Skip to main content

Neuromuscular hamartoma arising in the brachial plexus

Abstract

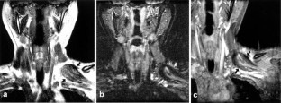
We report a case brachial plexus neuromuscular hamartoma (choristoma) in a 28-year-old man who complained of numbness of the left hand and forearm for several years. MRI revealed a circumscribed, rounded mass in the left brachial plexus. The patient is well 2 years after surgery, with no neurological deficit.

This is a preview of subscription content, access via your institution.

Fig. 1a–c
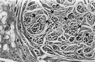
Fig. 2

References

  1. Bonneau R. Brochu P (1983) Neuromuscular choristoma. A clinicopathologic study of two cases. Am J Surg Pathol 7: 521–528

    CAS  PubMed  Google Scholar 

  2. Chen KTK (1984) Neuromuscular hamartoma. J Surg Oncol 26 :158-160

    CAS  PubMed  Google Scholar 

  3. Awasthi D, Kline DG, Beckman EN (1991) Neuromuscular hamartoma (benign “triton” tumor) of the brachial plexus. J Neurosurg 75: 795–797

    CAS  PubMed  Google Scholar 

  4. Mitchell A, Scheithauer BW, Ostertag H, Sephernia A, Sav A (1995) Neuromuscular choristoma. Am J Clin Pathol 103: 460–465

    CAS  PubMed  Google Scholar 

  5. Tiffee JC, Barnes EL (1998) Neuromuscular hamartomas of the head and neck. Arch Otolaryngol Head Neck Surg 124: 212–216

    CAS  PubMed  Google Scholar 

  6. Dorpe JV, Sciot R, Vos RD, Uyttebroeck A, Stas M, Damme BV (1997) Neuromuscular choristoma with smooth and striated muscle component. Case report with immunohistochemical and ultrastructural analysis. Am J Surg Pathol 21: 1090–1095

    PubMed  Google Scholar 

  7. Bassett GS, Monforte-Muñoz H, Mitchell WG, Rowland JM (1997) Cavus deformity of the foot secondary to a neuromuscular choristoma (hamartoma) of the sciatic nerve. J Bone Joint Surg 79A: 1398–1401

    Google Scholar 

  8. Oeppen RS, Harden SP, Argent JD (2003) Neuromuscular hamartoma: imaging features of a rare paediatric craniofacial tumour. Pediatr Radiol 33 :50–22

    Article  PubMed  Google Scholar 

  9. Boman F, Palan C, Floquet A, Floquet J, Lascombes P (1991) Neuromuscular hamartoma. Ann Pathol 11: 36–41

    CAS  PubMed  Google Scholar 

  10. Markel SF, Enzinger FM (1982) Neuromuscular hamartoma—a benign “triton” tumor composed of mature neural and striated muscle elements. Cancer 49: 140–144

    CAS  PubMed  Google Scholar 

  11. Van Dorpe VJ, Sciot R, De Vos R, Uyttebroeck A, Stas M, Van Damme B (1997) Neuromuscular choristoma (hamartoma) with smooth and striated muscle component: case report with immunohistochemical and ultrastructural analysis. Am J Surg Pathol 9: 1090–1095

    Google Scholar 

Download references

Author information

Affiliations

Authors

Corresponding author

Correspondence to P. H. Lai.

Rights and permissions

Reprints and Permissions

About this article

Cite this article

Lai, P.H., Ho, J.T., Lin, S.L. et al. Neuromuscular hamartoma arising in the brachial plexus. Neuroradiology 46, 216–218 (2004). https://doi.org/10.1007/s00234-003-1130-x

Download citation

  • Received:

  • Accepted:

  • Published:

  • Issue Date:

  • DOI: https://doi.org/10.1007/s00234-003-1130-x

Keywords

  • Neuromuscular choristoma
  • Brachial plexus
  • Magnetic resonance imaging