Skip to main content

Protective impact of lycopene on ethinylestradiol-induced cholestasis in rats

Abstract

Protection against cholestasis and its consequences are considered an essential issue to improve the quality of a patient’s life and reduce the number of death every year from liver diseases. Lycopene, a natural carotenoid, has antioxidant scavenger capacity and inhibits inflammation in many experimental models. The present study aimed to elucidate the potential protective effects of lycopene, in comparison to silymarin, in a rat model of cholestatic liver. Animals were daily injected with 17α-ethinylestradiol (EE; 5 mg/kg) for 18 successive days. Silymarin (100 mg/kg) and lycopene (10 mg/kg) were orally administered once per day through the experimental period. Lycopene significantly decreased the EE-induced rise in the serum levels of total bile acid and total bilirubin as well as the activities of alanine aminotransaminase, aspartate aminotransaminase, alkaline phosphatase, and gamma-glutamyl transaminase. Moreover, lycopene reduced the hepatic levels of thiobarbituric acid reactive substances and tumor necrosis factor-α as well as the hepatic activity of myeloperoxidase that were markedly elevated by EE. Lycopene increased the hepatic levels of total protein and albumin and reduced glutathione. In addition, lycopene improved the hepatic histopathological changes induced by EE. These protective effects of lycopene were comparable to that of silymarin. In conclusion, lycopene was effective in protecting against estrogen-induced cholestatic liver injury through its antioxidant and anti-inflammatory activities. Therefore, lycopene might be a potentially effective drug for protection against cholestasis in susceptible women during pregnancy, administration of oral contraceptives, or postmenopausal replacement therapy.

This is a preview of subscription content, access via your institution.

Fig. 1
Fig. 2
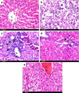
Fig. 3
Fig. 4
Fig. 5
Fig. 6
Fig. 7

References

  • Abdel-Rahman HG, Abdelrazek HMA, Zeidan DW, Mohamed RM, Abdelazim AM (2018). Lycopene: Hepatoprotective and antioxidant effects toward bisphenol A-induced toxicity in female Wistar rats. Oxidative Medicine and Cellular Longevity, 2018

  • Adikwu E, Bokolo B (2019) Lycopene restores liver function and morphology of ifosfamide-intoxicated rats. Archives of Medicine and Health Sciences 7(1):13

    Google Scholar 

  • Agarwal S, Rao AV (1998) Tomato lycopene and low density lipoprotein oxidation: a human dietary intervention study. Lipids 33(10):981–984

    CAS  PubMed  Google Scholar 

  • Ambade A, Mandrekar P (2012) Oxidative stress and inflammation: essential partners in alcoholic liver disease. International Journal of Hepatology 2012:1–9

    Google Scholar 

  • Anusha M, Venkateswarlu M, Prabhakaran V, Taj SS, Kumari BP, Ranganayakulu D (2011) Hepatoprotective activity of aqueous extract of Portulaca oleracea in combination with lycopene in rats. Indian Journal of Pharmacology 43(5):563–568

    CAS  PubMed  PubMed Central  Google Scholar 

  • Aydin S, Tokaç M, Taner G, Arikök AT, Dündar HZ, Özkardeş AB et al (2013) Antioxidant and antigenotoxic effects of lycopene in obstructive jaundice. J Surg Res 182(2):285–295

    CAS  PubMed  Google Scholar 

  • Beutler E, Duron O, Kelly BM (1963) Improved method for the determination of blood glutathione. J Lab Clin Med 61:882–888

    CAS  PubMed  Google Scholar 

  • Bignotto L, Rocha J, Sepodes B, Eduardo-Figueira M, Pinto R, Chaud M, de Carvalho J, Moreno H Jr, Mota-Filipe H (2009) Anti-inflammatory effect of lycopene on carrageenan-induced paw oedema and hepatic ischaemia-reperfusion in the rat. Br J Nutr 102(1):126–133

    CAS  PubMed  Google Scholar 

  • Biswas SK (2016) Does the interdependence between oxidative stress and inflammation explain the antioxidant paradox? Oxidative Med Cell Longev 2016:17–19

    Google Scholar 

  • Bradford MM (1979) A rapid and sensitive method for the quantitation of microgram quantities of protein utilizing the principle of protein-dye binding. Anal Biochem 72:248–254

    Google Scholar 

  • Briggs MH, Briggs M (1971) Effects of oral ethinylestradiol on serum proteins in normal women. Contraception 3(6):381–386

    CAS  Google Scholar 

  • Buege JA, Aust SD (1978) Microsomal lipid peroxidation. Methods Enzymol 52:302–310

    CAS  PubMed  PubMed Central  Google Scholar 

  • Crocenzi FA, Sánchez Pozzi EJ, Pellegrino JM, Favre CO, Rodríguez Garay EA, Mottino AD, Coleman R, Roma MG (2001) Beneficial effects of silymarin on estrogen-induced cholestasis in the rat: a study in vivo and in isolated hepatocyte couplets. Hepatology 34(2):329–339

    CAS  PubMed  Google Scholar 

  • Crocenzi FA, Sánchez Pozzi EJ, Pellegrino JM, Rodríguez Garay EA, Mottino AD, Roma MG (2003) Preventive effect of silymarin against taurolithocholate-induced cholestasis in the rat. Biochem Pharmacol 66(2):355–364

    CAS  PubMed  Google Scholar 

  • El-Ashmawy NE, Khedr NF, El-Bahrawy HA, Hamada OB (2018) Suppression of inducible nitric oxide synthase and tumor necrosis factor-alpha level by lycopene is comparable to methylprednisolone in acute pancreatitis. Dig Liver Dis 50(6):601–607

    CAS  PubMed  Google Scholar 

  • El-Sisi A, Hegazy S, El-Khateeb E (2013) Effects of three different fibrates on intrahepatic cholestasis experimentally induced in rats PPAR Research, 2013

  • Fakurazi S, Hairuszah I, Nanthini U (2008) Moringa oleifera Lam prevents acetaminophen induced liver injury through restoration of glutathione level. Food Chem Toxicol 46(8):2611–2615

    CAS  PubMed  Google Scholar 

  • Fuentes-Broto L, Martínez-Ballarín E, Miana-Mena J, Berzosa C, Piedrafita E, Cebrián I, Reiter RJ, García JJ (2009) Lipid and protein oxidation in hepatic homogenates and cell membranes exposed to bile acids. Free Radic Res 43(11):1080–1089

    CAS  PubMed  Google Scholar 

  • Gao B, Tsukamoto H (2016) Inflammation in alcoholic and nonalcoholic fatty liver disease: friend or foe? Gastroenterology 150(8):1704–1709

    PubMed  PubMed Central  Google Scholar 

  • Hau DKP, Wong RSM, Cheng GYM, Wong WY, Tong SW, Chan KW, Leung AKM, Zhu GY, Lai PBS, Lau FY, Chui CH, Gambari R, Fong DWF (2010) Novel use of silymarin as delayed therapy for acetaminophen-induced acute hepatic injury. Forschende Komplementarmedizin 17(4):209–213

    PubMed  Google Scholar 

  • Hazewindus M, Haenen GRMM, Weseler AR, Bast A (2012) The anti-inflammatory effect of lycopene complements the antioxidant action of ascorbic acid and a -tocopherol. Food Chem 132(2):954–958

    CAS  Google Scholar 

  • Hemieda F, Hassan H, Ibrahim E, Mashaly M (2017) Protective impact of lycopene on flutamide-induced hepatotoxicity in male rats. The Egyptian Journal of Experimental Biology (Botany) 2:1

    Google Scholar 

  • Hofmann AF (2002) Cholestatic liver disease: pathophysiology and therapeutic options. Liver 22:14–19

    CAS  PubMed  Google Scholar 

  • Hussein MA, Abdel-Gawad SM (2010) Protective effect of Jasonia montana against ethinylestradiol-induced cholestasis in rats. Saudi Pharmaceutical Journal 18(1):27–33

    PubMed  Google Scholar 

  • Jamshidzadeh A, Baghban M, Azarpira N, Bardbori AM, Niknahad H (2008) Effects of tomato extract on oxidative stress induced toxicity in different organs of rats. Food Chem Toxicol 46(12):3612–3615

    CAS  PubMed  Google Scholar 

  • Jansen PL, Muller MICHAEL, Sturm E (2001) Genes and cholestasis. Hepatology 34(6):1067–1074

    CAS  PubMed  Google Scholar 

  • Kamisako T, Ogawa H (2003) Regulation of biliary cholesterol secretion is associated with abcg5 and abcg8 expressions in the rats: effects of diosgenin and ethinyl estradiol. Hepatol Res 26(4):348–352

    CAS  PubMed  Google Scholar 

  • Kaneko, J. J., Harvey, J. W., & Bruss, M. L. (2008). Clinical biochemistry of domestic animals. Academic Press, 6th edition

  • Kullak-Ublick GA, Meier PJ (2000) Mechanisms of cholestasis. Clinics in Liver Disease 4(2):357–385

    CAS  PubMed  Google Scholar 

  • Li S, Tan HY, Wang N, Zhang ZJ, Lao L, Wong CW, Feng Y (2015). The role of oxidative stress and antioxidants in liver diseases

  • Lowe GM, Booth LA, Young AJ, Bilton RF (1999) Lycopene and β-carotene protect against oxidative damage in HT29 cells at low concentrations but rapidly lose this capacity at higher doses. Free Radic Res 30(2):141–151

    CAS  PubMed  PubMed Central  Google Scholar 

  • Miller LL, Bly CG, Watson ML, Bale W (1951) The dominant role of the liver in plasma protein synthesis: a direct study of the isolated perfused rat liver with the aid of lysine-ϵ-C14. J Exp Med 94(5):431–453

    CAS  PubMed  PubMed Central  Google Scholar 

  • Miller N, Sampson J, Candeias L, Bramley P, Rice-Evans C (1996) Antioxidant activities of carotenes and xanthophylles. FEBS Lett 384:240–242

    CAS  Google Scholar 

  • Moreira EAM, Fagundes RLM, Wilhelm D, Neves D (2005) Effects of diet energy level and tomato powder consumption on antioxidant status in rats. Clin Nutr 24(6):1038–1046

    CAS  PubMed  Google Scholar 

  • Ozsoy M, Ozsoy Y, Coskun T, Naml K, Var A, Özyurt B (2011) The effects of l-arginine on liver damage in experimental acute cholestasis an immunohistochemical study. HPB Surg 2011:1–6

    Google Scholar 

  • Petr T, Šmíd V, Kǔcerová V, Váňová K, Leníček M, Vítek L, Smid F, Muchová L (2014) The effect of heme oxygenase on ganglioside redistribution within hepatocytes in experimental estrogen-induced cholestasis. Physiol Res 63(3):359–367

    CAS  PubMed  Google Scholar 

  • Rao AV, Agarwal S (2000) Role of Antioxidant Lycopene in Cancer and Heart Disease. J Am Coll Nutr 19(5):563–569

  • Rodríguez-Garay EA (2003) Cholestasis : human disease and experimental animal models. Ann Hepatol 2(4):150–158

    PubMed  Google Scholar 

  • Roma MG, Crocenzi FA, Sánchez Pozzi EA (2008) Hepatocellular transport in acquired cholestasis: new insights into functional, regulatory and therapeutic aspects. Clin Sci 114(9):567–588

    CAS  Google Scholar 

  • Sahin K, Gencoglu H, Bilir B, Kucuk O (2018) Protective role of lycopene against oxidative stress in liver. The Liver, Elsevier Inc

    Google Scholar 

  • Said SA, El-Agamy DS (2009) Effects of curcumin, resveratrol and ursodeoxycholic acid on ethinylestradiol and chlorpromazine-induced intrahepatic cholestasis in rats. Pharmacologyonline 3(50):91–100

    Google Scholar 

  • Sheriff SA, Devaki T (2013) Lycopene stabilizes liver function during d -galactosamine/lipopolysaccharide induced hepatitis in rats. Journal of Taibah University for Science 7(1):8–16

    Google Scholar 

  • Shi J, Kakuda Y, Yeung D (2004) Antioxidative properties of lycopene and other carotenoids from tomatoes: synergistic effects. BioFactors 21(1–4):203–210

    CAS  PubMed  Google Scholar 

  • Sokol RJ, Straka MS, Dahl R, Devereaux MW, Yerushalmi B, Gumpricht E, Elkins N, Everson G (2001) Role of oxidant stress in the permeability transition induced in rat hepatic mitochondria by hydrophobic bile acids. Pediatr Res 49(4):519–531

    CAS  PubMed  Google Scholar 

  • Stahl W, Sies H (2005) Bioactivity and protective effects of natural carotenoids. Biochim Biophys Acta Mol basis Dis 1740(2):101–107

    CAS  Google Scholar 

  • Sureshkumar SV, Mishra S (2007) Hepatoprotective activity of extracts from Pergularia daemia Forsk. Against carbon tetrachloride-induced toxicity in rats. Pharmacognosy Magazine 3(11):187

    Google Scholar 

  • Tamayo, C., & Diamond, S. (2007). Review of clinical trials evaluating safety and efficacy of milk thistle (Silybum marianum [L.] Gaertn.). Integrative Cancer Therapies, 6(2), 146–157

  • Tokaç M, Aydin S, Taner G, Özkardeş AB, Yavuz Taşlipinar M, Doğan M, Başaran AN (2015) Hepatoprotective and antioxidant effects of lycopene in acute cholestasis. Turkish Journal of Medical Sciences 45(4):857–864

    PubMed  Google Scholar 

  • Vore M (1987) Estrogen cholestasis: membranes, metabolites, or receptors? Gastroenterology 93(3):643–649

    CAS  PubMed  Google Scholar 

  • Wang L, Huang QH, Li YX, Huang YF, Xie JH, Xu LQ, Dou YX, Su ZR, Zeng HF, Chen JN (2018) Protective effects of silymarin on triptolide-induced acute hepatotoxicity in rats. Mol Med Rep 17(1):789–800

    CAS  PubMed  Google Scholar 

Download references

Acknowledgments

The authors would like to thank Prof. Adel Bakear and Prof. Kawkab A. Ahmed (Pathology Department, Faculty of Veterinary Medicine, Cairo University, Cairo, Egypt) for his assistance in the histopathological examinations.

Author information

Affiliations

Authors

Contributions

HMS and WW conceived and designed research. AHM, MAM, and HAR conducted the experiments. AHM analyzed data. AHM and WW wrote the manuscript. All authors read and approved the manuscript and all data were generated in-house and that no paper mill was used.

Corresponding author

Correspondence to Walaa Wadie.

Ethics declarations

Conflict of interest

The authors declare that they have no conflict of interest.

Ethics approval

The investigation complies with the Guide for the Care and Use of Laboratory Animals published by the US National Institutes of Health (NIH Publication no. 85–23, revised 1996) and was approved by the Ethical Committee for Animal Experimentation at Faculty of Pharmacy, Cairo University (Permit Number: PT1775). This article does not contain any studies with human participants.

Additional information

Publisher’s note

Springer Nature remains neutral with regard to jurisdictional claims in published maps and institutional affiliations.

Rights and permissions

Reprints and Permissions

About this article

Verify currency and authenticity via CrossMark

Cite this article

Wadie, W., Mohamed, A.H., Masoud, M.A. et al. Protective impact of lycopene on ethinylestradiol-induced cholestasis in rats. Naunyn-Schmiedeberg's Arch Pharmacol 394, 447–455 (2021). https://doi.org/10.1007/s00210-020-01980-5

Download citation

  • Received:

  • Accepted:

  • Published:

  • Issue Date:

  • DOI: https://doi.org/10.1007/s00210-020-01980-5

Keywords

  • Cholestasis
  • Ethinylestradiol
  • Lycopene
  • Silymarin
  • Liver