Abstract
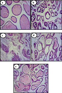
There is no standard treatment of chronic nonbacterial prostatitis in humans. The current study was aimed to investigate the effect of montelukast, an antagonist of cysteinyl leukotriene receptor-1, against estrogen-induced, nonbacterial lateral lobe-specific prostate inflammation in rats. Male Wistar rats were randomized into five groups of six rats, including sham controls (group 1) and castrated rats (group 2), whereas nonbacterial prostatitis (NBP) was induced in groups 3–5 by castration followed by a daily subcutaneous injection of estradiol (0.25 mg/kg body weight) for 30 days. The rats were left otherwise untreated (group 3) or received a daily oral administration of montelukast (1 and 10 mg/kg body weight for groups 4 and 5, respectively) from the 17th day after castration for two consecutive weeks. Compared with sham controls, induction of NBP led to a significant increase in serum leukotriene B4 (LTB4), tumor necrosis factor alpha (TNF-α), and interleukin 6 (IL-6) levels, along with a significant upregulation in the transcript level of proinflammatory molecules (nuclear factor kappa beta [NF-κβ] and inducible nitric oxide synthase [iNOS]), chemokines (monocyte chemoattractant protein-1 [MCP-1] and eotaxin), and E-selectin in the lateral prostate. Histological examination revealed intense inflammation in the prostate with leukocyte infiltration and acinar degeneration following estradiol treatment of castrated rats. Montelukast significantly suppressed the increase in serum and prostate proinflammatory mediators/chemokines expression and abolished the histologically inflammatory changes in the lateral prostate. These findings indicate that montelukast inhibits estradiol-induced NBP in a rat model through anti-inflammatory mechanisms, suggesting its future beneficial effect for the treatment of clinical chronic NBP.




References
Abdel-Raheem IT, Khedr NF (2014) Renoprotective effects of montelukast, a cysteinyl leukotriene receptor antagonist, against methotrexate-induced kidney damage in rats. N-S Arch Pharmacol 387:341–353
Chibana K, Ishii Y, Asakura T, Fukuda T (2003) Up-regulation of cysteinyl leukotriene 1 receptor by IL-13 enables human lung fibroblasts to respond to leukotriene C4 and produce eotaxin. J Immunol 170:4290–4295
Cowin PA, Foster P, Pedersen J, Hedwards S, McPherson SJ, Risbridger GP (2008) Early-onset endocrine disruptor-induced prostatitis in the rat. Environ Health Perspect 116:923–929
Deshmane SL, Kremlev S, Amini S, Sawaya BE (2009) Monocyte chemoattractant protein-1 (MCP-1): an overview. J Interf Cytokine Res 29:313–326
Ellem SJ, Wang H, Poutanen M, Risbridger GP (2009) Increased endogenous estrogen synthesis leads to the sequential induction of prostatic inflammation (prostatitis) and prostatic pre-malignancy. Am J Pathol 175:1187–1199
El-Sisi AE, Sokar SS, Salem TA, Abu Risha SE (2015) Role of cysteinyl leukotriene receptor-1 antagonists in treatment of experimentally induced mammary tumor: does montelukast modulate antitumor and immunosuppressant effects of doxorubicin? Toxicol Ind Health 31:1024–1036
Fogli S, Nieri P, Breschi MC (2004) The role of nitric oxide in anthracycline toxicity and prospects for pharmacologic prevention of cardiac damage. FASEB J 18:664–675
Harris MT, Feldberg RS, Lau KM, Lazarus NH, Cochrane DE (2000) Expression of proinflammatory genes during estrogen-induced inflammation of the rat prostate. Prostate 44:19–25
Hung CH, Li CY, Hua YM, Chen CJ, Yang KD, Jong YJ (2006) Effects of leukotriene receptor antagonists on monocyte chemotaxis, p38 and cytoplasmic calcium. Pediatr Allergy Immunol 17:250–258
Jose MA, Amathi R, Sathyamurthy D, Kumar BN (2013) Chemopreventive effect of montelukast in n-nitroso n-methyl urea induced mammary carcinogenesis in female Sprague-Dawley rats. Indian J Pharmacol 45:286–288
Kamijo T, Sato S, Kitamura T (2001) Effect of cernitin pollen-extract on experimental nonbacterial prostatitis in rats. Prostate 49:122–131
Khodir AE, Ghoneim HA, Rahim MA, Suddek GM (2016) Montelukast attenuates lipopolysaccharide-induced cardiac injury in rats. Hum Exp Toxicol 35:388–397
Kuru S, Kismet K, Barlas AM, Tuncal S, Celepli P, Surer H, Ogus E, Ertas E (2015) The effect of montelukast on liver damage in an experimental obstructive jaundice model. Viszeralmedizin 31:131–138
Livak KJ, Schmittgen TD (2001) Analysis of relative gene expression data using real-time quantitative PCR and the 2(−Delta Delta C(T)) method. Methods 25:402–408
Lundgren R, Holmquist B, Hesselvik M, Müntzing J (1984) Treatment of prostatitis in the rat. Prostate 5:277–284
Maeba S, Ichiyama T, Ueno Y, Makata H, Matsubara T, Furukawa S (2005) Effect of montelukast on nuclear factor kappa B activation and proinflammatory molecules. Ann Allergy Asthma Immunol 94:670–674
Male D, Brostoff J, Roth DB, Roitt I (2006) Introduction to the immune system. In: Immunology, 7th edn. Chapter 1. Canada, Mosby, Elsevier, p 15
Matsuyama M, Hayama T, Funao K, Kawahito Y, Sano H, Takemoto Y, Nakatani T, Yoshimura R (2007) Overexpression of cysteinyl LT1 receptor in prostate cancer and CysLT1R antagonist inhibits prostate cancer cell growth through apoptosis. Oncol Rep 18:99–104
Müntzing J, Sufrin G, Murphy GP (1979) Prostatitis in the rat. Scand J Urol Nephrol 13:17–22
Naslund MJ, Strandberg JD, Coffey DS (1988) The role of androgens and estrogens in the pathogenesis of experimental nonbacterial prostatitis. J Urol 140:1049–1053
National Research Council (2011) Guide for the care and use of laboratory animals, 8th edn. National Academies Press, Washington, DC
Nozaki M, Yoshikawa M, Ishitani K, Kobayashi H, Houkin K, Imai K, Ito Y, Muraki T (2010) Cysteinyl leukotriene receptor antagonists inhibit tumor metastasis by inhibiting capillary permeability. Keio J Med 59:10–18
Oka M, Ueda M, Oyama T, Kyotani J, Tanaka M (2009) Effect of the phytotherapeutic agent Eviprostat® on 17β-estradiol-induced nonbacterial inflammation in the rat prostate. Prostate 69:1404–1410
Penna G, Mondaini N, Amuchastegui S, Degli Innocenti S, Carini M, Giubilei G, Fibbi B, Colli E, Maggi M, Adorini L (2007) Seminal plasma cytokines and chemokines in prostate inflammation: interleukin 8 as a predictive biomarker in chronic prostatitis/chronic pelvic pain syndrome and benign prostatic hyperplasia. Eur Urol 51:524–533
Quick ML, Mukherjee S, Rudick CN, Done JD, Schaeffer AJ, Thumbikat P (2012) CCL2 and CCL3 are essential mediators of pelvic pain in experimental autoimmune prostatitis. Am J Physiol Regul Integr Comp Physiol 303:R580–R589
Robinette CL (1988) Sex-hormone-induced inflammation and fibromuscular proliferation in the rat lateral prostate. Prostate 12:271–286
Saad MA, Abdelsalam RM, Kenawy SA, Attia AS (2015) Montelukast, a cysteinyl leukotriene receptor-1 antagonist protects against hippocampal injury induced by transient global cerebral ischemia and reperfusion in rats. Neurochem Res 40:139–150
Theron AJ, Steel HC, Tintinger GR, Gravett CM, Anderson R, Feldman C (2014) Cysteinyl leukotriene receptor-1 antagonists as modulators of innate immune cell function. J Immunol Res 608930. doi:10.1155/2014/608930
Tintinger GR, Feldman C, Theron AJ, Anderson R (2010) Montelukast: more than a cysteinyl leukotriene receptor antagonist? Scientific World J 10:2403–2413
Vykhovanets EV, Resnick MI, MacLennan GT, Gupta S (2007) Experimental rodent models of prostatitis: limitations and potential. Prostate Cancer Prostatic Dis 10:15–29
Wan D, Zhang X, Liu X, Li G (2013) Protection of montelukast on OVA-induced eosinophilic gastroenteritis via modulating IL-5, eotaxin-1 and MBP expression. Immunopharmacol Immunotoxicol 35:625–626
Wu S, Zhu X, Jin Z, Tong X, Zhu L, Hong X, Zhu X, Liu P, Shen W (2015) The protective role of montelukast against intestinal ischemia-reperfusion injury in rats. Sci Rep 5:15787. doi:10.1038/srep15787
Yoon BI, Bae WJ, Kim SJ, Kim HS, Ha US, Sohn DW, Hwang SY, Kim SW (2013) The anti-inflammatory effects of a new herbal formula (WSY-1075) in a nonbacterial prostatitis rat model. World J Mens Health 31:150–156
Author information
Authors and Affiliations
Corresponding author
Ethics declarations
The animals were maintained in accordance with the Guide for the Care and Use of Laboratory Animals (National Research Council 2011), and all animal experiments were performed under protocols approved by the Local Institutional Animal Ethics Committee at Ain Shams University.
Conflict of interest
The authors declare that they have no conflicts of interest.
Rights and permissions
About this article
Cite this article
Said, M.M., Bosland, M.C. The anti-inflammatory effect of montelukast, a cysteinyl leukotriene receptor-1 antagonist, against estradiol-induced nonbacterial inflammation in the rat prostate. Naunyn-Schmiedeberg's Arch Pharmacol 390, 197–205 (2017). https://doi.org/10.1007/s00210-016-1325-4
Received:
Accepted:
Published:
Issue Date:
DOI: https://doi.org/10.1007/s00210-016-1325-4