Abb. 2

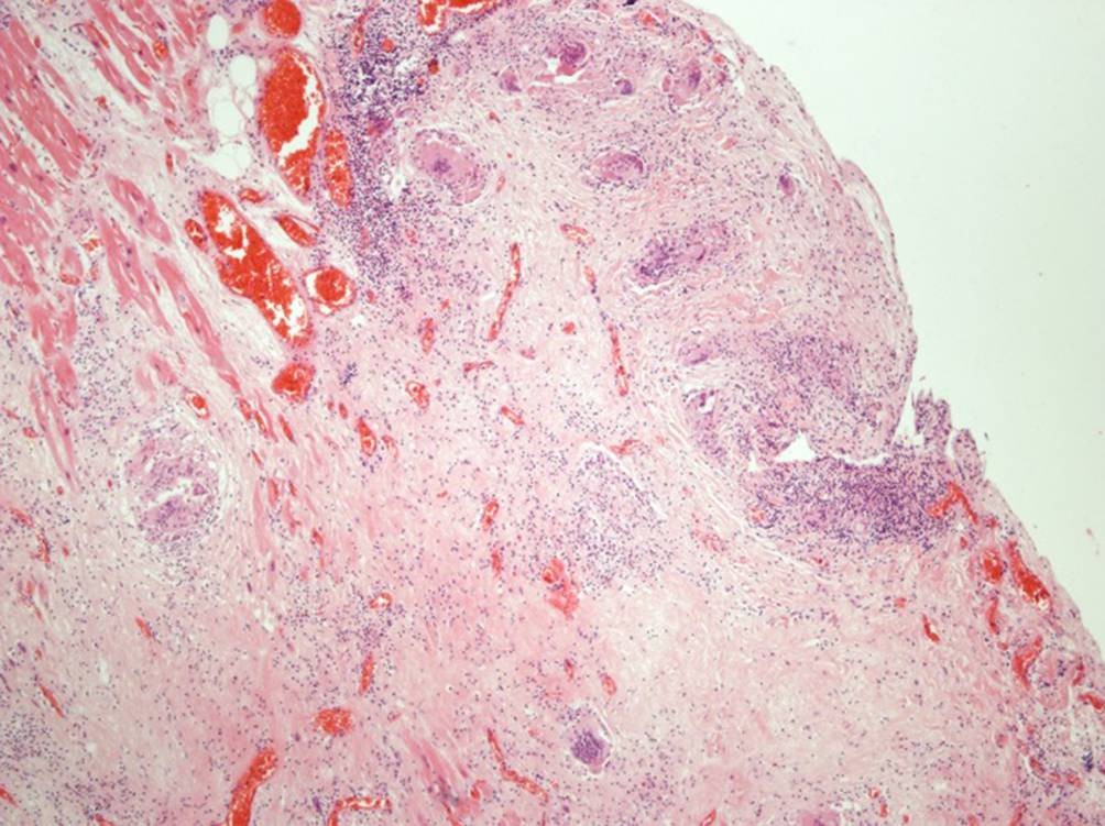
Ausgedehntes, partiell kapillarisiertes, fibrosiertes Areal im Myokard mit unspezifischer chronischer lymphozytärer Entzündung und fokal anzutreffenden mehrkernigen Riesenzellen (HE, Vergr. 40:1)

Ausgedehntes, partiell kapillarisiertes, fibrosiertes Areal im Myokard mit unspezifischer chronischer lymphozytärer Entzündung und fokal anzutreffenden mehrkernigen Riesenzellen (HE, Vergr. 40:1)