Skip to main content

Proteomic analysis of drug-resistant Mycobacterium tuberculosis by one-dimensional gel electrophoresis and charge chromatography

Abstract

Multidrug-resistant tuberculosis (MDR-TB) is a form of TB caused by Mycobacterium tuberculosis (M. tuberculosis) that do not respond to, at least, isoniazid and rifampicin, the two most powerful, first-line (or standard) anti-TB drugs. Novel intervention strategies for eliminating this disease were based on finding proteins that can be used for designing new drugs or new and reliable kits for diagnosis. The aim of this study was to compare the protein profiles of MDR-TB with sensitive isolates. Proteomic analysis of M. tuberculosis MDR-TB and sensitive isolates was obtained with ion exchange chromatography coupled with MALDI-TOF–TOF (matrix-assisted laser desorption/ionization) in order to identify individual proteins that have different expression in MDR-TB to be used as a drug target or diagnostic marker for designing valuable TB vaccines or TB rapid tests. We identified eight proteins in MDR-TB isolates, and analyses showed that these proteins are absent in M. tuberculosis-sensitive isolates: (Rv2140c, Rv0009, Rv1932, Rv0251c, Rv2558, Rv1284, Rv3699 and MMP major membrane proteins). These data will provide valuable clues in further investigation for suitable TB rapid tests or drug targets against drug-resistant and sensitive M. tuberculosis isolates.

This is a preview of subscription content, access via your institution.

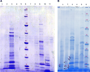
Fig. 1
Fig. 2

References

  • Bradford MM (1976) A rapid and sensitive for quantitation of microgram quantities of protein utilizing the principle of protein-dye binding. Anal Biochem 72:248–254

    CAS  Article  PubMed  Google Scholar 

  • Braibant M, Gilot P, Content J (2000) The ATP binding cassette (ABC) transport systems of Mycobacterium tuberculosis. FEMS Microbiol Rev 24:449–467

    CAS  Article  PubMed  Google Scholar 

  • Camacho LR, Ensergueix D, Perez E, Gicquel B, Guilhot C (1999) Identification of A virulence gene cluster of Mycobacterium tuberculosis by signature-tagged transposon mutagenesis. Mol Microbiol 34(2):257–267

    CAS  Article  PubMed  Google Scholar 

  • Cole ST, Brosch R, Parkhill J, Garnier T, Churcher C, Harris D, Gordon SV, Eiglmeier K, Gas S, Barry CE, Tekaia F, Badcock K, Basham D, Brown D, Chillingworth T, Connor R, Davies R, Devlin K (1998) Deciphering the biology of Mycobacterium tuberculosis from the complete genome sequence. Nature 393:537–544

    CAS  Article  PubMed  Google Scholar 

  • Covarrubias AS, Larsson AM, Högbom M, Lindberg J, Bergfors T, Björkelid C, Mowbray SL, Unge T, Jones TA (2005) Structure and function of carbonic anhydrases from Mycobacterium tuberculosis. J Biol Chem 280(19):18782–18789

    Article  Google Scholar 

  • Daffé M, Etienne G (1999) The capsule of Mycobacterium tuberculosis and its implications for pathogenicity. Tuber Lung Dis 3:153–169

    Article  Google Scholar 

  • Dunn MJ (1999) Detection of total proteins on western blot of 2-D polyacrylamide gels. Methods Mol Biol 112:319–329

    CAS  PubMed  Google Scholar 

  • Eichacker LA, Granvogl B, Mirus O, Muller BC, Miess CH, Schiff E (2004) Identifying behind hydrophobicity. J Biol Chem 279(49):50915–50922

    CAS  Article  PubMed  Google Scholar 

  • Fleischmann RD, Alland D, Eisen JA, Carpenter L, White O, Peterson JD, DeBoy RT, Dodson RJ, Gwinn ML, Haft DH, Hickey EK, Kolonay JF, Nelson WC, Umayam LA, Ermolaeva MD, Salzberg SL, Delcher A, Utterback TR, Fraser CM (2002) Whole-genome comparison of mycobacterium tuberculosis clinical laboratory strains. J Bacteriol 184:5479–5490

    CAS  Article  PubMed  PubMed Central  Google Scholar 

  • Gandhi NR, Shah NS, Andrews JR, Vella V, Moll AP, Scott M, Weissman D, Marra C, Lalloo UG, Friedland GH (2010) HIV coinfection in multidrug and extensively drug-resistant tuberculosis results in high early mortality. Am J Respir Crit Care Med 181:80–86

    Article  PubMed  Google Scholar 

  • Himmelhoch SR (1971) Ion-exchange chromatography. Methods Enzymol 22:273–290

    Article  Google Scholar 

  • Hopkins AL, Groom CR (2002) The druggable genome. Nat Rev Drug Discovery 1:727–730

    CAS  Article  PubMed  Google Scholar 

  • Jiang X, Zhang W, Gao F (2006) Comparison of the proteome of isoniazid-resistant and susceptible strains of Mycobacterium tuberculosis. Micro Drug Resist 12(4):231–238

    CAS  Article  Google Scholar 

  • Lee BY, Hefta SA, Brennan PJ (1992) Characterization of the major membrane protein of virulent Mycobacterium tuberculosis. Infect Immune 60(5):2066–2074

    CAS  Google Scholar 

  • Luetkemeyer AF, Getahun H, Chamie G, Lienhardt CH, Diane VH (2011) Tuberculosis drug development ensuring people living with HIV are not left behind. Am J Respir Crit Care Med 184:1107–1113

    CAS  Article  PubMed  PubMed Central  Google Scholar 

  • Malen H, Pathak S, Softeland T, de Souza GA, Wiker HG (2010) Definition of novel cell envelope associated proteins in Triton X-114 extracts of Mycobacterium tuberculosis H37Rv. BMC Microbiol 10:132

    Article  PubMed  PubMed Central  Google Scholar 

  • Malen H, De Souza GA, Sharad P, Tina S, Harald GW (2011) Comparison of membrane proteins of Mycobacterium tuberculosis H37Rv and H37Ra strains. BMC Microbiol 11:18

    Article  PubMed  PubMed Central  Google Scholar 

  • Miller LP, Crawford JT, Shinnick TM, (1994) The rpoB gene of Mycobacterium tuberculosis. Antimicrob Agents Chemother 38(4):805–811

    CAS  Article  PubMed  PubMed Central  Google Scholar 

  • Moloy MP (2000) Two-dimensional electrophoresis of membrane proteins using immobilized PH gradients. Anal Biochem 280:1–10

    Article  Google Scholar 

  • Moloy MP, Herbert BR, Walsh BJ (1998) Extraction of membrane proteins by differential solubilization for separation using two-dimensional gel electrophoresis. Electrophoresis 19:837–844

    Article  Google Scholar 

  • Neelja S, Sharma P, Bhavensh K (2010) Proteomic analysis of streptomycin resistant and sensitive clinical isolates of Mycobacterium tuberculosis. Proteome Sci 8:59

    Article  Google Scholar 

  • Nienaber L, Cave-Freeman E, Cross M, Mason L, Bailey UM, Amani PA, Davis R, Taylor P, Hofmann A (2015) Chemical probing suggests Redox-regulation of the carbonic anhydrase activity of mycobacterial Rv1284. FEBS J 282:2708–2727

    CAS  Article  PubMed  Google Scholar 

  • Rabilloud T (2003) Membrane proteins ride shotgun. Nat Biotechnol 21:508–510

    CAS  Article  PubMed  Google Scholar 

  • Sakash JB, Kantrowitz ER (2000) The contribution of individual interchain interactions to the stabilization of the T and R states of Escherichia coli aspartate transcarbamoylase. J Biol Chem 275(37):28701–28707

    CAS  Article  PubMed  Google Scholar 

  • Shevchenko A, Matthias W, Ole V, Matthias M (1996) Mass spectrometric sequencing of proteins from silver-stained polyacrylamide gels. Anal Chem 68:850–858

    CAS  Article  PubMed  Google Scholar 

  • Shevchenko A, Henrik T, Jan H, Jesper VO, Matthias M (2006) In-gel digestion for mass spectrometric characterization of proteins and proteomes. Nat protocol 1:6

    Google Scholar 

  • Singhal N, Prashant Sh, Manish K, Beenu J, Deepa B (2012) Analysis of intracellular expressed proteins of Mycobacterium tuberculosis clinical isolates. Proteome Sci 10:14

    CAS  Article  PubMed  PubMed Central  Google Scholar 

  • Wolfe LM, Mahaffey SB, Kruh NA, Dobos KM (2010) Proteomic definition of the cell wall of Mycobacterium tuberculosis. J Proteome Res 9:5816–5826

    CAS  Article  PubMed  PubMed Central  Google Scholar 

  • World Health Organization (2012) Global tuberculosis control 2011. Document no. (WHO/HTM/TB/2011.16). The Organization, Geneva. http://www.who.int/tb/publ-cations/globalreport/2011/en/

  • World Health Organization (2013) Global tuberculosis report Document no. (HO/HTM/TB/2004.343). The Organization, Geneva. http://www.who.int/tb/publications/global_report/en/

  • Xiong Y, Michael J, Chalmers F, Philip G, Timothy A, Alan G (2005) Identification of Mycobacterium tuberculosis H37Rv integral membrane proteins by one-dimensional gel electrophoresis and liquid chromatography electrospray ionization tandem mass spectrometry. J Proteome Res 4(3):855–861

    CAS  Article  PubMed  Google Scholar 

  • Yang H, Huang S, Dai H, Gong Y, Zheng C, Chang Z (1999) The Mycobacterium tuberculosis small heat shock protein Hsp16.3 exposes hydrophobic surfaces at mild conditions: conformational flexibility and molecular chaperone activity. Protein Sci 8:174–179

    CAS  Article  PubMed  PubMed Central  Google Scholar 

  • Zavaran HA, Eslami MB, Jalali M (1997) Purification and characterization of protein antigens isolated from Mycobacterium tuberculosis (H37Rv strain) and their effects on cell-mediated immune responses in guinea pigs. Med J Islam Repub Iran 10(4):290–297

    Google Scholar 

  • Zhang LU, Qingzhong W, Wenjie W, Yanyan L, Jie W, Jun Y, Ying X, Wenxi X, ZhenLing X, Honghai W (2012) Identification of putative biomarkers for the serodiagnosis of drug-resistant Mycobacterium tuberculosis. Proteome Sci 10:12

    CAS  Article  PubMed  PubMed Central  Google Scholar 

  • Zhiguo H, Jeroen DB (2010) proteome analysis of Mycobacterium smegmatis strain MC2. BMC Microbiol 10:121

    Article  Google Scholar 

Download references

Acknowledgments

We are sincerely grateful to the members of the Tuberculosis Department for the collection of TB strains. This study was part of the Ph.D. fellowship Project (No. TP-9011) and funded by the Pasteur Institute of Iran.

Author information

Affiliations

Authors

Corresponding author

Correspondence to Ahmadreza Bahrmand.

Additional information

Communicated by Jorge Membrillo-Hernández.

Rights and permissions

Reprints and Permissions

About this article

Verify currency and authenticity via CrossMark

Cite this article

Yari, S., Hadizadeh Tasbiti, A., Ghanei, M. et al. Proteomic analysis of drug-resistant Mycobacterium tuberculosis by one-dimensional gel electrophoresis and charge chromatography. Arch Microbiol 199, 9–15 (2017). https://doi.org/10.1007/s00203-016-1267-8

Download citation

  • Received:

  • Revised:

  • Accepted:

  • Published:

  • Issue Date:

  • DOI: https://doi.org/10.1007/s00203-016-1267-8

Keywords

  • MDR-TB
  • Sensitive TB
  • TB proteomics
  • Ion exchange chromatography (IEC)
  • Mass spectrometry