Skip to main content

BMP2Gene Therapy on the Repair of Bone Defects of Aged Rats

Abstract

Age-related decline in the number of mesenchymal stem cells (MSCs) and their reduced capability to differentiate osteogenically, along with diminished availability of growth factors, may be major factors accounting for reduced bone formation in the aging mammalian body. In the first part of the study, we compared the number of MSCs in bone marrow (BM) and the content of bone morphogenetic protein 2 (BMP2) in cortical bone tissue in juvenile, adult, and aged (1, 9, and 24 months, respectively) male rats. To assay the influence of aging on osteogenic differentiation ability, MSCs from the three age groups were transduced with the BMP2 gene. Following gene transduction, the production of BMP2 in culture media, expression of osteogenic proteins (e.g., alkaline phosphatase, type Iα1 collagen, osteopontin, and bone sialoprotein), as well as ectopic bone formation in athymic mice were compared. Results showed that the number of MSCs in BM as well as the content of BMP2 in cortical bone tissue decreased with age, but no significant differences between the three age groups were found with regard to production of BMP2 or capability of BMP2 gene-modified MSCs to differentiate osteogenically. The second part of the study applied BMP2 gene-modified autologous MSCs/β-tricalcium phosphate for repair of bone defects in aged rats with positive results. Our data indicate that the osteogenic potential of MSCs of aged rats can be restored following BMP2 gene transduction and that this technique may be a useful approach in the future planning of gene therapy for age-related osteoporotic fractures.

This is a preview of subscription content, access via your institution.

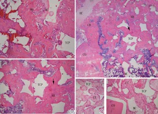
Fig. 1
Fig. 2
Fig. 3
Fig. 4
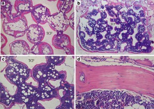
Fig. 5
Fig. 6

References

  1. Hee HT, Wong HP, Low YP, Myers L (2001) Predictors of outcome of floating knee injuries in adults: 89 patients followed for 2–12 years. Acta Orthop Scand 72:385–394

    PubMed  Article  CAS  Google Scholar 

  2. Nieminen S, Nurmi M, Satokari K (1981) Healing of femoral neck fractures; influence of fracture reduction and age. Ann Chir Gynaecol 70:26–31

    PubMed  CAS  Google Scholar 

  3. Nilsson BE, Edwards P (1969) Age and fracture healing: a statistical analysis of 418 cases of tibial shaft fractures. Geriatrics 24:112–117

    PubMed  CAS  Google Scholar 

  4. Ekeland A, Engesoeter LB, Langeland N (1982) Influence of age on mechanical properties of healing fractures and intact bones in rats. Acta Orthop Scand 53:527–534

    PubMed  CAS  Google Scholar 

  5. Kahn A, Gibbons R, Perkins S, Gazit D (1995) Age-related bone loss A hypothesis and initial assessment in mice. Clin Orthop 313:69–75

    PubMed  Google Scholar 

  6. Meyer RA Jr, Meyer MH, Tenholder M (2003) Gene expression in older rats with delayed union of femoral fractures. J Bone Joint Surg Am 85:1243-1254

    PubMed  Google Scholar 

  7. Meyer RA Jr, Tsahakis PJ, Martin DF, Banks DM, Harrow ME, Kiebzak GM (2001) Age and ovariectomy impair both the normalization of mechanical properties and the accretion of mineral by the fracture callus in rats. J Orthop Res 19:428–435

    PubMed  Article  Google Scholar 

  8. Pittenger MF, Mackay AM, Beck SC, Jaiswal RK, Douglas R, Mosca JD, Moorman MA, Simonetti DW, Craig S, Marshak DR (1999) Multilineage potential of adult human mesenchymal stem cells. Science 284:143–147

    PubMed  Article  CAS  Google Scholar 

  9. Prockop DJ (1997) Marrow stromal cells as stem cells for nonhematopoietic tissues. Science 276:71–74

    PubMed  Article  CAS  Google Scholar 

  10. Bergman RJ, Gazit D, Kahn AJ, Gruber H, McDougall S, Hahn TJ (1996) Age-related changes in osteogenic stem cells in mice. J Bone Miner Res 11:568–577

    PubMed  CAS  Article  Google Scholar 

  11. D’Ippolito G, Schiller PC, Ricordi C, Roos BA, Howard GA (1999) Age-related osteogenic potential of mesenchymal stromal stem cells from human vertebral bone marrow. J Bone Miner Res 14:1115–1122

    PubMed  CAS  Google Scholar 

  12. Dodson SA, Bernard GW, Kenney EB, Carranza FA (1996) In vitro comparison of aged and young osteogenic and hemopoietic bone marrow stem cells and their derivative colonies. J Periodontol 67:184–196

    PubMed  CAS  Google Scholar 

  13. Egrise D, Martin D, Vienne A, Neve P, Schoutens A (1992) The number of fibroblastic colonies formed from bone marrow is decreased and the in vitro proliferation rate of trabecular bone cells increased in aged rats. Bone 13:355–361

    PubMed  Article  CAS  Google Scholar 

  14. Majors AK, Boehm CA, Nitto H, Midura RJ, Muschler GF (1997) Characterization of human bone marrow stromal cells with respect to osteogenic differentiation. J Orthop Res 15:546–557

    PubMed  Article  CAS  Google Scholar 

  15. Nishida S, Endo N, Yamagiwa H, Tanizawa T, Takahashi HE (1999) Number of osteoprogenitor cells in human bone marrow markedly decreases after skeletal maturation. J Bone Miner Metab 17:171–177

    PubMed  Article  CAS  Google Scholar 

  16. Quarto R, Thomas D, Liang CT (1995) Bone progenitor cell deficits and the age-associated decline in bone repair capacity. Calcif Tissue Int 56:123–129

    PubMed  Article  CAS  Google Scholar 

  17. Tsuji T, Hughes FJ, McCulloch CA, Melcher AH (1990) Effects of donor age on osteogenic cells of rat bone marrow in vitro. Mech Ageing Dev 51:121–132

    PubMed  Article  CAS  Google Scholar 

  18. Mets T, Verdonk G (1981) Variations in the stromal cell population of human bone marrow during aging. Mech Ageing Dev 15:41–49

    PubMed  Article  CAS  Google Scholar 

  19. Oreffo RO, Bennett A, Carr AJ, Triffitt JT (1998) Patients with primary osteoarthritis show no change with ageing in the number of osteogenic precursors. Scand J Rheumatol 27:415–424

    PubMed  CAS  Google Scholar 

  20. Oreffo RO, Bord S, Triffitt JT (1998) Skeletal progenitor cells and ageing human populations. Clin Sci (Colch) 94:549–555

    CAS  Google Scholar 

  21. Stenderup K, Justesen J, Eriksen EF (2001) Number and proliferative capacity of osteogenic stem cells are maintained during aging and in patients with osteoporosis. J Bone Miner Res 16:1120–1129

    PubMed  CAS  Google Scholar 

  22. Shur I, Lokiec F, Bleiberg I (2001) Differential gene expression of cultured human osteoblasts. J Cell Biochem 83:547–553

    PubMed  Article  CAS  Google Scholar 

  23. Leskela HV, Risteli J, Niskanen S (2003) Osteoblast recruitment from stem cells does not decrease by age at late adulthood. Biochem Biophys Res Commun 311:1008–1013

    PubMed  Article  CAS  Google Scholar 

  24. Stenderup K, Justesen J, Clausen C (2003) Aging is associated with decreased maximal life span and accelerated senescence of bone marrow stromal cells. Bone 33:919–926

    PubMed  Article  Google Scholar 

  25. Canalis E (1995) Growth hormone, skeletal growth factors and osteoporosis. Endocr Pract 1:39–43

    PubMed  CAS  Google Scholar 

  26. Nicolas V, Prewett A, Bettica P (1994) Age-related decreases in insulin-like growth factor-I and transforming growth factor-beta in femoral cortical bone from both men and women: implications for bone loss with aging. J Clin Endocrinol Metab 78:1011–1016

    PubMed  Article  CAS  Google Scholar 

  27. Kveiborg M, Flyvbjerg A, Rattan SI, Kassem M (2000) Changes in the insulin-like growth factor system may contribute to in vitro age-related impaired osteoblast functions. Exp Gerontol 35:1061–1074

    PubMed  Article  CAS  Google Scholar 

  28. Jergesen HE, Chua J, Kao RT, Kaban LB (1991) Age effects on bone induction by demineralized bone powder. Clin Orthop 268:253–259

    PubMed  Google Scholar 

  29. Lane JM, Yasko AW, Tomin E, Cole BJ, Waller S, Browne M, Turek T, Gross J (1999) Bone marrow and recombinant human bone morphogenetic protein-2 in osseous repair. Clin Orthop 361:216–227

    PubMed  Google Scholar 

  30. Yasko AW, Lane JM, Fellinger EJ, Rosen V, Wozney JM, Wang EA (1992) The healing of segmental bone defects, induced by recombinant human bone morphogenetic protein (rhBMP-2). A radiographic, histological, and biomechanical study in rats. J Bone Joint Surg Am 74:659–670

    PubMed  CAS  Google Scholar 

  31. Cheng SL, Lou J, Wright NM, Lai CF, Avioli LV, Riew KD (2001) In vitro and in vivo induction of bone formation using a recombinant adenoviral vector carrying the human BMP-2 gene. Calcif Tissue Int 68:87–94

    PubMed  CAS  Google Scholar 

  32. Beresford JN, Bennett JH, Devlin C (1992) Evidence for an inverse relationship between the differentiation of adipocytic and osteogenic cells in rat marrow stromal cell cultures. J Cell Sci 102:341–351

    PubMed  CAS  Google Scholar 

  33. Bloomfield SA, Hogan HA, Delp MD (2002) Decreases in bone blood flow and bone material properties in aging Fischer-344 rats. Clin Orthop 396:248–257

    PubMed  Google Scholar 

  34. Egrise D, Vienne A, Martin D (1999) Age-related inhibitory activity of rat bone marrow supernatant on osteoblast proliferation. J Bone Miner Res 14:2099–2106

    PubMed  CAS  Google Scholar 

  35. Noshi T, Yoshikawa T, Ikeuchi M, Dohi Y, Ohgushi H, Horiuchi K, Sugimura M, Ichijima K, Yonemasu K (2000) Enhancement of the in vivo osteogenic potential of marrow/hydroxyapatite composites by bovine bone morphogenetic protein. J Biomed Mater Res 52:621–630

    PubMed  Article  CAS  Google Scholar 

  36. Lou J, Xu F, Merkel K, Manske P (1999) Gene therapy: adenovirus-mediated human bone morphogenetic protein-2 gene transfer induces mesenchymal progenitor cell proliferation and differentiation in vitro and bone formation in vivo. J Orthop Res 17:43–50

    PubMed  Article  CAS  Google Scholar 

  37. Lu JX, Gallur A, Flautre B, Anselme K (1998) Comparative study of tissue reactions to calcium phosphate ceramics among cancellous, cortical, and medullar bone sites in rabbits. J Biomed Mater Res 42:357–367

    PubMed  Article  CAS  Google Scholar 

  38. Werntz JR, Lane JM, Burstein AH, Justin R, Klein R, Tomin E (1996) Qualitative and quantitative analysis of orthotopic bone regeneration by marrow. J Orthop Res 14:85–93

    PubMed  Article  CAS  Google Scholar 

  39. Yazaki Y, Matsunaga S, Onishi T (1998) Immunohistochemical localization of bone morphogenetic proteins and the receptors in epiphyseal growth plate. Anticancer Res 18:2339–2344

    PubMed  CAS  Google Scholar 

  40. Turgeman G, Zilberman Y, Zhou S (2002) Systemically administered rhBMP-2 promotes MSC activity and reverses bone and cartilage loss in osteopenic mice. J Cell Biochem 86:461–474

    PubMed  Article  CAS  Google Scholar 

  41. Matsumoto A, Yamaji K, Kawanami M, Kato H (2001) Effect of aging on bone formation induced by recombinant human bone morphogenetic protein-2 combined with fibrous collagen membranes at subperiosteal sites. J Periodontal Res 36:175–182

    PubMed  Article  CAS  Google Scholar 

  42. Turgeman G, Pittman DD, Muller R (2001) Modified human mesenchymal stem cells: a novel platform for skeletal cell mediated gene therapy. J Gene Med 3:240–251

    PubMed  Article  CAS  Google Scholar 

  43. Baltzer AW, Whalen JD, Wooley P (2001) Gene therapy for osteoporosis: evaluation in a murine ovariectomy model. Gene Ther 8:1770–1776

    PubMed  Article  CAS  Google Scholar 

  44. Bolon B, Carter C, Daris M (2001) Adenoviral delivery of osteoprotegerin ameliorates bone resorption in a mouse ovariectomy model of osteoporosis. Mol Ther 3:197–205

    PubMed  Article  CAS  Google Scholar 

  45. Zhang XS, Linkhart TA, Chen ST (2004) Local ex vivo gene therapy with bone marrow stromal cells expressing human BMP4 promotes endosteal bone formation in mice. J Gene Med 6:4–15

    PubMed  CAS  Google Scholar 

Download references

Acknowledgment

This research was supported by grants from the Shanghai Science and Technology Development Foundation (01JC14028) and the Shanghai International Cooperation Foundation (014307021).

Author information

Affiliations

Authors

Corresponding author

Correspondence to T. T. Tang.

Rights and permissions

Reprints and Permissions

About this article

Cite this article

Yue, B., Lu, B., Dai, K.R. et al. BMP2Gene Therapy on the Repair of Bone Defects of Aged Rats. Calcif Tissue Int 77, 395–403 (2005). https://doi.org/10.1007/s00223-005-0180-y

Download citation

  • Received:

  • Accepted:

  • Published:

  • Issue Date:

  • DOI: https://doi.org/10.1007/s00223-005-0180-y

Keywords

  • Aging
  • BMP2
  • Mesenchymal stem cell
  • Gene therapy
  • Osteoporosis