Abstract
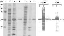
Hydroperoxide lyase (HPL) was extracted from amaranth tricolor leaves using Triton X-100, and purified to electrophoretic homogeneity by ammonium sulfate precipitation, ion-exchange chromatography, hydrophobic interaction chromatography and hydroxyapatite chromatography. The purified HPL preparation consisted of a single band and spot with a molecular mass of about 55 kDa as shown in SDS–PAGE and 2-D PAGE, respectively; the isoelectric point was found to be about 5.4. The maximum activity of the enzyme was observed at pH 6.0 and 25 °C, respectively. The HPL showed higher activity against 13-hydroperoxy-linolenic acid compared to 13-hydroperoxy-linoleic acid. K m value for 13-hydroperoxy-linolenic acid was 62.7 μM, and the corresponding V max was 178.5 μM min−1. The activity of HPL was significantly inhibited by nordihydroguaiaretic acid, HgCl2 and 2(E)-hexenal but not by EDTA and hexanal.





Similar content being viewed by others
Explore related subjects
Discover the latest articles and news from researchers in related subjects, suggested using machine learning.References
Noordermeer MA, Veldink GA, Vliegenthart JFG (2001) Chembiochem 2:494–504
Németh ÁŚ, Márczy JS, Samub Z, Ád Háger-Veress, Szajáni B (2004) Enzyme Microb Technol 34:667–672
Matsui K (2006) Curr Opin Plant Biol 9:274–280
Tressl R, Drawert F (1973) J Agric Food Chem 21(4):560–565
Vick BA, Zimmerman DC (1976) Plant Physiol 57:780–788
Matsui K, Toyota H, Kajiwara T, Kakuno T, Hatanaka A (1991) Phytochemistry 30:2109–2113
Shibata Y, Matsui K, Kajiwara T, Hatanaka A (1995) Plant Physiol 36:147–156
Fauconnier ML, Perez AG, Sanz C, Marlier M (1997) J Agric Food Chem 45:4232–4236
Hornostaj AR, Robinson DS (1999) Food Chem 66:173–180
Itoh A, Vick BA (1999) Biochim Biophys Acta 1436:531–540
Tijet N, Waspi U, Gaskin DJ, Hunziker P, Muller BL, Vulfson EN, Slusarenko A, Brash AR, Whiteheade IM (2000) Lipids 35:709–720
Mital G, Quartal A, Fasanol P, Paolisl AD, Sansebastiano GPD, Perrotta G, Iannacone R, Belfield E, Hughes R, Tsesmetzis N, Casey R, Santino A (2005) J Exp Bot 56(419):233–2321
Hughes RK, Belfield ER, Muthusamay M, Khan A, Rowe A, Harding SE, Fairhurst SA, Bornemann S, Ashton R, Thorneley RNF, Casey R (2006) Biochem J 395:641–652
Noordermeer MA, Veldink GA, Vliegenthart JFG (2001) FEBS lett 489:229–232
Grechkin AN, Hamberg M (2004) Biochim Biophys Acta 1636:47–58
Long Z, Kong XZ, Zhang CM, Hua YF (2010) J Sci Food Agric 90(5):729–734
Hill HD, Straka JG, Anal K (1988) Biochem 170:203–208
Vick BA (1991) Lipids 26:315–320
Laemmli UK (1970) Nature 227:680–685
Lineweaver H, Burk D (1934) J Am Chem Soc 56:658–666
Kim IS, Grosch W (1981) J Agric Food Chem 29:1220–1225
Hornostaj AR, Robinson DS (2000) Food Chem 71:241–247
Schreier P, Lorenz GZ (1982) Naturforsch 37:165–173
Gargouri M, Drouet P, Legoy MD (2004) J Biotechnol 111:59–65
Olias JM, Rios JJ, Valle M, Zamora R, Sanz LC, Axelrod BA (1991) J Agric Food Chem 38:624–630
Fernando T, Bean G (1984) Food Chem 15:233–237
Perez AG, Sanz C, Olias R, Olias JM (1999) J Agric Food Chem 47:249–253
Veldink GA, Vliegenthart JFG (1991) Stud Nat Prod Chem 9:559–589
Suurmeijer CNSP, Pérez-Gilabert M, van Unen DJ, van der Hijden HTWM, Veldink GA, Vliegenthart JFG (2000) Phytochemistry 53:177–185
Acknowledgments
We gratefully acknowledge the financial support received from National 863 Plans Project Foundation of P.R. China (2008AA10Z305 and 2008AA10Z312), National Natural Science Foundation of P.R. China (20876069) and Novozyme Research & Development Centre of P.R. China. The authors are also thankful for the support by the Fundamental Research Funds for the Central Universities (JUSRP10919).
Author information
Authors and Affiliations
Corresponding author
Rights and permissions
About this article
Cite this article
Long, Z., Kong, X., Zhang, C. et al. Purification and characterization of hydroperoxide lyase from amaranth tricolor (Amaranthus mangostanus L.) leaves. Eur Food Res Technol 231, 865–871 (2010). https://doi.org/10.1007/s00217-010-1337-0
Received:
Revised:
Accepted:
Published:
Issue Date:
DOI: https://doi.org/10.1007/s00217-010-1337-0


