Abstract
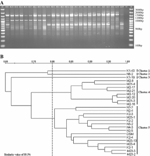
Comparative typing analysis of 25 Lactobacillus delbrueckii subsp. bulgaricus strains, isolated from traditional yoghurts in Turkey, was performed by RAPD–PCR (randomly amplified polymorphic DNA–PCR) and MLST (multilocus sequence typing). RAPD–PCR analyses were performed using two primers; M13 and 1254. Primer 1254 produced better results than primer M13. The bands produced by primer 1254 were brighter and easier to interpret, and a higher number of bands were produced. In addition, clusters produced by primer 1254 were grouped according to the source of isolation. MLST analysis was performed using three genes, β-gal, pheS and rpoA, and isolates were successfully characterized at strain level. To our knowledge, MLST analyses were used for the first time for strain level discrimination in L. delbrueckii subsp. bulgaricus. It enabled a detailed understanding of L. delbrueckii subsp. bulgaricus strains by using allele and sequence types’ analysis. Both MLST and RAPD allowed for the typing of clusters according to the isolation source, while RAPD provided an increased differentiation. However, by increasing the number of genes analyzed, the discriminatory power of MLST could be increased.





Similar content being viewed by others
Explore related subjects
Discover the latest articles and news from researchers in related subjects, suggested using machine learning.References
Encyclopædia Britannica http://www.britannica.com/EBchecked/topic/653449/yogurt (accessed on October 2010)
Hayaloglu AA, Karabulut I, Alpaslan M, Kelbaliyev G (2007) Mathematical modeling of drying characteristics of strained yogurt in a convective type tray-dryer. J Food Eng 78:109–117
Sandıkçı S (2006) Yoğurt üretiminde stabilizatör maddelerin kullanılması ve bu maddelerin yoğurdun organoleptik ve bazı fiziksel, mikrobiyolojik özellikleri üzerine etkileri [Use of stabilizing agents in the production of yoghurt and the effects of these agents on the organoleptic and some physical and microbiological properties of yoghurt]. Ph.D. thesis, İstanbul University, Turkey
Bölükbaşı B (2007) Trakya bölgesinde farklı köylerden alınan yogurtlardan laktik asit bakterilerinin izolasyonu, bunların EPS (ekzopolisakkarit) üretim kabiliyetlerinin belirlenmesi ve bu bakteriler kullanılarak ayran üretimine uygun kombinasyonlarının seçilmesi üzerine bir arastırma. [Isolation of lactic acid bacteria from yoghurts obtained from different villages in Trakya Region, examination of their exopolysaccharide (EPS) production abilities, and suitable combination of these bacteria for production of ayran]. Ph.D. thesis. Trakya University, Turkey
Bonczar G, Wszolek M, Siuta A (2002) The effects of certain factors on the properties of yoghurt made from ewe’s milk. Food Chem 79:85–91
Beshkova D, Simova E, Frengova G, Simov Z (1998) Production of flavour compounds by yogurt starter cultures. J Ind Microbiol Biotechnol 20:180–186
Marilley L, Casey MG (2004) Flavours of cheese products: metabolic pathways, analytical tools and identification of producing strains. Int J Food Microbiol 90:139–159
Giraffa G, Andrighetto C, Antonello C, Gatti M, Lazzi C, Marcazzan G, Lombardi A, Neviani E (2004) Genotypic and phenotypic diversity of Lactobacillus delbrueckii subsp lactis strains of dairy origin. Int J Food Microbiol 91:129–139
Callon C, Millet L, Montel M (2004) Diversity of lactic acid bacteria isolated from AOC Salers cheese. J Dairy Res 71:231–244
Coppola S, Fusco V, Andolfi R, Aponte M, Blaiotta G, Ercolini D, Moschetti G (2006) Evaluation of microbial diversity during the manufacture of Fior di Latte di Agerola, a traditional raw milk pasta-filata cheese of the Naples area. J Dairy Res 73:264–272
Rodas AM, Ferrer S, Pardo I (2005) Polyphasic study of wine Lactobacillus strains: taxonomic implications. Int J Syst Evol Microbiol 55:197–207
Rosetti L, Giraffa G (2005) Rapid identification of dairy lactic acid bacteria by M13-generated, RAPD-PCR fingerprint databases. J Microbiol Methods 63:135–144
Sengun IY, Nielsen DS, Karapinar M, Jakobsen M (2009) Identification of lactic acid bacteria isolated from Tarhana, a traditional Turkish fermented food. Int J Food Microbiol 135:105–111
Sedlacek I, Novakova D, Svec P (2010) Ribotyping and biotyping of Lactobacillus helveticus from the koumiss. Eur Food Res Technol 230:753–758
de las Rivas B, Marcobal A, Munoz R (2006) Development of a multilocus sequence typing method for analysis of Lactobacillus plantarum strains. Microbiology 152:85–93
Maiden MCJ, Bygraves JA, Feil E, Morelli G, Russell JE, Urwin R, Zhang Q, Zhou J, Zurth K, Caugant DA, Feavers IM, Achtman M, Spratt BG (1998) Multilocus sequence typing: a portable approach to the identification of clones within populations of pathogenic microorganisms. PNAS 95:3140–3145
Tanigawa K, Watanabe K (2010) Multilocus sequence typing reveals a novel subspeciation of Lactobacillus delbrueckii. Microbiology 157:727–738
Picozzi C, Bonacina G, Vigentini I, Foschino R (2010) Genetic diversity in Italian Lactobacillus sanfranciscensis strains assessed by multilocus sequence typing and pulsed-field gel electrophoresis analyses. Microbiology 156:2035–2045
Cai H, Rodriguez BT, Zhang W, Broadbent JR, Steele JL (2007) Genotypic and phenotypic characterization of Lactobacillus casei strains isolated from different ecological niches suggests frequent recombination and niche specificity. Microbiology 153:2655–2665
Sanchez I, Sesena S, Palop LL (2004) Polyphasic study of the genetic diversity of lactobacilli associated with ‘Almagro’ eggplants spontaneous fermentation, based on combined numerical analysis of randomly amplified polymorphic DNA and pulsed-field gel electrophoresis patterns. J Appl Microbiol 97:446–458
Corsetti A, De Angelis M, Dellaglio F, Paparella A, Fox PF, Settanni L, Gobbetti M (2003) Characterization of sourdough lactic acid bacteria based on genotypic and cell-wall protein analyses. J Appl Microbiol 94:641–654
Du Toit M, Dicks LMT, Holzapfel WH (2003) Identification of heterofermentative lactobacilli isolated from pig faeces by numerical analysis of total soluble cell protein patterns and RAPD-PCR. Lett Appl Microbiol 37:12–16
Holzapfel WH (2002) Appropriate starter culture technologies for small-scale fermentation in developing countries. Int J Food Microbiol 75:197–212
Cebeci A, Gürakan GC (2008) Molecular methods for identification of Lactobacillus delbrueckii subsp. bulgaricus and Streptococcus thermophilus using methionine biosynthesis and 16S rRNA genes. J Dairy Res 75:392–398
Delfederico L, Hollmann A, Martinez M, Iglesias NG, De Antoni G, Semorile L (2006) Molecular identification and typing of lactobacilli isolated from kefir grains. J Dairy Res 73:20–27
Aquilanti L, Zannini E, Zocchetti A, Osimani A, Clementi F (2007) Polyphasic characterization of indigenous lactobacilli and lactococci from PDO Canestrato Pugliese cheese. LWT—Food Sci Technol 40:1146–1155
Naser SM, Thompson FL, Hoste B, Gevers D, Dawyndt P, Vancanneyt M, Swings J (2005) Application of multilocus sequence analysis (MLSA) for rapid identification of Enterococcus species based on rpoA and pheS genes. Microbiology 151:2141–2150
Altschul SF, Madden TL, Schaffer AA, Zhang J, Zhang Z, Miller W, Lipman DJ (1997) Gapped BLAST and PSI-BLAST: a new generation of protein database search programs. Nucl Acids Res 25:3389–3402
Tamura K, Dudley J, Nei M, Kumar S (2007) MEGA4: molecular evolutionary genetics analysis (MEGA) software version 4.0. Mol Biol Evol 24:1596–1599
Jolley KA, Feil EJ, Chan MS, Maiden MC (2001) Sequence type analysis and recombinational tests (START). Bioinformatics 17:1230–1231
Korber B (2000) In: Rodrigo AG, Learn GH (eds) Computational analysis of HIV molecular sequences. Kluwer, Netherlands, pp 55–72
Huson DH, Bryant D (2006) Application of phylogenetic networks in evolutionary studies. Mol Biol Evol 23:254–267
Torriani S, Zapparoli G, Dellaglio F (1999) Use of PCR-based methods for rapid differentiation of Lactobacillus delbrueckii subsp. bulgaricus and L. delbrueckii subsp. lactis. Appl Environ Microbiol 65:4351–4356
Ilse S, Roel VD, Gino V, Luc D, Settanni L, Peter V, Geert H (2009) Polyphasic taxonomic characterization of Lactobacillus rossiae isolates from Belgian and Italian sourdoughs reveals intraspecific heterogeneity. Syst Appl Microbiol 32:151–156
De Bruyne K, Franz CMAP, Vancanneyt M, Schillinger U, Mozzi F, de Valdez GF, De Vuyst L, Vandamme P (2008) Pediococcus argentinicus sp nov from Argentinean fermented wheat flour and identification of Pediococcus species by pheS, rpoA and atpA sequence analysis. Int J Syst Evol Microbiol 58:2909–2916
Naser SM, Dawyndt P, Hoste B, Gevers D, Vandemeulebroecke K, Cleenwerck I, Vancanneyt M, Swings J (2007) Identification of lactobacilli by pheS and rpoA gene sequence analyses. Int J Syst Evol Microbiol 57:2777–2789
Lapierre L, Mollet B, Germond JE (2002) Regulation and adaptive evolution of lactose operon expression in Lactobacillus delbrueckii. J Bacteriol 184:928–935
Van De Guchte M, Penaud S, Grimaldi C, Barbe V, Bryson K, Nicolas P, Robert C, Oztas S, Mangenot S, Couloux A, Loux V, Dervyn R, Bossy R, Bolotin A, Batto J-M, Walunas T, Gibrat J-F, Bessieres P, Weissenbach J, Ehrlich SD, Maguin E (2006) The complete genome sequence of Lactobacillus bulgaricus reveals extensive and ongoing reductive evolution. PNAS 103:9274–9279
Acknowledgments
The authors would like to thank the Scientific Research Projects Fund of Middle East Technical University (ODTU-BAP) and DPT-YUUP for the partial financial support provided. Authors would also like to thank Ms. Neslihan Altay for isolation and phenotypical characterizations of strains from Turkish traditional yoghurts (unpublished results from her PhD thesis).
Author information
Authors and Affiliations
Corresponding author
Rights and permissions
About this article
Cite this article
Cebeci, A., Gürakan, G.C. Comparative typing of L. delbrueckii subsp. bulgaricus strains using multilocus sequence typing and RAPD–PCR. Eur Food Res Technol 233, 377–385 (2011). https://doi.org/10.1007/s00217-011-1526-5
Received:
Revised:
Accepted:
Published:
Issue Date:
DOI: https://doi.org/10.1007/s00217-011-1526-5


