Skip to main content

Molecular characterisation of ABC transporter type FtsE and FtsX proteins of Mycobacterium tuberculosis

Abstract

Elicitation of drug resistance and various survival strategies inside host macrophages have been the hallmarks of Mycobacterium tuberculosis as a successful pathogen. ATP Binding Cassette (ABC) transporter type proteins are known to be involved in the efflux of drugs in bacterial and mammalian systems. FtsE, an ABC transporter type protein, in association with the integral membrane protein FtsX, is involved in the assembly of potassium ion transport proteins and probably of cell division proteins as well, both of which being relevant to tubercle bacillus. In this study, we cloned ftsE gene of M. tuberculosis, overexpressed and purified. The recombinant MtFtsE-6xHis protein and the native MtFtsE protein were found localized on the membrane of E. coli and M. tuberculosis cells, respectively. MtFtsE-6xHis protein showed ATP binding in vitro, for which the K42 residue in the Walker A motif was found essential. While MtFtsE-6xHis protein could partially complement growth defect of E. coli ftsE temperature-sensitive strain MFT1181, co-expression of MtFtsE and MtFtsX efficiently complemented the growth defect, indicating that the MtFtsE and MtFtsX proteins might be performing an associated function. MtFtsE and MtFtsX-6xHis proteins were found to exist as a complex on the membrane of E. coli cells co-expressing the two proteins.

This is a preview of subscription content, access via your institution.

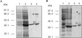
Fig. 1
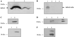
Fig. 2
Fig. 3
Fig. 4
Fig. 5

Abbreviations

DTSP:

3, 3′-dithio-bis(propionic acid N-hydroxysuccinimide ester)

ABC:

ATP binding Cassette

DTT:

Dithiothreitol

IPTG:

Isopropylthio-β-d-galactopyranoside

CNBr:

Cyanogen bromide

SRP:

Signal Recognition Particle

References

  • Addinall SG, Bi E, Lutkenhaus J (1996) FtsZ ring formation in fts mutants. J Bacteriol 178:3877–3884

    PubMed  CAS  Google Scholar 

  • Berrios M, Blobel G, Fisher PA (1983) Characterization of an ATPase/dATPase activity associated with the Drosophila nuclear matrix-pore complex-lamina fraction. Identification of the putative enzyme polypeptide by direct ultraviolet photoaffinity labeling. J Biol Chem 258:4548–4555

    PubMed  CAS  Google Scholar 

  • Chen C-J, Chin JE, Ueda K, Clark DP, Pastan I, Gottesman MM, Robinson IB (1986) Internal duplication and homology with bacterial transport proteins in the mdr1 (P-glycoprotein) gene from multidrug-resistant human cells. Cell 47:381–389

    Article  PubMed  CAS  Google Scholar 

  • Clertant P, Cuzin F (1982) Covalent affinity labeling by periodate-oxidized [(-32P] ATP of the large-T proteins of polyoma and SV40 viruses. J Biol Chem 257:6300–6305

    PubMed  CAS  Google Scholar 

  • Cutting GR, Kasch LM, Rosenstein BJ, Zielenski J, Tsui LC, Antonarakis SE, Kazazian HH Jr (1990) A cluster of cystic fibrosis mutations in the first nucleotide-binding fold of the cystic fibrosis conductance regulator protein. Nature 346:366–369

    Article  PubMed  CAS  Google Scholar 

  • Cole ST, Brosch R, Parkhill J, Garnier T, Churcher C, Harris D, Gordon SV, Eiglmeier K, Gas S, Barry CE 3rd, Tekaia F, Badcock K, Basham D, Brown D, Chillingworth T, Connor R, Davies R, Devlin K, Feltwell T, Gentles S, Hamlin N, Holroyd S, Hornsby T, Jagels K, Krogh A, McLean J, Moule S, Murphy L, Oliver K, Osborne J, Quail MA, Rajandream MA, Rogers J, Rutter S, Seeger K, Skelton J, Squares R, Squares S, Sulston JE, Taylor K, Whitehead S, Barrell BG (1998) Deciphering the biology of Mycobacterium tuberculosis from the complete genome sequence. Nature 393:537–344

    Article  PubMed  CAS  Google Scholar 

  • Davidson AL, Nikaido H (1991) Purification and characterization of the membrane-associated components of the maltose transport system from Escherichia coli. J Biol Chem 266:8946–8951

    PubMed  CAS  Google Scholar 

  • de Leeuw E, Graham B, Phillips GJ, Ten Hagen-Jongman CM, Oudega B, Luirink J (1999) Molecular characterization of Escherichia coli FtsE and FtsX. Mol Microbiol 31:983–993

    Article  PubMed  Google Scholar 

  • Diederichs K, Diez J, Greller G, Muller C, Breed J, Schnell C, Vonrhein C, Boos W, Welte W (2000) Crystal structure of MalK, the ATPase subunit of the trehalose/maltose ABC transporter of the archaeon Thermococcus litoralis. EMBO J 19:5951–5961

    Article  PubMed  CAS  Google Scholar 

  • Evans IJ, Downie JA (1986) The nodI gene product of Rhizobium leguminosarum is closely related to ATP-binding bacterial transport proteins; nucleotide sequence analysis of the nodI and nodJ genes. Gene 43:95–101

    Article  PubMed  CAS  Google Scholar 

  • Fry DC, Kuby SA, Mildvan AS (1986) ATP-binding site of adenylate kinase: mechanistic implications of its homology with ras-encoded p21, F1-ATPase, and other nucleotide-binding proteins. Proc Natl Acad Sci USA 83:907–911

    PubMed  Article  CAS  Google Scholar 

  • Guhan N, Muniyappa K (2003) Mycobacterium tuberculosis RecA intein, a LAGLIDADG homing endonuclease, displays Mn2+ and DNA-dependent ATPase activity. Nucleic Acids Res 31:4184–4191

    Article  PubMed  CAS  Google Scholar 

  • Gill DR, Salmond GP (1987) The Escherichia coli cell division proteins FtsY, FtsE and FtsX are inner membrane-associated. Mol Gen Genet 210:504–508

    Article  PubMed  CAS  Google Scholar 

  • Gibbs TW, Gill DR, Salmond GP (1992) Localised mutagenesis of the fts YEX operon: conditionally lethal missense substitutions in the FtsE cell division protein of Escherichia coli are similar to those found in the cystic fibrosis transmembrane conductance regulator protein (CFTR) of human patients. Mol Gen Genet 234:121–128

    PubMed  CAS  Google Scholar 

  • Goldman RC, Capobianco JO (1990) Role of an energy-dependent efflux pump in plasmid pNE24-mediated resistance to 14- and 15-membered macrolides in Staphylococcus epidermidis. Antimicrob Agents Chemother 34:1973–1980

    PubMed  CAS  Google Scholar 

  • Higgins CF (1992) ABC transporters from microorganisms to man. Ann Rev Cell Biol 8:67–113

    PubMed  CAS  Google Scholar 

  • Harlow E, Lane D (1988) In Antibodies — A Laboratory Manual. Cold Spring Harbour Laboratory, New York, pp313–315

    Google Scholar 

  • Hyde SC, Emsley P, Hatshorn MJ, Mimmack MM, Gileadi U, Pearce SR, Gallagher MP, Gill DR, Hubbard RE, Higgins CF (1990) Structural model of ATP-binding proteins associated with cystic fibrosis, multidrug resistance and bacterial transport. Nature 346:362–365

    Article  PubMed  CAS  Google Scholar 

  • Hung LW, Wang IX, Nikaido K, Liu PQ, Ames GF, Kim SH (1998) Crystal structure of the ATP-binding subunit of an ABC transporter. Nature 396:703–707

    Article  PubMed  CAS  Google Scholar 

  • Karata K, Inagawa T, Wilkinson AJ, Tatsuta T, Ogura T (1999) Dissecting the role of a conserved motif (the second region of homology) in the AAA family of ATPases. Site-directed mutagenesis of the ATP-dependent protease FtsH. J Biol Chem 274:26225–26232

    Article  PubMed  CAS  Google Scholar 

  • Lagrange PH (1984) Cell-mediated immunity and delayed-type hypersensitivity. In: Kubica GP, Wayne LG (eds) The mycobacteria: a sourcebook Part B. Marcel Dekker Inc., New York, pp681–720

    Google Scholar 

  • Lefford MJ (1984) Disease in mice and rats. In: Kubica GP, Wayne LG (eds) The mycobacteria: a sourcebook, Part B. Marcel Dekker Inc., New York, pp947–977

    Google Scholar 

  • Levy F, Gabathuler R, Larsson R, Kvist S (1991) ATP is required for in vitro assembly of MHC class I antigens but not for transfer of peptides across the ER membrane. Cell 67:265–274

    Article  PubMed  CAS  Google Scholar 

  • Lim A, Eleuterio M, Hutter B, Murugasu-Oei B, Dick T (1999) Oxygen depletion-induced dormancy in Mycobacterium bovis BCG. J Bacteriol 181:2252–2256

    PubMed  CAS  Google Scholar 

  • Miroux D, Walker JE (1996) Over-production of proteins in Escherichia coli: mutant hosts that allow synthesis of some membrane proteins and globular proteins at high levels. J Mol Biol 260:289–298

    Article  PubMed  CAS  Google Scholar 

  • Messing J, Crea R, Seeburg PH (1981) A system for shotgun DNA sequencing. Nucleic Acids Res 9:309–321

    PubMed  Article  CAS  Google Scholar 

  • Mimura CS, Holbrook SR., Ames GF (1991) Structural model of the nucleotide binding conserved component of periplasmic permeases. Proc Natl Acad Sci USA 88:84–88

    PubMed  Article  CAS  Google Scholar 

  • Nishino K, Yamaguchi A (2001) Analysis of a complete library of putative drug transporter genes in Escherichia coli. J Bacteriol 183:5803–5812

    Article  PubMed  CAS  Google Scholar 

  • Pai EF, Sachsenheimer W, Schirmer RH, Schulz GE (1977) Substrate positions and induced-fit in crystalline adenylate kinase. J Mol Biol 114:37–45

    Article  PubMed  CAS  Google Scholar 

  • Panagiotidis CH, Reyes M, Sievertsen A, Boos W, Shuman HA (1993) Characterization of the structural requirements for assembly and nucleotide binding of an ATP-binding cassette transporter. The maltose transport system of Escherichia coli. J Biol Chem 268:23685–23696

    PubMed  CAS  Google Scholar 

  • Ratledge C (1984) Metabolism of iron and other metals by mycobacteria. In: Kubica GP, Wayne LG (eds) The mycobacteria: a sourcebook, Part A. Marcel Dekker Inc., New York, pp603–627

    Google Scholar 

  • Riordan JR, Rommens JM, Kerem B, Alon N, Rozmahel R, Grzelczak Z, Zielenski J, Lok S, Plavsic N, Chou JL, et al (1989) Identification of the cystic fibrosis gene: cloning and characterization of complementary DNA. Science 245:1066–1073

    PubMed  Article  CAS  Google Scholar 

  • Reinstein J, Schlichting I, Wittinghofer A (1990) Structurally and catalytically important residues in the phosphate binding loop of adenylate kinase of Escherichia coli. Biochemistry 29:7451–7459

    Article  PubMed  CAS  Google Scholar 

  • Reizer J, Reizer A, Saier MH Jr (1992) A new subfamily of bacterial ABC-type transport systems catalyzing export of drugs and carbohydrates. Protein Sci 1:1326–1332

    PubMed  CAS  Article  Google Scholar 

  • Saraste M, Sibbald PR, Wittinghofer A (1990) The P-loop—a common motif in ATP- and GTP-binding proteins. Trends Biochem Sci 15:430–434

    Article  PubMed  Google Scholar 

  • Shyamala V, Baichwal V, Beall E, Ames GF (1991) Structure-function analysis of the histidine permease and comparison with cystic fibrosis mutations. J Biol Chem 266:18714–18719

    PubMed  CAS  Google Scholar 

  • Schmidt KL, Peterson ND, Kustusch RJ, Wissel MC, Graham B, Phillips GJ, Weiss DS (2004) A predicted ABC transporter, FtsEX, is needed for cell division in Escherichia coli. J Bacteriol 186:785–793

    Article  PubMed  CAS  Google Scholar 

  • Tyagi JS, Das TK, Kinger AK (1996) An M. tuberculosis DNA fragment contains genes encoding cell division proteins ftsX and ftsE, a basic protein and homologues of PemK and small protein B. Gene 177:59–67

    Article  PubMed  CAS  Google Scholar 

  • Ukai H, Matsuzawa H, Ito K, Yamada M, Nishimura A (1998) ftsE(Ts) affects translocation of K+-pump proteins into the cytoplasmic membrane of Escherichia coli. J Bacteriol 180:3663–3670

    PubMed  CAS  Google Scholar 

  • Valent QA, de Gier JW, von Heijne G, Kendall DA, ten Hagen-Jongman CM, Oudega B, Luirink J (1997) Nascent membrane and presecretory proteins synthesized in Escherichia coli associate with signal recognition particle and trigger factor. Mol Microbiol 25:53–64

    Article  PubMed  CAS  Google Scholar 

  • Walter C, Honer-zu-Bentrup K, Schneider E (1992) Large scale purification, nucleotide binding properties, and ATPase activity of the MalK subunit of Salmonella typhimurium maltose transport complex. J Biol Chem 267:8863–8869

    PubMed  CAS  Google Scholar 

  • Wayne LG, Hayes LG. (1996) An in vitro model for sequential study of shiftdown of Mycobacterium tuberculosis through two stages of nonreplicating persistence. Infect Immun 64:2062–2069

    PubMed  CAS  Google Scholar 

  • Walker JE, Saraste M, Runswick MJ, Gay NJ (1982) Distantly related sequences in the alpha- and beta-subunits of ATP synthase, myosin, kinases and other ATP-requiring enzymes and a common nucleotide binding fold. EMBO J 1:945–951

    PubMed  CAS  Google Scholar 

  • Yanisch-Perron C, Vieira J, Messing J (1985) Improved M13 phage cloning vectors and host strains: Nucleotide sequences of the M13 mp18 and pUC19 vectors. Gene 33:103–119

    PubMed  Article  CAS  Google Scholar 

Download references

Acknowledgments

The authors are immensely thankful to Dr. A. Nishimura, National Institute of Genetics, Japan, for providing us E. coli MFT1181 ftsE (Ts) mutant, pSTR-30–SD vector and the wild-type strain E. coli JA200 for the complementation experiments. We thank Ramanujam Srinivasan for critical comments on the work reported here. The work was supported in part by the Genomics Initiative on Microbial Pathogens — Structural Genomics Initiative, funded by the Department of Biotechnology, Government of India, in the Division of Biological Sciences, at Indian Institute of Science. Authors acknowledge the infrastructure and equipment facilities in the Department of Microbiology and Cell Biology supported by the FIST grant from Department of Science and Technology, Government of India, Departmental Special Assistance Programme from University Grants Commission, Government of India, and ICMR Centre for Advanced Study in Molecular Medical Microbiology, at the Department of Microbiology and Cell Biology, Indian Institute of Science. Use of DBT-supported phosphorimager facility is acknowledged. MAM is recipient of the scholarship from Indian Institute of Science and UV acknowledges financial assistance from the Structural Genomics Programme.

Author information

Affiliations

Authors

Corresponding author

Correspondence to Parthasarathi Ajitkumar.

Rights and permissions

Reprints and Permissions

About this article

Cite this article

Mir, M.A., Rajeswari, H.S., Veeraraghavan, U. et al. Molecular characterisation of ABC transporter type FtsE and FtsX proteins of Mycobacterium tuberculosis . Arch Microbiol 185, 147–158 (2006). https://doi.org/10.1007/s00203-005-0079-z

Download citation

  • Received:

  • Revised:

  • Accepted:

  • Published:

  • Issue Date:

  • DOI: https://doi.org/10.1007/s00203-005-0079-z

Keywords

  • FtsE
  • FtsX
  • ABC transporter type protein
  • Walker A motif
  • ATP binding
  • Mycobacterium tuberculosis
  • cell division