Skip to main content

Exocytotic Process as a Novel Model for Mineralization by Osteoblasts In Vitro and In Vivo Determined by Electron Microscopic Analysis

Abstract

The process of biomineralization has been examined during osteoblastic differentiation of bone marrow stroma cells (BMSCs) from embryonic chick in culture and in periosteum itself by a number of different techniques including transmission and scanning electron microscopy. In cell culture of BMSCs at days 20–25, crystals were accumulated extracellularly in the collagen matrix, resulting in large plate-like crystallites and noncollagen associated on the culture disk surface. In contrast, up to days 10–18, mainly intracellular mineralization was visible by numerous needle-like crystal structures in the cell cytoplasm and in vacuoles. After 20–30 days, the crystal content of these vacuoles is released, most probably by membrane fusion to the outside of the cells. Energy-dispersive X-ray analysis (EDX), electron spectroscopic imaging, and electron energy loss spectroscopy demonstrated that Ca, O, and P are located in the intra- and extracellular needle-like crystals. From EDX spectra a Ca/P ratio of 1.3 was estimated for the intracellular structures and a Ca/P ratio of 1.5, for the extracellular material (for comparison, the Ca/P ratio in tibiae is 1.6). X-ray diffraction and quantitative infrared spectral analyses also demonstrated an increase of crystalline bone apatite along the mineralization process. In addition to the finding in vitro, the presence of intracellular needle-like crystals in vacuoles could be demonstrated in vivo in osteoblastic cells of the periosteum in tibia of day 11. The results are in favor of a novel model for mineralization by osteoblasts, in which amorphous Ca/P material is directly secreted via an exocytotic process from vacuoles of the osteoblast, deposited extracellularly, propagated into the collagen fibril matrix, and matured to hydroxyapatite.

This is a preview of subscription content, access via your institution.

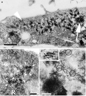
Fig. 1.
Fig. 2.
Fig. 3.
Fig. 4.
Fig. 5.
Fig. 6.
Fig. 7.
Fig. 8.
Fig. 9.
Fig. 10.
Fig. 11.

References

  1. Anderson HC (1969) Vesicles associated with calcification in the matrix of epiphyseal cartilage. J Cell Biol 41:59–72

    PubMed  Article  CAS  Google Scholar 

  2. Anderson HC (1995) Molecular biology of matrix vesicles. Clin Orthop Relat Res 314:266–280

    PubMed  Google Scholar 

  3. Anderson HC (2003) Matrix vesicles and calcification. Curr Rheumatol Rep 5:222–226

    PubMed  Article  Google Scholar 

  4. Wuthier RE, Gore ST (1977) Partition of inorganic ions and phospholipids in isolated cell, membrane and matrix vesicle fractions: evidence for Ca-Pi-acidic phospholipid complexes. Calcif Tissue Res 24:163–171

    PubMed  Article  CAS  Google Scholar 

  5. Wong PY, Majeska RJ, Wuthier RE (1977) Biosynthesis and metabolism of prostaglandins in chick epiphyseal cartilage. Prostaglandins 14:839–851

    PubMed  Article  CAS  Google Scholar 

  6. Wuthier RE, Makjeska RJ, Collins GM (1977) Biosynthesis of matrix vesicles in epiphyseal cartilage. I. In vivo incorporation of 32P orthophosphate into phospholipids of chondroxyte, membrane, and matrix vesicle fractions. Calcif Tissue Res 23:135–139

    PubMed  Article  CAS  Google Scholar 

  7. Genge BR, Wu LN, Wuthier RE (2003) Separation and quantification of chicken and bovine growth plate cartilage matrix vesicle lipids by high-performance liquid chromatography using evaporative light scattering detection. Anal Biochem 322:104–115

    PubMed  Article  CAS  Google Scholar 

  8. Landis WJ, Glimcher MJ (1982) Electron optical and analytical observations of rat growth plate cartilage prepared by ultracryomicrotomy: the failure to detect a mineral phase in matrix vesicles and the identification of heterodispersed particles as the initial solid phase of calcium phosphate deposited in the extracellular matrix. J Ultrastruct Res 78:227–268

    PubMed  Article  CAS  Google Scholar 

  9. Landis WJ, Paine MC, Hodgens KJ, Glimcher MJ (1986) Matrix vesicles in embryonic chick bone: considerations of their identification, number, distribution, and possible effects on calcification of extracellular matrices. J Ultrastruct Mol Struct Res 95:142–163

    PubMed  Article  CAS  Google Scholar 

  10. Ghadially FN (2001) As you like it: part 3. A critique and historical review of calcification as seen with the electron microscope. Ultrastruct Pathol 25:243–267

    PubMed  Article  CAS  Google Scholar 

  11. Marsh ME (1995) Mineralization of bone-like extracellular matrix in the absence of functional osteoblasts. J Bone Miner Res 11:1635–1643

    Article  Google Scholar 

  12. Stein GS, Lian JB, Owen TA (1990) Relationship of cell growth to the regulation of tissue-specific gene expression during osteoblast differentiation. FASEB 4:3111–3123

    CAS  Google Scholar 

  13. Plate U, Hohling HJ, Reimer L, Barckhaus RH, Wienecke R, Wiesmann HP, Boyde A (1992) Analysis of the calcium distribution in predentine by EELS and of the early crystal formation in dentine by ESI and ESD. J Microsc 166:329–341

    PubMed  CAS  Google Scholar 

  14. Kuhn LT, Wu Y, Rey C, Gerstenfeld LC, Grynpas MD, Ackerman JL, Kim HM, Glimcher MJ (2000) Structure, composition, and maturation of newly deposited calcium-phosphate crystals in chicken osteoblast cell cultures. J Bone Miner Res 15:1301–1309

    PubMed  Article  CAS  Google Scholar 

  15. Spurr AR (1969) A low-viscosity epoxy resin embedding medium for electron microscopy. J Ultrastruct Res 26:31–43

    PubMed  Article  CAS  Google Scholar 

  16. Jaiswal N, Haynesworth SE, Caplan AI, Bruder SP (1997) Osteogenic differentiation of purified, culture-expanded human mesenchymal stem cells in vitro. J Cell Biochem 64:295–312

    PubMed  Article  CAS  Google Scholar 

  17. Gerstenfeld LC, Lian JB, Gotoh Y, Lee DD, Landis WJ, McKee MD, Nanci A, Glimcher MJ (1989) Use of cultured embryonic chicken osteoblasts as a model of cellular differentiation and bone mineralization. Connect Tissue Res 21:215–223

    PubMed  CAS  Google Scholar 

  18. Bruder SP, Jainswal N, Haynesworth SE (1997) Growth kinetics, self-renewal, and the osteogenic potential of purified human mesenchymal stem cells during extensive subcultivation and following cryopreservation. J Cell Biochem 64:278–294

    PubMed  Article  CAS  Google Scholar 

  19. Malaval L, Liu F, Roche P, Aubin JE (1999) Kinetics of osteoprogenitor proliferation and osteoblast differentiation in vitro. J Cell Biochem 74:616–627

    PubMed  Article  CAS  Google Scholar 

  20. Chaudhary LR, Hofmeister AM, Hruska KA (2004) Differential growth factor control of bone formation through osteoprogenitor differentiation. Bone 34:402–411

    PubMed  Article  CAS  Google Scholar 

  21. Marsh ME, Munne AM, Vogel JJ, Cui Y, Franceschi RT (1995) Mineralization of bone-like extracellular matrix in the absence of functional osteoblasts. J Bone Miner Res 10:1635–1643

    PubMed  CAS  Google Scholar 

  22. Murshed M, Harmey D, Millan JL, McKee MD, Karsenty G (2005) Unique coexpression in osteoblasts of broadly expressed genes accounts for the spatial restriction of ECM mineralization to bone. Genes Dev 19:1093–1104

    PubMed  Article  CAS  Google Scholar 

  23. Stanford CM, Jacobson PA, Eanes ED, Lembke LA, Midura RJ (1995) Rapidly forming apatitic mineral in an osteoblastic cell line (UMR10601 BSP). J Biol Chem 270:9420–9428

    PubMed  Article  CAS  Google Scholar 

  24. Plate U, Arnold S, Stratmann U, Wiesmann HP, Hohling HJ (1998) General principle of ordered apatitic crystal formation in enamel and collagen rich hard tissues. Connect Tissue Res 38:149–157

    PubMed  CAS  Google Scholar 

  25. Kuhn-Spearing L, Gerstenfeld LC, Landis WJ, Grynpas M, Glimcher MJ (1998) A study of the mineral and the biomineralization events occurring in osteosarcoma cell culture. Presented a 6th International Conference on the Chemistry and Biology of Mineralized Tissues, Vittel, France, November 1–6

  26. Schraer H, Gay CV (1977) Matrix vesicles in newly synthesizing bone observed after ultracryotomy and ultramicroincineration. Calcif Tissue Res 23:185–188

    PubMed  Article  CAS  Google Scholar 

  27. Bordat C, Guerquin-Kern JL, Lieberherr M, Cournot G (2004) Direct visualization of intracellular calcium in rat osteoblasts by energy-filtering transmission electron microscopy. Histochem Cell Biol 121:31–38

    PubMed  Article  CAS  Google Scholar 

  28. Mironov AA, Weidman P, Luini A (1997) Variations on the intracellular transport theme: maturing cisternae and trafficking tubules. J Cell Biol 138:481–484

    PubMed  Article  CAS  Google Scholar 

  29. Bonfanti L, Mironov AA Jr, Martinez-Menarguez JA, Martella O, Fusella A, Baldassarre M, Buccione R, Geuze HJ, Mironov AA, Luini A (1989) Procollagen traverses the Golgi stack without leaving the lumen of cisternae: evidence for cisternal maturation. Cell 95:993–1003

    Article  Google Scholar 

  30. Rothman JE, Wieland FT (1996) Protein sorting by transport vesicles. Science 272:227–234

    PubMed  Article  CAS  Google Scholar 

Download references

Author information

Affiliations

Authors

Corresponding author

Correspondence to M. Rohde.

Rights and permissions

Reprints and Permissions

About this article

Cite this article

Rohde, M., Mayer, H. Exocytotic Process as a Novel Model for Mineralization by Osteoblasts In Vitro and In Vivo Determined by Electron Microscopic Analysis. Calcif Tissue Int 80, 323–336 (2007). https://doi.org/10.1007/s00223-007-9013-5

Download citation

  • Received:

  • Accepted:

  • Published:

  • Issue Date:

  • DOI: https://doi.org/10.1007/s00223-007-9013-5

Keywords

  • Biomineralization
  • Bone marrow stroma cell
  • Embryonic chick
  • Exocytosis
  • Osteogenesis