Skip to main content

Depression of glucose levels and partial restoration of pancreatic β-cell damage by melatonin in streptozotocin-induced diabetic rats

Abstract

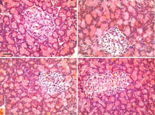
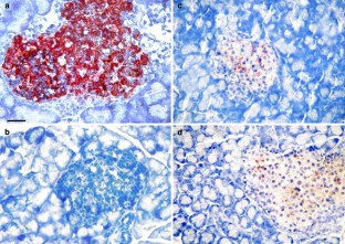
Diabetes mellitus is a common but serious metabolic disorder associated with many functional and structural complications. Glucose metabolism is disturbed due to an absolute or relative insulin deficiency. The experiment was carried out to determine the effect of melatonin on blood glucose and insulin concentrations, and histopathology of pancreatic β-cells in streptozotocin (STZ)-induced diabetic rats. The rats were randomly allocated into one of the four experimental groups: group A (control), group B (diabetic untreated), group C (diabetic treated with melatonin for 6 weeks) and group D (diabetic treated with melatonin for 8 weeks); each group contained ten animals. Diabetes was induced in B, C and D groups by a single intraperitoneal (i.p.) injection of STZ (50 mg/kg, freshly dissolved in 5 mmol/l citrate buffer, pH 4.5). The rats in melatonin-treated groups were subjected to the daily i.p injection of 10 mg kg−1 of melatonin for 6 or 8 weeks starting the day after STZ injection. Control and diabetic untreated rats were injected with the same volume of isotonic NaCl as the melatonin treated groups. Almost all insulin-positive β-cells were degranulated, degenerated or necrotic in the STZ-treated rats leading to decrease in insulin secretion and an increase in blood glucose concentration. Melatonin treatment caused a sharp decrease in the elevated serum glucose, a slight increase in the lowered serum insulin concentrations and small partial regeneration/proliferation of β-cells of islets. It is concluded that the hypoglycemic action of melatonin could be partly due to small amelioration in the β-cells of pancreatic islets causing a slight increase in insulin secretion, it is mostly due to the extrapancreatic actions of the melatonin.

This is a preview of subscription content, access via your institution.

Fig. 1
Fig. 2

References

  • Abdel-Wahab MH, Abdel-Allah AR (2000) Possible protective effect of melatonin and/or desferroxamine against streptozotocin-induced hyperglycemia in mice. Pharmacol Res 41:533–537

    PubMed  Article  CAS  Google Scholar 

  • Allegra M, Reiter RJ, Tan DX et al (2003) The chemistry of melatonin’s interaction with reactive species. J Pineal Res 34:1–10

    PubMed  Article  CAS  Google Scholar 

  • Andersson AK, Sandler S (2001) Melatonin protects against streptozotocin, but not interleukin-1b-induced damage of rodent pancreatic b-cells. J Pineal Res 30:157–165

    PubMed  Article  CAS  Google Scholar 

  • Anwar MM, Meki AR 2003 Oxidative stress in streptozotocin-induced diabetic rats: effects of garlic oil and melatonin. Part A Comp Biochem Physiol 135:539–547

    Google Scholar 

  • Baydas G, Reiter RJ, Yasar A et al (2003) Melatonin reduces glial reactivity in the hippocampus, cortex, and cerebellum of streptozotocin-induced diabetic rats. Free Radic Biol Med 35:797–804

    PubMed  Article  CAS  Google Scholar 

  • Baynes JW (1991) Role of oxidative stress in development of complications in diabetes. Diabetes 40:405–412

    PubMed  Article  CAS  Google Scholar 

  • Biessels GJ, Kapessa AC, Bravenboer B et al (1994) Cerebral function in diabetes mellitus. Diabetologia 37:643–650

    PubMed  Article  CAS  Google Scholar 

  • Bresnick (1986) Diabetic retinopathy viewed as a neurosensory disorder. Arch Ophthalmol 104:989–990

    PubMed  CAS  Google Scholar 

  • Burkart V, Wang ZQ, Radons J et al (1999) Mice lacking the poly(ADP-ribose) polymerase gene are resistant to pancreatic beta-cell destruction and diabetes development induced by streptozocin. Nat Med 5:314–319

    PubMed  Article  CAS  Google Scholar 

  • Csaba G, Barath P (1971) Are Langerhans’ islets influenced by the pineal body? Experientia 27:962

    PubMed  Article  CAS  Google Scholar 

  • Damasceno DC, Volpato GT, Paranhos-Calderon M, Cunha-Rudge MV (2002) Oxidative stress and diabetes in pregnant rats. Anim Reprod Sci 15:235–244

    Article  Google Scholar 

  • Gispen WH, Biessels GJ (2000) Cognition and synaptic plasticity in diabetes mellitus. Trends Neurosci 23:542–549

    PubMed  Article  CAS  Google Scholar 

  • Gorray KC, Quay WB (1978) Effects of pinealectomy and of sham-pinealectomy on blood glucose levels in the alloxan-diabetic rat. Horm Metab Res 10:389–392

    PubMed  CAS  Article  Google Scholar 

  • Gorray KC, Quay WB, Ewart RB (1979) Effects of pinealectomy and pineal incubation medium and sonicates on insulin release by isolated pancreatic islets in vitro. Horm Metab Res 11:432–436

    PubMed  CAS  Google Scholar 

  • Griesmacher A, Kindhauser M, Andert ES et al (1995) Enhanced serum levels of thiobarbituric acid reactive substances in diabetes mellitus. Am J Med 98:469–475

    PubMed  Article  CAS  Google Scholar 

  • Gul M, Laaksonen DE, Atalay M et al (2002) Effects of endurance training on tissue glutathione homeostasis and lipid peroxidation in streptozotocin-induced diabetic rats. Scand J Med Sci Sports 12:63–170

    Article  Google Scholar 

  • Hsu SM, Raine L, Fanger H (1981) Use of avidin-biotin-peroxidase complex (ABC) in immunperoxidase techniques: a comparison between ABC and unlabeled antibody (PAP) procedures. J Histochem Cytochem 29:577–580

    PubMed  CAS  Google Scholar 

  • Kanter M, Yoruk M, Koc A et al (2003) Effects of cadmium exposure on morphological aspects of pancreas, weights of fetus and placenta in streptozotocin-induced diabetic pregnant rats. Biol Trace Elem Res 93:189–200

    PubMed  Article  CAS  Google Scholar 

  • Kanter M, Coskun O, Korkmaz A, Oter S (2004) Effects of Nigella sativa on oxidative stress and beta cell damage in streptozotocin-induced diabetic rat. Anat Rec Part A 279:685–691

    Article  CAS  Google Scholar 

  • Lown JW, Mclaughlin LW, Chang Y (1978) Mechanisms of action of 2-haloethyl-nitrosureas on DNA and its relation to their antileukemic properties. Bioorg Chem 7:97–110

    Article  CAS  Google Scholar 

  • Maitra SK, Dey M, Dutta S et al (2000) Influences of graded dose of melatonin on the levels of blood glucose and adrenal catecholamines in male roseringed parakeets (Psittacula krameri) under different photoperiods. Arch Physiol Biochem 108:444–450

    PubMed  Article  CAS  Google Scholar 

  • Masutani M, Suzuki H, Kamada N et al (1999) Poly (ADP-ribose) polymerase gene disruption conferred mice resistant to streptozotocin-induced diabetes. Proc Natl Acad Sci USA 96:2301–2304

    PubMed  Article  CAS  Google Scholar 

  • Mccall AL (1992) The impact of diabetes on the CNS. Diabetes 41:557–570

    PubMed  Article  CAS  Google Scholar 

  • Merzouk H, Madani S, Chabane D et al (2000) Time course of changes in serum glucose, insulin, lipids and tissue lipase activities in macrosomic offspring of rats with streptozotocin-induced diabetes. Clin Sci 98:21–30

    PubMed  Article  CAS  Google Scholar 

  • Milcu SM, Milcu I, Nanu L (1963) La role de la glande penéale dans le metabolisme des glucides. Ann Endocrinol 24:233–254

    Google Scholar 

  • Milcu SM, Nanu-Ionesco L, Milcu I (1971) The effect of pinealectomy on plasma insulin in rats. In: Wolstenholme GEW, Night J (eds), Pineal gland, Churchill-Livingstone, Edinburgh, pp 345–357

  • Murata M, Takahashi A, Saito I et al (1999) Site-specific DNA methylation and apoptosis: induction by diabetogenic streptozotocin. Biochem Pharmacol 57:881–887

    PubMed  Article  CAS  Google Scholar 

  • Montilla P, Vardgas JF, Tunezz IF et al (1998) Oxidative stress in diabetic rats induced by streptozotocin: monoxide, NO stimulates insulin secretion by inducing calcium release from protective effects of melatonin. J Pineal Res 25:94–100

    PubMed  Article  CAS  Google Scholar 

  • Nishida, Segawa T, Murai I, Nakagawa S (2002) Longterm melatonin administration reduces hyperinsulinemia and improves the altered fatty-acid compositions in type 2 diabetic rats via the restoration of delta-5 desaturase activity. J Pineal Res 32:26–33

    PubMed  Article  CAS  Google Scholar 

  • Oberley LW (1988) Free radicals and diabetes. Free Radic Biol Med 5:113–124

    PubMed  Article  CAS  Google Scholar 

  • Okatani Y, Wakatsuki A, Morioka N, Watanabe K (1999) Melatonin inhibits the vasorelaxant action of peroxynitrite in human umbilical artery. J Pineal Res 27:111–115

    PubMed  Article  CAS  Google Scholar 

  • Paskaloglu K, Sener G, Ayanoglu-Dulger G (2004) Melatonin treatment protects against diabetes-induced functional and biochemical changes in rat aorta and corpus cavernosum. Eur Pharmacol 499:345–354

    Article  CAS  Google Scholar 

  • Peschke E, Faúteck JD, Mushoff U et al (2000) Evidence for a melatonin receptor within pancreatic islets in neonate rats: functional, autoradiographic, and molecular investigations. J Pineal Res 28:156–164

    PubMed  CAS  Article  Google Scholar 

  • Pieper AA, Brat DJ, Krug DK et al (1999) Poly(ADP-ribose) polymerase-deficient mice are protected from streptozotocin-induced diabetes. Proc Natl Acad Sci USA 96:3059–3064

    PubMed  Article  CAS  Google Scholar 

  • Rakieten NML, Nadkarni MV (1963) Studies on the diabetogenic action of streptozotocin (NSC-37917). Cancer Chemother Rep 29:91–98

    Google Scholar 

  • Reiter RJ, Poeggeler, Tan DX et al (1997a) Antioxidant capacity of melatonin: novel action not requiring receptor. Neuroendocrinol Lett 15:103–116

    Google Scholar 

  • Reiter RJ, Tang L, Garcia JJ et al (1997b) Pharmacological actions of melatonin in oxygen radical pathophysiology. Life Sci 60:2255–2271

    Article  CAS  Google Scholar 

  • Rodrigez C, Mayo JC, Sainz RM et al (2004) Regulation of antioxidant enzymes: a significant role for melatonin. J Pineal Res 36:1–9

    Article  Google Scholar 

  • Sandler S, Andersson A (1982) The partial protective effect of the hydroxyl radical scavenger dimethyl urea on streptozotocin-induced diabetes in the mouse in vivo and in vitro. Diabetologia 23:374–378

    PubMed  Article  CAS  Google Scholar 

  • Schein PS, Cooney DA, Vernon ML (1967) The use of nicotinamide to modify the toxicity of streptozotocin diabetes without loss of antitumor activity. Cancer Res 27:2324–2332

    PubMed  CAS  Google Scholar 

  • Shima T, Chun SJ, Nijima A et al (1997) Melatonin suppresses hyperglycemia caused by intracerebroventricular injection of 2-deoxy-d-glucose in rats. Neurosci Lett 226:119–122

    PubMed  Article  CAS  Google Scholar 

  • Stavic B (1994) Role of chemopreventers in human diet. Clin Biochem 27:319–332

    Article  Google Scholar 

  • Tan DX, Chen LD, Poeggeler B et al (1993) Melatonin: a potent, endogenous hydroxyl radical scavenger. Endocr J 1:57–60

    Google Scholar 

  • Tan DX, Manchester LC, Sainz RM et al (2003) Antioxidant strategies in protection agonist neurodegenerative disorders. Expert Opin Ther Patents 13:1513–1543

    Article  CAS  Google Scholar 

  • Tesoriere L, D’arpa D, Conti S et al (1999) Melatonin protects human red blood cells from oxidative hemolysis: new insights into the radical-scavenging activity. J Pineal Res 27:95–105

    PubMed  Article  CAS  Google Scholar 

  • Uchigata Y, Yamamoto H, Kawamura A et al (1982) Protection by superoxide dismutase, catalase, and poly(ADP-ribose) synthetase inhibitors against alloxan- and streptozotocin-induced islet DNA strand breaks and against the inhibition of proinsulin synthesis. J Biol Chem 257:6084–6088

    PubMed  CAS  Google Scholar 

  • Vural H, Sabuncu T, Arslan SO, Aksoy N (2001) Melatonin inhibits lipid peroxidation and stimulates the antioxidant status of diabetic rats. J Pineal Res 3:193–198

    Article  Google Scholar 

  • Yamamoto H, Uchigata Y, Okamoto H (1981) Streptozotocin and alloxan induce DNA strand breaks and poly(ADP-ribose) synthetase in pancreatic islets. Nature 294:284–286

    PubMed  Article  CAS  Google Scholar 

Download references

Author information

Affiliations

Authors

Corresponding author

Correspondence to Mehmet Kanter.

Rights and permissions

Reprints and Permissions

About this article

Cite this article

Kanter, M., Uysal, H., Karaca, T. et al. Depression of glucose levels and partial restoration of pancreatic β-cell damage by melatonin in streptozotocin-induced diabetic rats. Arch Toxicol 80, 362–369 (2006). https://doi.org/10.1007/s00204-005-0055-z

Download citation

  • Received:

  • Accepted:

  • Published:

  • Issue Date:

  • DOI: https://doi.org/10.1007/s00204-005-0055-z

Keywords

  • Pancreatic β-cells
  • Glucose
  • Insulin
  • Regeneration
  • Rats