Abstract
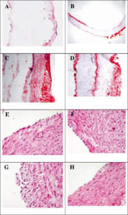
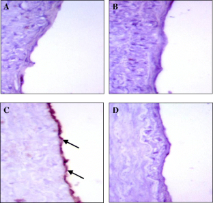
The aim of this work was to investigate the effect of sitagliptin on lipid profile and endothelium function in rabbits. Rabbits were fed either normal chow or atherogenic diet for 10 weeks. Sitagliptin (6 mg/kg/twice daily) was given orally for 6 weeks starting from week 4. Blood samples were collected at day 0, week 4, and week 10 to measure serum lipid profile, nitrate/nitrite (NOx), lactate dehydrogenase (LDH), and malondialdehyde (MDA) levels. The aortic arch and thoracic aorta were excised and used for histological study and isolated vascular preparations, respectively. Sitagliptin treatment significantly reduced the levels of low density lipoprotein cholesterol, NOx, total cholesterol, and MDA, but not triglyceridess. Additionally, sitagliptin markedly reversed the decrease in high-density lipoprotein cholesterol level. Moreover, sitagliptin significantly improved the impaired endothelium-dependent relaxation, without affecting phenylepherine-induced contraction and sodium nitroprusside-induced endothelium-independent relaxation in isolated aortic rings. Histopathological examination revealed marked reduction of the atherosclerotic lesions by sitagliptin. Immunohistochemical analysis of nuclear factor-kappa B in aortic tissue showed marked reduction in its expression upon treatment with sitagliptin compared with atherogenic diet-fed rabbits. These results suggest that sitagliptin may be an effective pharmacological approach for preventing atherosclerotic lesion progression in rabbits.





References
Amori RE, Lau J, Pittas AG (2007) Efficacy and safety of incretin therapy in type 2 diabetes: systematic review and meta-analysis. JAMA 298:194–206
D’Angio CT, Finkelstein JN (2000) Oxygen regulation of gene expression: a study in opposites. Mol Genet Metab 71:371–380
Baggio LL, Huang Q, Brown TJ, Drucker DJ (2004) Oxyntomodulin and glucagon-like peptide-1 differentially regulate murine food intake and energy expenditure. Gastroenterology 127:546–558
Ban K, Noyan-Ashraf MH, Hoefer J, Bolz SS, Drucker DJ, Husain M (2008) Cardioprotective and vasodilatory actions of glucagon-like peptide 1 receptor are mediated through both glucagon-like peptide 1 receptor-dependent and -independent pathways. Circulation 117:2340–2350
Basu A, Charkoudian N, Schrage W, Rizza RA, Basu R, Joyner MJ (2007) Beneficial effects of GLP-1 on endothelial function in humans: dampening by glyburide but not by glimepiride. Am J Physiol Endocrionol Metab 293:E1289–E1295
Blair A, Shaul PW, Yuhanna IS, Conrad PA, Smart EJ (1999) Oxidized low density lipoprotein displaces endothelial nitric-oxide synthase (eNOS) from plasmalemmal caveolae and impairs eNOS activation. J Biol Chem 274:32512–32519
Bonetti PO, Lerman LO, Lerman A (2003) Endothelial dysfunction: a marker of atherosclerotic risk. Arterioscler Thromb Vasc Biol 23:168–175
Collins T, Read MA, Neish AS, Whitley MZ, Thanos D, Maniatis T (1995) Transcriptional regulation of endothelial cell adhesion molecules: NF–κB and cytokine-inducible enhancers. FASEB J 9:899–909
Ding L, Zhang J (2012) Glucagon-like peptide-1 activates endothelial nitric oxide synthase in human umbilical vein endothelial cells. Acta Pharmacol Sin 33:75–81
Esterbauer H, Schaur RJ, Zollner H (1991) Chemistry and biochemistry of 4-hydroxynonenal, malondialdehyde and related aldehydes. Free Radical Biol Med 11:81–128
Farr S, Adeli K (2012) Incretin-based therapies for treatment of postprandial dyslipidemia in insulin-resistant states. Curr Opin Lipidol 23:56–61
Ferlito S, Gallina M, Catassi S, Bisicchia A, Di Salvo MM (1999) Nitrite plasma levels in normolipemic and hypercholesterolemic patients with peripheral occlusive arteriopathy. Panminerva Med 41:307–309
Ferreira L, Teixeira-de-Lemos E, Pinto F, Parada B, Mega C, Vala H, Pinto R, Garrido P, Sereno J, Fernandes R, Santos P, Velada I, Melo A, Nunes S, Teixeira F, Reis F (2010) Effects of sitagliptin treatment on dysmetabolism, inflammation, and oxidative stress in an animal model of type 2 diabetes (ZDF rat). Mediators Inflamm Epub 2010 Jun 21
Friedewald WT, Levy RI, Fredrickson DS (1972) Estimation of the concentration of low-density lipoprotein cholesterol in plasma without use of the preparative ultracentrifugation. Clin Chem 18:499–500
Guesdon JL, Ternynck T, Avrameas S (1979) The use of avidin biotin interaction in immunoenzymatic techniques. J Histochem Cytochem 27:1131–1139
Gupta S, Hussain T, MacLennan GT, Fu P, Patel J, Mukhtar H (2003) Differential expression of S100A2 and S100A4 during progression of human prostate adenocarcinoma. J Clin Oncol 21:106–112
Hansson G, Geng YJ, Holm J, Hardhammar P, Wennmalm A, Jennische E (1994) Arterial smooth muscle cells express nitric oxide synthase in response to endothelial injury. J Exp Med 180:737–738
Hansotia T, Maida A, Flock G, Yamada Y, Tsukiyama K, Seino Y, Drucker DJ (2007) Extrapancreatic incretin receptors modulate glucose homeostasis, body weight, and energy expenditure. J Clin Invest 117:143–152
Hayashi T, Sumi D, Juliet PAR, Matsui-Hirai H, Asi-Tanaka Y, Kano H, Fukatsu A, Tsunekawa T, Miyazaki A, Iguchi A, Ignarro LJ (2004) Gene transfer of endothelial NO synthase, but not eNOS plus inducible NOS, regressed atherosclerosis in rabbits. Cardiovasc Res 61:339–351
Hecker M, Cattaruzza M, Wagner AH (1999) Regulation of inducible nitric oxide synthase gene expression in vascular smooth muscle cells. Gen Pharmacol 32:9–16
Iakoubov R, Izzo A, Yeung A, Whiteside CI, Brubaker PL (2007) Protein kinase Czeta is required for oleic acid-induced secretion of glucagon-like peptide-1 by intestinal endocrine L cells. Endocrinol 148:1089–1098
Jackson EK, Mi Z (2008) Sitagliptin augments sympathetic enhancement of the renovascular effects of angiotensin II in genetic hypertension. Hyperten 51:1637–1642
Jerez S, Sierra L, Coviello A, de Bruno MP (2008) Endothelial dysfunction and improvement of the angiotensin II-reactivity in hypercholesterolemic rabbits: role of cyclooxygenase metabolites. Eur J Pharmacol 580:182–189
Jovanovic P, Zoric L, Stefanovic I, Dzunic B, Djordjevic-Jocic J, Radenkovic M, Jovanovic M (2010) Lactate dehydrogenase and oxidative stress activity in primary open-angle glaucoma aqueous humour. Bosn J Basic Med Sci 10:83–88
Jung HH, Choi DH, Lee SH (2004) Serum malondialdehyde and coronary artery disease in hemodialysis patients. Am J Nephrol 24:537–542
Kanazawa K, Kawashima S, Mikami S, Miwa Y, Hirata K, Suematsu M, Hayashi Y, Itoh H, Yokoyama M (1996) Endothelial constitutive nitric oxide synthase protein and mRNA increased in rabbit atherosclerotic aorta despite impaired endothelium-dependent vascular relaxation. Am J Pathol 148:1949–1956
Khan N, Syed DN, Pal HC, Mukhtar H, Afaq F (2012) Pomegranate fruit extract inhibits UVB-induced inflammation and proliferation by modulating NF–κB and MAPK signaling pathways in mouse skin. Photochem Photobiol 88:1126–1134
Kibbe M, Billiar T, Tzeng E (1999) Inducible nitric oxide synthase and vascular injury. Cardiovasc Res 43:650–657
Kim SJ, Nian C, McIntosh CH (2007) Activation of lipoprotein lipase by glucose-dependent insulinotropic polypeptide in adipocytes. A role for a protein kinase B, LKB1, and AMP-activated protein kinase cascade. J Biol Chem 282:8557–8567
Knapper JM, Puddicombe SM, Morgan LM, Fletcher JM (1995) Investigations into the actions of glucose-dependent insulinotropic polypeptide and glucagon-like peptide-1(7–36) amide on lipoprotein lipase activity in explants of rat adipose tissue. J Nutr 125:183–188
Kupatt C, Weber C, Wolf A, Becker BF, Smith TW, Kelly RA (1997) Nitric oxide attenuates reoxygenation-induced ICAM-1 expression in coronary microvascular endothelium: role of NF–kappa B. J Mol Cell Cardiol 29:2599–2609
Kutuk O, Basaga H (2003) Inflammation meets oxidation: NF–κB as a mediator of initial lesion development in atherosclerosis. Trends Mol Med 9:549–557
Li R, Wang WQ, Zhang H, Yang X, Fan Q, Christopher TA, Lopez BL, Tao L, Goldstein BJ, Gao F, Ma XL (2007) Adiponectin improves endothelial function in hyperlipidemic rats by reducing oxidative/nitrative stress and differential regulation of eNOS/iNOS activity. Am J Physiol Endocrinol Metab 293:E1703–E1708
Luscher TF (1990) Imbalance of endothelium-derived relaxing and constricting factors: a new concept in hypertension? Am J Hypertens 3:317–330
Mannucci E, Rotella CM (2008) Future perspectives on glucagon-like peptide-1, diabetes and cardiovascular risk. Nutr Metab Cardiovasc Dis 18:639–645
Mason RP, Jacob RF, Kubant R, Walter MF, Bellamine A, Jacoby A, Mizuno Y, Malinski T (2011) Effect of enhanced glycemic control with saxagliptin on endothelial nitric oxide release and CD40 levels in obese rats. J Atheroscler Thromb 18:774–783
Meier JJ, Gethmann A, Götze O, Gallwitz B, Holst JJ, Schmidt WE, Nauck MA (2006) Glucagon-like peptide 1 abolishes the postprandial rise in triglyceride concentrations and lowers levels of non-esterified fatty acids in humans. Diabetologia 49:452–458
Mest HJ, Mentlein R (2005) Dipeptidyl peptidase inhibitors as new drugs for the treatment of type 2 diabetes. Diabetologia 48:616–620
Miyawaki K, Yamada Y, Ban N (2002) Inhibition of gastric inhibitory polypeptide signaling prevents obesity. Nat Med 8:738–742
Monami M, Iacomelli I, Marchionni N, Mannucci E (2010) Dipeptydil peptidase-4 inhibitors in type 2 diabetes: a metaanalysis of randomized clinical trials. Nutr Metab Cardiovasc Dis 20:224–235
Moroe H, Honda H (2006) Comparison of endothelial function in the carotid artery between normal and short-term hypercholesterolemic rabbits. Comp Biochem Physiol C Toxicol Pharmacol 144:197–203
Nader MA, El-Agamy DS, Suddek GM (2010) Protective effects of propolis and thymoquinone on development of atherosclerosis in cholesterol-fed rabbits. Arch Pharm Res 33:637–643
Nader MA (2011) Inhibition of anaphylaxis like reaction and mast cell activation by sitagliptin. Int Immunopharmacol 11:1052–1056
Nader MA, El-Awady MS, Shalaby AA, El-Agamy DS (2012) Sitagliptin exerts anti-inflammatory and anti-allergic effects in ovalbumin-induced murine model of allergic airway disease. Naunyn Schmiedebergs Arch Pharmacol 385:909–919
Nematbakhsh M, Hayat-Davoodi P, Rajabi P, Samarian SH (2002) The effect of sterogen on endothelial permeability of aorta and the level of serum nitrite concentration in cholesterol-fed ovariectomized rabbit. Iran Biomed J 6:77–82
Oeseburg H, de Boer RA, Buikema H, van der Harst P, van Gilst WH, Silljé HH (2010) Glucagon-like peptide 1 prevents reactive oxygen species-induced endothelial cell senescence through the activation of protein kinase A. Arterioscler Thromb Vasc Biol 30:1407–1414
Ohara Y, Peterson TE, Harrison DG (1993) Hypercholesterolemia increases endothelial superoxide anion production. J Clin Invest 91:2546–2551
Pereira B, Lf CR, Safi DA, Medeiros MH, Curi R (1994) Superoxide dismutase, catalase, and glutathione peroxidase activities in muscle and lymphoid organs of sedentary and exercise-trained rats. Physiol Behav 56:1095–1099
Poredos P (2002) Endothelial dysfunction and cardiovascular disease. Pathophysiol Haemost Thromb 32:274–277
Qin X, Shen H, Liu M, Yang Q, Zheng S, Sabo M, D’Alessio DA, Tso P (2005) GLP-1 reduces intestinal lymph flow, triglyceride absorption, and apolipoprotein production in rats. Am J Physiol Gastrointest Liver Physiol 288:G943–G949
Rutherford C, Martin W, Carrier M, Anggard EE, Ferns GAA (1997) Endogenously elicited antibodies to platelet derived growth factor-BB and platelet cytosolic protein inhibit aortic lesion development in the cholesterol-fed rabbit. Int J Exp Path 78:21–32
Schachinger V, Zeiher AM (2002) Atherogenesis—recent insights into basic mechanisms and their clinical impact. Nephrol Dial Transplant 17:2055–2064
Sharrett AR, Ballantyne CM, Coady SA, Heiss G, Sorlie PD, Catellier D, Patsch W (2001) Coronary heart disease prediction from lipoprotein cholesterol levels, triglycerides, lipoprotein(a), apolipoproteins A-I and B, and HDL density subfractions: the Atherosclerosis Risk in Communities (ARIC) Study. Circulation 104:1108–1113
Shiraki A, Oyama JI, Komoda H, Asaka M, Komatsu A, Sakuma M, Kodama K, Sakamoto Y, Kotooka N, Hirase T, Node K (2012) The glucagon-like peptide 1 analog liraglutide reduces TNF-α-induced oxidative stress and inflammation in endothelial cells. Atherosclerosis. 221:375–382
Shukla S, MacLennan GT, Fu P, Patel J, Marengo SR, Resnick MI, Gupta S (2004) Nuclear factor-kappaB/p65 (Rel A) is constitutively activated in human prostate adenocarcinoma and correlates with disease progression. Neoplasia 6:390–400
Sivertsen J, Rosenmeier J, Holst JJ, Vilsbøll T (2012) The effect of glucagon-like peptide 1 on cardiovascular risk. Nat Rev Cardiol 9:209–222
Sorensen KS, Celermajer DS, Georgakopoulos D, Hatcher G, Betteridge DJ, Deanfield JE (1994) Impairment of endothelium-dependent dilation is an early event in children with familiar hypercholesterolemia and is related to the lipoprotein levels. J Clin Invest 93:50–55
Tang FT, Qian ZY, Liu PQ, Zheng SG, He SY, Bao LP, Huang HQ (2006) Crocetin improves endothelium-dependent relaxation of thoracic aorta in hypercholesterolemic rabbit by increasing eNOS activity. Biochem Pharmacol 72:558–565
Upmacis RK, Crabtree MJ, Deeb RS, Shen H, Lane PB, Benguigui LE, Maeda N, Hajjar DP, Gross SS (2007) Profound biopterin oxidation and protein tyrosine nitration in tissues of ApoE-null mice on an atherogenic diet: contribution of inducible nitric oxide synthase. Am J Physiol Heart Circ Physiol 293:H2878–H2887
Verbeuren TJ, Bonhomme E, Laubie M, Simonet S (1993) Evidence for induction of nonendothelial NO synthase in aortas of cholesterol fed rabbits. J Cardiovasc Pharmacol 2:841–845
Wasada T, McCorkle K, Harris V (1981) Effect of gastric inhibitory polypeptide on plasma levels of chylomicron triglycerides in dogs. J Clin Invest 68:1106–1107
Wilcox JN, Subramanian RR, Sundell CL, Tracey WR, Pollock JS, Harrison DG, Marsden PA (1997) Expression of multiple isoforms of nitric oxide synthase in normal and atherosclerotic vessels. Arterioscler Thromb Vasc Biol 17:2479–2488
Zulli A, Hare DL, Buxton BF, Black MJ (2004) High dietary methionine plus cholesterol exacerbates atherosclerosis formation in the left main coronary artery of rabbits. Atherosclerosis 176:83–89
Zulli A, Widdop RE, Hare DL, Buxton BF, Black MJ (2003) High methionine and cholesterol diet abolishes endothelial relaxation. Arterioscler Thromb Vasc Biol 23:1358–1363
Acknowledgment
The author acknowledges Dr. Asem A. Shalabe, Department of Pathology, Faculty of Medicine, Mansoura University, for providing assistance.
Conflict of interest
There is no conflict of interest.
Author information
Authors and Affiliations
Corresponding author
Rights and permissions
About this article
Cite this article
Nader, M.A. Sitagliptin ameliorates lipid profile changes and endothelium dysfunction induced by atherogenic diet in rabbits. Naunyn-Schmiedeberg's Arch Pharmacol 387, 433–444 (2014). https://doi.org/10.1007/s00210-014-0958-4
Received:
Accepted:
Published:
Issue Date:
DOI: https://doi.org/10.1007/s00210-014-0958-4