Abstract
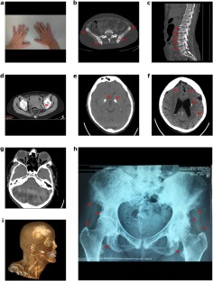
Raine syndrome is a rare hereditary disease caused by mutations in the FAM20C gene. Only 18 non-lethal cases have been reported, the majority of them being children and young adults aged up to 30. Due to the rarity of the disease, genotype–phenotype correlations are not available and patient life expectancy is unknown, thus making descriptions of each novel case of particular importance. In this article, we describe a case of an Armenian woman, living in Russia, who was followed-up from age 36 to 39, presenting with pain in the extremities, osteosclerosis with periosteal bone formation, multiple calcifications in solid organs, midface hypoplasia, exophthalmos, amelogenesis imperfecta, shortening of distal phalanges, pectus excavatum, and hypophosphatemia due to renal phosphate wasting. Whole exome sequencing was performed on NextSeq 550 (Illumina, USA) and compound heterozygous variants were identified in the FAM20C gene (reference sequence NM_020223): a frameshift insertion c.1107_1108insTACTG (p.Tyr369fs) and a missense substitution c.1375C > G (p.Arg459Gly). This is the first reported case of a middle-aged patient presenting classical symptoms of Raine syndrome caused by novel compound heterozygous mutations in the conserved C-terminal domain of FAM20C gene.

References
Faundes V, Castillo-Taucher S, Gonzalez-Hormazabal P, Chandler K, Crosby A, Chioza B (2014) Raine syndrome: an overview. Eur J Med Genet 57:536–542. https://doi.org/10.1016/j.ejmg.2014.07.001
Boudin E, Van Hul W (2018) Sclerosing bone dysplasias. Best Pract Pres Clin Endocrinol Metab 32:707–723
Raine J, Winter R, Davey A, Tucker S (1989) Unknown syndrome: microcephaly, hypoplastic nose, exophthalmos, gum hyperplasia, cleft palate, low set ears, and osteosclerosis. J Med Genet 26:786–788. https://doi.org/10.1136/jmg.26.12.786
Whyte MP, McAlisterWH Fallon MD, Pierpont ME, Bijanki VN, Duan S, Otaify GA, Sly WS, Mumm S (2017) Raine syndrome (OMIM #259775), caused by FAM20C mutation, is congenital sclerosing osteomalacia with cerebral calcification (OMIM 259660). J Bone Miner Res 32:757–769. https://doi.org/10.1002/jbmr.3034
Simpson M, Hsu R, Keir L, Hao J, Sivapalan G, Ernst L, Zackai E, Al-Gazali L, Hulskamp G, Kingston H (2007) Mutations in FAM20C are associated with lethal osteosclerotic bone dysplasia (Raine syndrome), highlighting a crucial molecule in bone development. Am J Hum Genet 81:906–912. https://doi.org/10.1086/522240
Simpson MA, Scheuerle A, Hurst J, Patton MA, Stewart C, Crosby AH (2009) Mutations in FAM20C also identified in non-lethal osteosclerotic bone dysplasia. Clin Genet 75:271–276. https://doi.org/10.1111/j.1399-0004.2008.01118.x
Fradin M, Stoetzel C, Muller J, Koob M, Christmann D, Debry C, Kohler M, Isnard M, Astruc D, Desprez P, Zorres C, Flori E, Dollfus H, Doray B (2011) Osteosclerotic bone dysplasia in siblings with a FAM20C mutation. Clin Genet 80:177–183. https://doi.org/10.1111/j.1399-0004.2010.01516.x
Koob M, Doray B, Fradin M, Astruc D, Dietemann JL (2011) Raine syndrome: expanding the radiological spectrum. Pediatr Radiol 41(3):389–393. https://doi.org/10.1007/s00247-010-1875-4
Mahmood N, Donne A, Weber A, Dharmraj P (2014) Raine syndrome: a review and a report of metabolic bone disease as a new link. Research 1:890. https://doi.org/10.13070/rs.en.1.890
Rafaelsen SH, Raeder H, Fagerheim AK, Knappskog P, Carpenter TO, Johansson S, Bjerknes R (2013) Exome sequencing reveals FAM20c mutations associated with fibroblast growth factor 23-related hypophosphatemia, dental anomalies, and ectopic calcification. J Bone Miner Res 28:1378–1385. https://doi.org/10.1002/jbmr.1850
Takeyari S, Yamamoto T, Kinoshita Y, Fukumoto S, Glorieux FH, Michigami T, Hasegawa K, Kitaoka T, Kubota T, Imanishi Y, Shimotsuji T, Ozono K (2014) Hypophosphatemic osteomalacia and bone sclerosis caused by a novel homozygous mutation of the FAM20C gene in an elderly man with a mild variant of Raine syndrome. Bone 67:56–62. https://doi.org/10.1016/j.bone.2014.06.026
Acevedo AC, Poulter JA, Alves PG, de Lima CL, Castro LC, Yamaguti PM, Paula LM, Parry DA, Logan CV, Smith CE (2015) Variability of systemic and oro-dental phenotype in two families with non-lethal Raine syndrome with FAM20C mutations. BMC Med Genet 16:8. https://doi.org/10.1186/s12881-015-0154-5
Elalaoui SC, Al-Sheqaih N, Ratbi I, Urquhart JE, O’Sullivan J, Bhaskar S, Williams SS, Elalloussi M, Lyahyai J, Sbihi L (2016) Non-lethal Raine syndrome and differential diagnosis. Eur J Med Genet 59:577–583. https://doi.org/10.1016/j.ejmg.2016.09.018
Tamai K, Tada K, Takeuchi A, Nakamura M, Marunaka H, Washio Y, Tanaka H, Miya F, Okamoto N, Kageyama M (2018) Fetal ultrasonographic findings including cerebral hyperechogenicity in a patient with non-lethal form of Raine syndrome. Am J Med Genet 176:682–686. https://doi.org/10.1002/ajmg.a.38598
Rolvein T, Kornak U, Schinke T, Amling M, Oheim R (2019) A novel FAM20C mutation causing hypophosphatemic osteomalacia with osteosclerosis (mild Raine syndrome) in an elderly man with spontaneous osteonecrosis of the knee. Osteoporos Int 30(3):685–689. https://doi.org/10.1007/s00198-018-4667-6
Sheth J, Bhavsar R, Gandhi A, Sheth F, Pancholi D (2018) A case of Raine syndrome presenting with facial dysmorphy and review of literature. BMC Med Genet 19:76. https://doi.org/10.1186/s12881-018-0593-x
Wang K, Li M, Hakonarson H (2010) ANNOVAR: functional annotation of genetic variants from high-throughput sequencing data. Nucleic Acids Res 38:e164. https://doi.org/10.1093/nar/gkq603
Author information
Authors and Affiliations
Corresponding author
Ethics declarations
Conflict of interest
Elizaveta Mamedova, Diana Dimitrova, Elena Przhiyalkovskaya, Svetlana Buryakina, Evgeny Vasilyev, Anatoly Tiulpakov, and Zhanna Belaya declare that they have no conflict of interest.
Informed Consent
Informed consent was obtained from the patient to publish her data.
Human and Animal Rights
The research was conducted in accordance with the ethical standards.
Additional information
Publisher's Note
Springer Nature remains neutral with regard to jurisdictional claims in published maps and institutional affiliations.
Rights and permissions
About this article
Cite this article
Mamedova, E., Dimitrova, D., Przhiyalkovskaya, E. et al. Non-lethal Raine Syndrome in a Middle-Aged Woman Caused by a Novel FAM20C Mutation. Calcif Tissue Int 105, 567–572 (2019). https://doi.org/10.1007/s00223-019-00599-w
Received:
Accepted:
Published:
Issue Date:
DOI: https://doi.org/10.1007/s00223-019-00599-w