Abstract
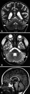
We describe MRI of the brain in 19 patients with ataxia-telangiectasia (AT) and correlate the appearances with the degree of neurologic deficit. We examined 10 male and nine female patients; 17 were aged between 2 and 12 years (mean 8 years) but a woman and her brother were 35 and 38 years old, and had a variant of AT. Ataxia was the first recognized sign of the disease in every patient. We detected the following patterns of cerebellar atrophy: in the youngest patient, aged 2 years, the study was normal; in the five next youngest patients 3–7 years of age, the lateral cerebellum and superior vermis showed the earliest changes of atrophy; and all but one of the other patients had moderate to marked diffuse atrophy of vermis and cerebellar hemispheres. There were 12 patients aged 9 years and above; one, who was normal, was 9 years old. The five patients who at the time of examination were unable to walk all had diffuse atrophy involving both vermis and cerebellar hemispheres.



References
Sedgwick RP, Boder E (1991) Ataxia-telangiectasia. In Vinken PJ, Bruyn GW, Klawans GW, eds. Handbook of clinical neurology, Vol 16, Elsevier, Amsterdam, pp 374–423
Boder E (1985) An overview. In: Gatti RA, Swift M (eds) Ataxia-telangiectasia: genetics, neuropathology and immunology of a degenerative disease of childhood. Liss, New York, pp 1–63
Gatti RA, Boder E, Vinters HV, Sparkes RS Norman A, Lange K (1991) Ataxia telangiectasia: an interdisciplinary approach to pathogenesis. Medicine (Baltimore) 70: 99–117
Paller AS (1987) Ataxia-telangiectasia. Neurol Clin 5: 447–449
Brown LR, Coulam CM, Reese DF (1976) Ataxia telangiectasia (Luis-Bar syndrome). Semin Roentgenol 11: 67–70
Assencio-Ferreira VJ, Bancovsky I, Diament AJ, Gherpelli JLD, Moreira FA (1981) Computed tomography in ataxia telangiectasia. J Comput Assist Tomogr 5: 660–661
Scharnetzky M, Kohlschutter A (1980) Computerized tomographic findings in case of ataxia-telangiectasia (Luis-Bar syndrome). Neuropediatrics 11: 384–387
Farina L, Uggetti C, Ottolini A, et al (1994) Ataxia telangiectasia: MR and CT findings. J Comput Assist Tomogr 18: 724–727
Gatti RA, Berkel I,Boder E, et al (1998) Localization of an ataxia-telangiectasia gene to chromosome 11q22–23. Nature 336: 577–580
Savitsky K, Bar-Shira A, Gilad S, et al (1995) A single ataxia-telangiectasia gene with a product similar to PI-3 kinase. Science 268: 1749–1753
Brown KD, Barlow C, Boris AW (1999) Multiple ATM-dependent pathways: an explanation for pleiotropy. Am J Hum Genet 64: 46–50
Jongmans W, Artuso M, Vuillaume M, Bresil H, Jackson SP, Hall J (1996) The role of ataxia telangiectasia and the DNA-dependent protein kinase in the p53-mediated response to ionizing radiation. Oncogene 13: 1133–1138
Barlow C, Dennery PA, Shigenaga MK, et al (1999) Loss of the ataxia-telangiectasia gene product causes oxidative damage in target organs. Neurobiology 96: 9915–9919
Author information
Authors and Affiliations
Corresponding author
Rights and permissions
About this article
Cite this article
Tavani, F., Zimmerman, R.A., Berry, G.T. et al. Ataxia-telangiectasia: the pattern of cerebellar atrophy on MRI. Neuroradiology 45, 315–319 (2003). https://doi.org/10.1007/s00234-003-0945-9
Received:
Accepted:
Published:
Issue Date:
DOI: https://doi.org/10.1007/s00234-003-0945-9