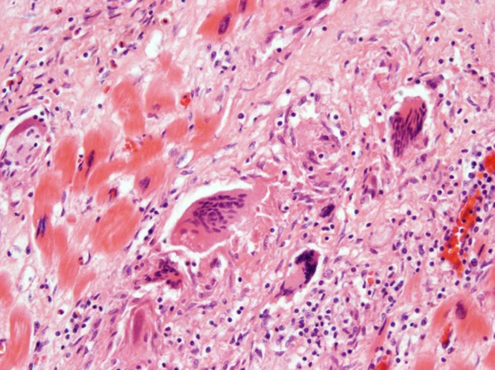
Abb. 3

Fokal mehrkernige Riesenzellen am Rand fibrosierter Areale mit lymphozytärer Reaktion und spärlich erhaltenem Myokard (HE, Vergr. 400:1)

Fokal mehrkernige Riesenzellen am Rand fibrosierter Areale mit lymphozytärer Reaktion und spärlich erhaltenem Myokard (HE, Vergr. 400:1)