Skip to main content

Calcitriol Improves Streptozotocin-induced Diabetes and Recovers Bone Mineral Density in Diabetic Rats

Abstract

Vitamin D analogs exert a preventative effect on experimental diabetes, but whether or not they are able to halt progress of established diabetes is not yet known. Moreover, it is widely accepted that diabetes may induce osteoporosis, but the efficacy of vitamin D on diabetic osteoporosis is not clear. In order to help clarify these issues, we have tested the efficacy of calcitriol streptozotocin-induced diabetes. Streptozotocin (60 mg/Kg body weight) was injected in 3-month-old Wistar rats, randomly distributed into two groups: vehicle (olive oil) treated diabetic rats (D) and diabetic rats treated with 1.25-(OH)2D3 250 mg, three times a week (DT). Control animals (C) were treated with vehicle alone. The experiment lasted 8 weeks. The histology of the pancreata was evaluated. Blood gluclose and calcium and phosphate in serum and urine were measured. Finally, bone mineral density (BMD) of tibia and lumbar vertebrae were evaluated. After 8 weeks, diabetes persisted in 85% of the diabetic rats (D group), but in only 45% of vitamin D-treated group (DT). At the end of the experiment, DT animals were separated into two groups, those still remaining diabetic (DT-NR) and reversed animals (DT-R). Moreover, bone loss was observed in diabetic animals (D), whereas BMD of DT-R rats showed similar values to those of controls (C). Our results suggest that 1.25(OH)2D3 improves diabetes and, as such, may recover BMD in streptozotocin-induced diabetic rats.

This is a preview of subscription content, access via your institution.

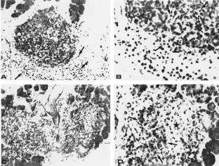
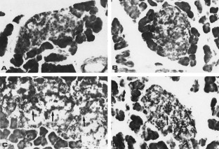
Figure 1
Figure 2
Figure 3
Figure 4

References

  1. J Auwerx J Dequerker R Bouillon et al. (1988) ArticleTitleMineral metabolism and bone mass at peripheral and axial skeleton in diabetes mellitus Diabetes 37 8–12 Occurrence Handle1:STN:280:BieD1cvgtFQ%3D Occurrence Handle3335279

    CAS  PubMed  Google Scholar 

  2. ME Levin VC Boisseau LV Avioli (1976) ArticleTitleEffects of diabetes mellitus on bone mass in juvenile and adult onset diabetes N Engl J Med 294 241–245 Occurrence Handle1:STN:280:CSmD2srmtFI%3D Occurrence Handle1244549

    CAS  PubMed  Google Scholar 

  3. J Del Pino-Montes MP Femández Salazar GE Benito et al. (1998) ArticleTitleEffect of 1.25-(OH)2 Vitamin D on bone mineral density of diabetic rat Bone 23 (Suppl 5) S643

    Google Scholar 

  4. T Katoh Y Maeda H Yamato et al. (1988) ArticleTitleEffect of 24R, 25-dihydroxyvitamin D3 in experimental diabetic rats J Int Med Res 16 IssueID4 300–304 Occurrence Handle1:CAS:528:DyaL1cXls1Chsbw%3D Occurrence Handle3262545

    CAS  PubMed  Google Scholar 

  5. J Verhaeghe AM Suiker R Bree ParticleVan et al. (1993) ArticleTitleIncreased clearance of 1.25(OH)2D3 and tissue-specific responsiveness to 1.25(OH)2D3 in diabetic rats Am J Physiol 265 IssueID2 Pt 1 E215–E223 Occurrence Handle1:CAS:528:DyaK2cXmtVyr Occurrence Handle8368291

    CAS  PubMed  Google Scholar 

  6. H Reichel HP Koefler AW Norman (1989) ArticleTitleThe role of the vitamin D endocrine system in health and disease N Engl J Med 320 980–991 Occurrence Handle1:CAS:528:DyaL1MXktFOktrk%3D Occurrence Handle2648151

    CAS  PubMed  Google Scholar 

  7. HL Henry (1981) ArticleTitle25-OH-D3 metabolism in kidney cell cultures: lack of a direct effect of estradiol Am J Physiol 20 E119–E124

    Google Scholar 

  8. TL Storm OH Sorensen B Lund et al. (1983) ArticleTitleVitamin D metabolism in insulin-dependent diabetes mellitus Metab Bone Dis Relat Res 5 107–110 Occurrence Handle10.1016/0221-8747(83)90010-3 Occurrence Handle6427548

    Article  PubMed  Google Scholar 

  9. J Verhaeghe E Herck Particlevan WJ Visser (1990) ArticleTitleBone and mineral metabolism in BB rats with long-term diabetes. Decreased bone turnover and osteoporosis. Diabetes 39 477–482 Occurrence Handle1:CAS:528:DyaK3cXitlegtrg%3D

    CAS  Google Scholar 

  10. BL Nyomba R Bouillon W Lissens et al. (1985) ArticleTitle1.25-Dihydroxyvitamin D and vitamin D-binding protein are both decreased in streptozotocin-diabetic rats Endocrinology 116 2483–2488 Occurrence Handle1:CAS:528:DyaL2MXktlKmsbg%3D Occurrence Handle3838933

    CAS  PubMed  Google Scholar 

  11. AW Norman BJ Frankel AM Heldt GM Grodsky (1980) ArticleTitleVitamin D deficiency inhibits pancreatic secretion of insulin Science 209 823–825 Occurrence Handle1:CAS:528:DyaL3cXlsVyls7g%3D Occurrence Handle6250216

    CAS  PubMed  Google Scholar 

  12. JM Quesada A Martin-Malo J Santiago et al. (1990) ArticleTitleEffect of calcitriol on insulin secretion in uraemia Nephrol Dial Transplant 5 1013–1017 Occurrence Handle1:STN:280:By6B287itFQ%3D Occurrence Handle2128950

    CAS  PubMed  Google Scholar 

  13. E Orwoll M Riddle M Prince (1994) ArticleTitleEffects of vitamin D on insulin and glucagon secretion in non-insulin-dependent diabetes mellitus Am J Clin Nutr 59 1083–1087 Occurrence Handle1:CAS:528:DyaK2cXltVOit70%3D Occurrence Handle8172095

    CAS  PubMed  Google Scholar 

  14. S Sandler K Buschard K Bendtzen (1994) ArticleTitleEffects of 1.25-dihydroxyvitamin D3 and the analogues MC903 and KH1060 on interleukin-1 beta-induced inhibition of rat pancreatic islet beta-cell function in vitro Immunol Lett 41 73–77 Occurrence Handle10.1016/0165-2478(94)90059-0 Occurrence Handle1:CAS:528:DyaK2cXmsVOjur0%3D Occurrence Handle7959906

    Article  CAS  PubMed  Google Scholar 

  15. JM Lemire DC Archer L Beck HL Spiegelberg (1995) ArticleTitleImmunosuppressive actions of 1.25-dihydroxyvitamin D3: preferential inhibition of Thl functions J Nutr 125 (Suppl) 1704S–1708S

    Google Scholar 

  16. C Mathieu J Laureys H Sobis et al. (1992) ArticleTitle1.25-dihydroxyvitamin D3 prevents insulitis in NOD mice Diabetes 41 1491–1495 Occurrence Handle1:CAS:528:DyaK38XmsVGgtrY%3D Occurrence Handle1397723

    CAS  PubMed  Google Scholar 

  17. K Casteels M Waer R Bouillon et al. (1998) ArticleTitle1.25-dihydroxyvitamin D3 restores sensitivity to cyclophosphamide-induced apoptosis in non-obese diabetic (NOD) mice and protects against diabetes Clin Exp Immunol 112 181–187 Occurrence Handle10.1046/j.1365-2249.1998.00568.x Occurrence Handle1:CAS:528:DyaK1cXkt1Kqtbs%3D Occurrence Handle9649179

    Article  CAS  PubMed  Google Scholar 

  18. M Inaba Y Nishizawa K Song et al. (1992) ArticleTitlePartial protection of 1a-hydroxyvitamin D, against the development of diabetes induced by multiple low dose streptozotocin injection in CD-1 mice Metabolism 41 630–635 Occurrence Handle10.1016/0026-0495(92)90055-F

    Article  Google Scholar 

  19. R Rasch (1979) ArticleTitlePrevention of diabetic glomerulopathy in streptozotocin diabetic rats by insulin treatment. Kidney size and glomerular volume Diabetologia 16 IssueID2 125–128 Occurrence Handle1:CAS:528:DyaE1MXhtleht7Y%3D Occurrence Handle759253

    CAS  PubMed  Google Scholar 

  20. C Mathieu K Casteels R Bouillon (1997) Vitamin D and diabetes Feldman Glorieux Pike (Eds) Vitamin D Academic Press. Chapter 70 . 1183

    Google Scholar 

  21. B Rodrigues MC Cam K Jian et al. (1997) ArticleTitleDifferential effects of streptozotocin-induced diabetes on cardiac lipoprotein lipase activity Diabetes 46 1346–1353 Occurrence Handle1:CAS:528:DyaK2sXltFCnsrs%3D Occurrence Handle9231661

    CAS  PubMed  Google Scholar 

  22. S Huang B Hultgren N Dybdal TA Stewart (1994) ArticleTitleIslet expression of interferon-alfa precedes diabetes in both the BB rat and streptozotocin-treated mice Immunity 6 469–478 Occurrence Handle10.1016/1074-7613(94)90089-2

    Article  Google Scholar 

  23. SM Cockfield V Ramassar J Urmson PF Halloran (1989) ArticleTitleMultiple lowdose streptozotocin induces systemic MHC expression in mice by triggering T cells to release IFN-? J Immunol 142 1120–1128 Occurrence Handle1:CAS:528:DyaL1MXhsFamt7s%3D Occurrence Handle2521659

    CAS  PubMed  Google Scholar 

  24. M Cippitelli A Santoni (1988) ArticleTitleVitamin D3: a transcriptional modulator of the interferon-? gene Eur J Immunol 28 3017–3030 Occurrence Handle10.1002/(SICI)1521-4141(199810)28:10<3017::AID-IMMU3017>3.3.CO;2-Y

    Article  Google Scholar 

  25. Y Uchigata H Tamamoto H Nagai H Okamoto (1983) ArticleTitleEffect of poly (ADP-ribose) synthetase inhibitor administration to rats before and after injection of alloxan and streptozotocin on islet proinsulin synthesis Diabetes 32 316–318 Occurrence Handle1:CAS:528:DyaL3sXlsleqsr4%3D Occurrence Handle6299867

    CAS  PubMed  Google Scholar 

  26. MJ Robbins AR Sharp AE Slonin IM Burr (1980) ArticleTitleProtection against streptozotocin-induced diabetes by superoxide dismutase Diabetologia 18 55–80 Occurrence Handle1:CAS:528:DyaL3cXht1Wrur4%3D Occurrence Handle6444904

    CAS  PubMed  Google Scholar 

  27. A Tsuji H Sakurai (1998) ArticleTitleGeneration of nitric oxide from streptozotocin (STZ) in the presence of copper(II) plus ascorbate: implication for the development of STZ-induced diabetes Biochem Biophys Res Commun 245 11–16 Occurrence Handle10.1006/bbrc.1998.8368 Occurrence Handle1:CAS:528:DyaK1cXisVWmu7k%3D Occurrence Handle9535774

    Article  CAS  PubMed  Google Scholar 

  28. A Verstuyf C Mathieu L Verlinden et al. (1995) ArticleTitleDifferentiation induction of human leukemia cells (HL60) by a combination of 1.25-dihydroxyvitamin D3 and retinoic acid (all trans or 9-cis) J Steroid Biochem Mol Biol 53 IssueID1–6 431–441 Occurrence Handle10.1016/0960-0760(95)00089-I Occurrence Handle1:CAS:528:DyaK2MXnt1Gntb4%3D Occurrence Handle7626492

    Article  CAS  PubMed  Google Scholar 

  29. C Heberden I Denis A Pointillart T Mercier (1998) ArticleTitleTGF-beta and calcitriol Gen Pharmacol 30 IssueID2 145–151 Occurrence Handle10.1016/S0306-3623(97)00271-1 Occurrence Handle1:CAS:528:DyaK2sXotVGitrc%3D Occurrence Handle9502167

    Article  CAS  PubMed  Google Scholar 

Download references

Acknowledgments

This study was partially supported by a grant from the Dirección General de Investigación Científica y Técnica (DGICYT), Spain (PB 94–1379)

Author information

Affiliations

Authors

Rights and permissions

Reprints and Permissions

About this article

Cite this article

del Pino-Montes, J., Benito, G.E., Fernández-Salazar, M.P. et al. Calcitriol Improves Streptozotocin-induced Diabetes and Recovers Bone Mineral Density in Diabetic Rats. Calcif Tissue Int 75, 526–532 (2004). https://doi.org/10.1007/s00223-004-0118-9

Download citation

  • Received:

  • Accepted:

  • Published:

  • Issue Date:

  • DOI: https://doi.org/10.1007/s00223-004-0118-9

Keywords

  • Calcitrol
  • Diabetes
  • Streptozotocin
  • Insulin