Skip to main content

Ultrasound visualization of sacrocolpopexy polyvinylidene fluoride meshes containing paramagnetic Fe particles compared with polypropylene mesh

Abstract

Introduction and hypothesis

Paramagnetic Fe particles can be added during synthetic mesh production to allow visibility on magnetic resonance imaging. Our aim was to evaluate whether transperineal ultrasound (TPUS) allows visualization, measurement, and characterization of polyvinylidene fluoride (PVDF mesh) containing Fe particles compared with regular polypropylene (PP) meshes used for sacrocolpopexy.

Methods

Women up to 1.5 years after laparoscopic sacrocolpopexy who were implanted with a PP or PVDF mesh underwent clinical examination and 2D, 3D, and 4D TPUS. Acquired volumes were analyzed offline for mesh position at rest and maximal Valsalva and for mesh dimensions and characteristics, with the operator blinded to group assignment. The two groups were compared.

Results

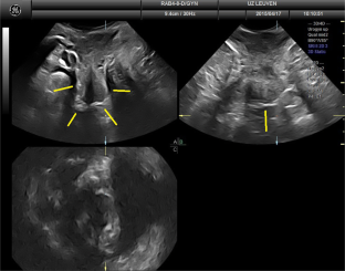
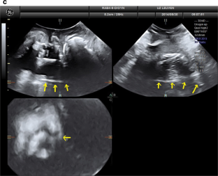
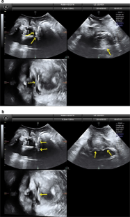
There were 17 women in the PP and 25 in the PVDF mesh group, without differences in baseline demographics. None had significant prolapse, recurrence, symptoms, or complications. On TPUS, mesh was visible in all patients both caudally (perineal) and cranially but was more echogenic in the PVDF mesh group. Mesh length from distal to proximal that was visible on TPUS was longer for PVDF mesh, for both anterior and posterior vaginal arms (all P < 0.05), and for mesh above the vaginal apex (P = 0.002). The inferior aspects of the mesh showed areas of double mesh layers, suggesting folding in 80% of women in both groups, without symptoms.

Conclusions

PVDF mesh permits clearer visualization and is seen over a longer stretch on TPUS, with longer visible mesh arms. The latter can be due to differences in operative technique, presence of microparticles, implant textile structure, or patient characteristics.

This is a preview of subscription content, access via your institution.

Fig. 1
Fig. 2
Fig. 3
Fig. 4
Fig. 5
Fig. 6

References

  1. Lowenstein E, Ottesen B, Gimbel H. Incidence and lifetime risk of pelvic organ prolapse surgery in Denmark from 1977 to 2009. Int Urogynecol J. 2015;26:49–55.

    Article  PubMed  Google Scholar 

  2. Wu JM, Matthews CA, Conover MM, et al. Lifetime risk of stress urinary incontinence or pelvic organ prolapse surgery. Obstet Gynecol. 2014;123:1201–6.

    Article  PubMed  PubMed Central  Google Scholar 

  3. Smith FJ, Holman CD, Moorin RE, et al. Lifetime risk of undergoing surgery for pelvic organ prolapse. Obstet Gynecol. 2010;116:1096–100.

    Article  PubMed  Google Scholar 

  4. Lee D, Zimmern PE. Management of complications of mesh surgery. Curr Opin Urol. 2015;25:284–91.

    PubMed  Google Scholar 

  5. Zambon JP, Badlani GH. Vaginal mesh exposure presentation, evaluation, and management. Curr Urol Rep. 2016;17:65.

    Article  PubMed  Google Scholar 

  6. Maher C, Feiner B, Baessler K, et al. Surgical management of pelvic organ prolapse in women. Cochrane Database Syst Rev. 2013;4:CD004014.

    Google Scholar 

  7. Nygaard I, Brubaker L, Zyczynski HM, et al. Long-term outcomes following abdominal sacrocolpopexy for pelvic organ prolapse. JAMA. 2013;309:2016–24.

    Article  CAS  PubMed  PubMed Central  Google Scholar 

  8. Dietz HP. Ultrasound imaging of the pelvic floor. Part II: three-dimensional or volume imaging. Ultrasound Obstet Gynecol. 2004;23:615–25.

    Article  CAS  PubMed  Google Scholar 

  9. Jamadar DA, Jacobson JA, Girish G, et al. Abdominal wall hernia mesh repair: sonography of mesh and common complications. J Ultrasound Med. 2008;27:907–17.

    Article  PubMed  Google Scholar 

  10. Dietz HP, Mouritsen L, Ellis G, et al. Does the tension-free vaginal tape stay where you put it? Am J Obstet Gynecol. 2003;188:950–3.

    Article  PubMed  Google Scholar 

  11. Svabik K, Martan A, Masata J, et al. Ultrasound appearances after mesh implantation--evidence of mesh contraction or folding? Int Urogynecol J. 2011;22:529–33.

    Article  PubMed  Google Scholar 

  12. Eisenberg VH, Steinberg M, Weiner Z, et al. Three-dimensional transperineal ultrasound for imaging mesh implants following sacrocolpopexy. Ultrasound Obstet Gynecol. 2014;43:459–65.

    Article  CAS  PubMed  Google Scholar 

  13. Eisenberg VH, Steinberg M, Weiner Z, et al. Long-term follow-up of sacrocolpopexy mesh implants at two time intervals at least 1 year apart using 4D transperineal ultrasound. Ultrasound Obstet Gynecol. 2017;49:398–403.

    Article  CAS  PubMed  Google Scholar 

  14. Fischer T, Ladurner R, Gangkofer A, et al. Functional cine MRI of the abdomen for the assessment of implanted synthetic mesh in patients after incisional hernia repair: initial results. Eur Radiol. 2007;17:3123–9.

    Article  PubMed  Google Scholar 

  15. Kuehnert N, Kraemer NA, Otto J, et al. In vivo MRI visualization of mesh shrinkage using surgical implants loaded with superparamagnetic iron oxides. Surg Endosc. 2012;26:1468–75.

    Article  PubMed  Google Scholar 

  16. Urbankova I, Sindhwani N, Callewaert G, et al. In vivo documentation of shape and position changes of MRI-visible mesh placed in rectovaginal septum. J Mech Behav Biomed Mater. 2017;75:379–89.

    Article  Google Scholar 

  17. Sindhwani N, Feola A, De Keyzer F, et al. Three-dimensional analysis of implanted magnetic-resonance-visible meshes. Int Urogynecol J. 2015;26:1459–65.

    Article  PubMed  Google Scholar 

  18. Claerhout F, De Ridder D, Roovers JP, et al. Medium-term anatomic and functional results of laparoscopic sacrocolpopexy beyond the learning curve. Eur Urol. 2009;55:1459–67.

    Article  PubMed  Google Scholar 

  19. Endo M, Feola A, Sindhwani N, et al. Mesh contraction: in vivo documentation of changes in apparent surface area utilizing meshes visible on magnetic resonance imaging in the rabbit abdominal wall model. Int Urogynecol J. 2014;25:737–43.

    Article  PubMed  Google Scholar 

  20. Sommer T, Friis-Andersen H. DynaMesh(R) in the repair of laparoscopic ventral hernia: a prospective trial. Hernia. 2013;17:613–8.

    Article  CAS  PubMed  Google Scholar 

  21. Gerullis H, Klosterhalfen B, Boros M, et al. IDEAL in meshes for prolapse, urinary incontinence, and hernia repair. Surg Innov. 2013;20:502–8.

    Article  PubMed  Google Scholar 

  22. Bump RC, Mattiasson A, Bo K, et al. The standardization of terminology of female pelvic organ prolapse and pelvic floor dysfunction. Am J Obstet Gynecol. 1996;175:10–7.

    Article  CAS  PubMed  Google Scholar 

  23. Sindhwani N, Liaquat Z, Urbankova I, et al. Immediate postoperative changes in synthetic meshes - In vivo measurements. J Mech Behav Biomed Mater. 2015;55:228–35.

    Article  CAS  PubMed  Google Scholar 

  24. Sindhwani N, Callewaert G, Deprest T, et al. Short term post-operative morphing of sacrocolpopexy mesh measured by Magnetic Resonance Imaging. J Mech Behav Biomed Mater. 2018. https://doi.org/10.1016/j.jmbbm.2018.02.012.

Download references

Acknowledgements

We would like to thank the patients who gave their consent to participate in this study and the MRI staff at UZ Leuven.

Funding

As stated in disclosures.

Author information

Affiliations

Authors

Corresponding author

Correspondence to Vered H. Eisenberg.

Ethics declarations

Conflicts of interest

Prof. Jan Deprest was a clinical scientist for the Fonds Wetenschappelijk Vlaanderen (G069715 N). NS received a doctoral grant in the Bip-Upy project (NMP3-LA-2012-310,389; FP7) funded by the European Commission. His clinical research on sacrocolpopexy has previously been, in part, supported by an unconditional grant by Johnson & Johnson. He has previously been consulting for AMS, Johnson & Johnson, and Bard. The others have nothing to disclose.

Rights and permissions

Reprints and Permissions

About this article

Verify currency and authenticity via CrossMark

Cite this article

Eisenberg, V.H., Callewaert, G., Sindhwani, N. et al. Ultrasound visualization of sacrocolpopexy polyvinylidene fluoride meshes containing paramagnetic Fe particles compared with polypropylene mesh. Int Urogynecol J 30, 795–804 (2019). https://doi.org/10.1007/s00192-018-3728-x

Download citation

  • Received:

  • Accepted:

  • Published:

  • Issue Date:

  • DOI: https://doi.org/10.1007/s00192-018-3728-x

Keywords

  • 4D transperineal ultrasound
  • Laparoscopy
  • MRI visible mesh
  • Mesh folding
  • Pelvic organ prolapse
  • Sacrocolpopexy mesh
  • PVDF mesh