riordan-Eva P, MacManus D, Saunders M, Tofts PS, McDonald WI, Moseley IF, Miller DH (1996) MRI of the optic nerve in benign intracranial hypertension. Neuroradiology 38:769–773

    Article  Google Scholar 

  9. Imamura Y, Mashima Y, Oshitari K, Oguchi Y, Momoshima S, Shiga H (1996) Detection of dilated subarachnoid space around the optic nerve in patients with papilloedema using T2 weighted fast spin echo imaging. J Neurol Neurosurg Psychiatry 60:108–109

    Google Scholar 

  10. Lindblom B, Norman D, Hoyt WF (1992) Perioptic cyst distal to optic nerve meningioma: MR demonstration. AJNR Am J Neuroradiol 13:1622–1624

    Google Scholar 

  11. Killer HE, Mironov A, Flammer J (2003) Optic neuritis with marked distension of the optic nerve sheath due to local fluid congestion. Br J Ophthalmol 87:249

    Article  Google Scholar 

  12. Atlas SW, Galetta SL (1996) The orbit and visual system. In: Atlas SW (ed) MRI of the brain and spine, 2nd edn. Lippincott-Raven, Philadelphia, pp 1007–1092

    Google Scholar 

  13. Purvin V, Kawasaki A, Jacobson DM (2001) Optic perineuritis: clinical and radiographic features. Arch Ophthalmol 119:1299–1306

    Google Scholar 

  14. Carmody RF, Mafee MF, Goodwin JA, Small K, Haery C (1994) Orbital and optic pathway sarcoidosis: MR findings. AJNR Am J Neuroradiol 15:775–783

    Google Scholar 

  15. Kidd D, Burton B, Plant GT, Graham EM (2003) Chronic relapsing inflammatory optic neuropathy (CRION): a newly recognised steroid responsive syndrome seemingly distinct from sarcoidosis. Brain 126:276–284

    Article  Google Scholar 

  16. Filippi M, Yousry T, Campi A, Kandziora C, Colombo B, Voltz R, Martinelli V, Spuler S, Bressi S, Scotti G, Comi G (1996) Comparison of triple dose versus standard dose gadolinium-DTPA for detection of MRI enhancing lesions in patients with MS. Neurology 46:379–384

    CAS  PubMed  Google Scholar 

  17. Silver NC, Good CD, Barker GJ, MacManus DG, Thompson AJ, Moseley IF, McDonald WI, Miller DH (1997) Sensitivity of contrast enhanced MRI in multiple sclerosis: effects of gadolinium dose, magnetization transfer contrast and delayed imaging. Brain 120:1149–1161

    Article  PubMed  Google Scholar 

  18. Compston DA, Batchelor JR, Earl CJ, McDonald WI (1978) Factors influencing the risk of multiple sclerosis developing in patients with optic neuritis. Brain 101:495–511

    CAS  PubMed  Google Scholar 

  19. Barkhof F, Valk J, Hommes OR, Scheltens P (1992) Meningeal Gd-DTPA enhancement in multiple sclerosis. AJNR Am J Neuroradiol 13:397–400

    Google Scholar 

  20. Guseo A, Jellinger A (1975) The significance of perivascular infiltrations in multiple sclerosis. J Neurol 211:51–60

    Article  Google Scholar 

  21. Ikeda H, Tansey EM (1986) Virus-induced demyelination in the optic nerve of the mouse, I: morphological and axonal transport studies. In: Hess RF, Plant GT (eds) Optic neuritis. Cambridge University Press, Cambridge, pp 255–270

    Google Scholar 

  22. Lightman S, McDonald WI, Bird AC, Francis DA, Hoskins A, Batchelor JR, Halliday AM (1987) Retinal venous sheathing in optic neuritis: its significance for the pathogenesis of multiple sclerosis. Brain 110:405–414

    Google Scholar 

Download references

Acknowledgements

S.J.H. is supported by The Wellcome Trust. The NMR Research Unit is supported by the Multiple Sclerosis Society of Great Britain and Northern Ireland.

Author information

Affiliations

Authors

Corresponding author

Correspondence to D. H. Miller.

Rights and permissions

Reprints and Permissions

About this article

Cite this article

Hickman, S.J., Miszkiel, K.A., Plant, G.T. et al. The optic nerve sheath on MRI in acute optic neuritis. Neuroradiology 47, 51–55 (2005). https://doi.org/10.1007/s00234-004-1308-x

Download citation

  • Received:

  • Accepted:

  • Published:

  • Issue Date:

  • DOI: https://doi.org/10.1007/s00234-004-1308-x

Keywords

  • Magnetic resonance imaging
  • Optic nerve sheath
  • Optic neuritis