Skip to main content

Acute encephalitis associated with measles: MRI features

Abstract

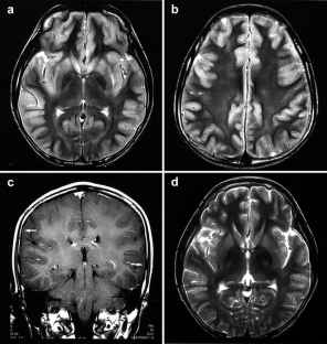
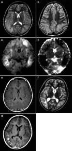
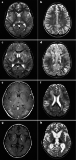
We document the MRI features in six patients aged 5–14 years with acute encephalitis following measles. The diagnosis was made on a characteristic morbiliform rash and detection of specific IgM and IgG antibodies. The symptoms of encephalitis occurred 1–11 days after the appearance of the rash. All patients underwent MRI within 1–4 days of the onset of neurological symptoms. Diffusion weighted images (DWI) were obtained in three patients. In all patients, T2-weighted images showed widely distributed, multifocal high signal in both cerebral hemispheres with swelling of the cortex, with bilateral, symmetrical involvement of the putamen and caudate nucleus. The lesions had showed low apparent diffusion coefficients. Three patients showed subacute gyriform haemorrhage, and asymmetrical gyriform contrast enhancement on follow-up MRI.

This is a preview of subscription content, access via your institution.

Fig. 1a-h.
Fig. 2a-g.
Fig. 3a-d.

References

  1. Norrby E, Kristensson K (1997) Measles virus in the brain. Brain Res Bull 44: 213–220

    Article  CAS  PubMed  Google Scholar 

  2. Ruggieri M, Polizzi A, Pavone L, Musumeci S (1198) Thalamic syndrome in children with measles infection and selective, reversible thalamic involvement. Pediatrics 101: 112–119

    Google Scholar 

  3. Cambonie G, Houdon L, Rivier F, Bongrand AF, Echenne B (2000) Infantile bilateral striatal necrosis following measles. Brain Dev 22: 221–223

    Article  CAS  PubMed  Google Scholar 

  4. Adachi K, Utsumi Y, Kanaya A, Kimura S (2000) Acute transient pseudoatrophy of the brain accompanying measles infection. Brain Dev. 22: 193–195

    Google Scholar 

  5. Mathieson G, Olszewski J (1960) Central pontine myelinolysis with other cerebral changes. A report of two cases. Neurology 10: 345–354

    Google Scholar 

  6. Goutieres F, Aicardi J (1982) Acute neurological dysfunction associated with destructive lesions of the basal ganglia. Ann Neurol 12: 328–332

    CAS  PubMed  Google Scholar 

  7. Noseda G, Harpey JP, Brandel JP, et al (1996) Acute basal ganglia necrosis with favorable course during Mycoplasma encephalitis (in French). Arch Pediatr 3: 1107–1110

    Article  CAS  PubMed  Google Scholar 

  8. Peters AC, Vielvoye GJ, Versteeg J, Bots GM, Lindeman J (1979) ECHO 25 virus focal acute encephalitis and subacute hemichorea. Neurology 29: 676–681

    CAS  PubMed  Google Scholar 

  9. Vargas PA, Bernardi FD, Alves VA, et al (2000) Uncommon histopathological findings in fatal measles infection: pancreatitis, sialoadenitis and thyroiditis. Histopathology 37: 141–146

    Article  CAS  PubMed  Google Scholar 

  10. Carpentier B,Billard C. Maheut J, et al (1992) Acute Measles Encephalitis of the delayed type: neuroradiological and immunological findings. Eur Neurol 32: 235–237

    PubMed  Google Scholar 

  11. Schroth G, Kretzschmar K, Gawehn J, Voight K (1987) Advantages of magnetic resonance imaging in the diagnosis of cerebral infections. Neuroradiology 29: 120–126

    Google Scholar 

  12. YagishitaA, Nakano I, Ushioda T, Otsuki N, Hasegawa A (1995) Acute encephalopathy with bilateral thalamotegmental involvement in infants and children: imaging and pathology findings (1995) AJNR 16:439–437

    Google Scholar 

  13. Kim SS, Chang K-H, Kim KW, et al (2001) Unusual acute encephalitis involving the thalamus: imaging features. Kor J Radiol 2: 68–74

    CAS  Google Scholar 

  14. Tarr RW, Edwards KM, Kessler RM, Kullkarni MV (1987) MRI of mumps encephalitis: comparison with CT evaluation. Pediatr Radiol 17: 59–62

    CAS  PubMed  Google Scholar 

  15. Atlas SW, Grossman RI, Goldberg HI, et al (1986) MR diagnosis of acute disseminated encephalomyelitis. J Comput Assist Tomogr 10: 798–801

    CAS  PubMed  Google Scholar 

  16. Caldemeyer KS, Smith RR, Harris TM, Edwards MK (1994) MRI in acute disseminated encephalomyelitis. Neuroradiology 36: 216–220

    CAS  PubMed  Google Scholar 

  17. Caldemyer KS, Harris TM, Smith RR, Edwards MK (1991) Gadolinium enhancement in acute disseminated encephalomyelitis. J Comp Assist Tomogr 15: 673–675

    Google Scholar 

  18. Harada M, Hisaoka S, Mori K, Yoneda K, Noda S, Nishitani H (2000) Differences in water diffusion and lactate production in two different types of postinfectious encephalopathy. J Magn Reson Imaging 11: 559–563

    Article  CAS  PubMed  Google Scholar 

Download references

Author information

Affiliations

Authors

Corresponding author

Correspondence to W. H. Cho.

Rights and permissions

Reprints and Permissions

About this article

Cite this article

Lee, K.Y., Cho, W.H., Kim, S.H. et al. Acute encephalitis associated with measles: MRI features. Neuroradiology 45, 100–106 (2003). https://doi.org/10.1007/s00234-002-0884-x

Download citation

  • Received:

  • Accepted:

  • Published:

  • Issue Date:

  • DOI: https://doi.org/10.1007/s00234-002-0884-x

Keywords

  • Brain
  • Infection
  • Measles
  • Magnetic resonance imaging