Skip to main content

Optimal suture anchor direction in arthroscopic lateral ankle ligament repair

Abstract

Purpose

In this study, the distance between the insertion point of the suture anchors and posterior surface of the fibula during arthroscopic lateral ankle ligament repair was investigated on computed tomography (CT) images. The hypothesis of this study was that there is an optimal insertional direction of the suture anchor to avoid anchor-related complications.

Methods

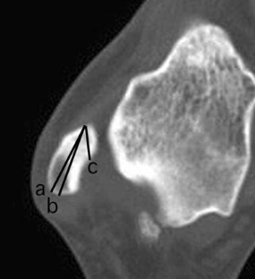
One hundred eleven ankles of 98 patients who had undergone three-dimensional CT scans for foot or ankle disorders without deformity of the fibula were assessed (59 males, 52 females; median age 25.5 years; age range 12–78 years). The shortest distance from the insertion point of the suture anchor to the deepest point of the fossa/top of the convex aspect of the fibula was measured on the axial plane, tilting from the longitudinal axis of the fibula at 90°, 75°, 60°, and 45°. The distance from the insertion point of the suture anchor to the posterior surface of the fibula was also measured in a direction parallel to the sagittal plane of the lateral surface of the talus on the axial plane, tilting from the longitudinal axis of the fibula at 90°, 75°, 60°, and 45°.

Results

The posterior fossa was observed in all cases on the 90° and 75° images. The distance from the insertion point to the posterior surface of the fibula in the parallel direction was 15.0 ± 3.4 mm at 90°, 17.5 ± 3.2 mm at 75°, 21.7 ± 3.3 mm at 60°, and 25.7 ± 3.6 mm at 45°. The posterior points in the parallel direction were located on the posterior fossa in 36.0% of cases at 90°, in 12.6% at 75°, and in 0.0% at 60° and 45°.

Conclusions

The suture anchor should be directed from anterior to posterior at an angle of <45° to the longitudinal axis of the fibula, parallel to the lateral surface of the talus, to avoid passing through the fibula.

Level of evidence

Cohort study, Level III.

This is a preview of subscription content, access via your institution.

Fig. 1
Fig. 2
Fig. 3
Fig. 4

References

  1. Baumhauer JF, O’Brien T (2002) Surgical considerations in the treatment of ankle instability. J Athl Train 37(4):458–462

    PubMed  PubMed Central  Google Scholar 

  2. Brodsky AR, O’Malley MJ, Bohne WH, Deland JA, Kennedy JG (2005) An analysis of outcome measures following the Broström–Gould procedure for chronic lateral ankle instability. Foot Ankle Int 26(10):816–819

    Article  PubMed  Google Scholar 

  3. Broström L (1996) Sprained ankles. VI. Surgical treatment of “chronic” ligament ruptures. Acta Chir Scand 132(5):551–565

    Google Scholar 

  4. Burks RT, Morgan J (1994) Anatomy of the lateral ankle ligaments. Am J Sports Med 22:72–77

    Article  PubMed  CAS  Google Scholar 

  5. Buzzi R, Todescan G, Brenner E, Segoni F, Inderster A, Aglietti P (1993) Reconstruction of the ligaments of the ankle: an anatomic study with evaluation of isometry. J Sports Traumtol Relat Res 15:55–74

    Google Scholar 

  6. Corte-Real NM, Moreira RM (2009) Arthroscopic repair of chronic lateral ankle instability. Foot Ankle Int 30(3):213–217

    Article  PubMed  Google Scholar 

  7. Cotton JM, Rigby RB (2013) The “all inside” arthroscopic Broström procedure: a prospective study of 40 consecutive patients. J Foot Ankle Surg 52:568–574

    Article  Google Scholar 

  8. Ferkel RD, Chams RN (2007) Chronic lateral instability: arthroscopic findings and long-term results. Foot Ankle Int 28(1):24–31

    Article  PubMed  Google Scholar 

  9. Freeman MA (1965) Instability of the foot after injuries to the lateral ligament of the ankle. J Bone Joint Surg Br 47:669–677

    Article  PubMed  CAS  Google Scholar 

  10. Giza E, Shin EC, Wong SE, Acevedo JI, Mangone PG, Olson K, Anderson MJ (2013) Arthroscopic suture anchor repair of the lateral ligament ankle complex: a cadaveric study. Am J Sports Med 41:2567–2572

    Article  PubMed  Google Scholar 

  11. Gould N, Seliquson D, Gassman J (1980) Early and late repair of lateral ligament of the ankle. Foot Ankle 1:84–89

    Article  PubMed  CAS  Google Scholar 

  12. Guillo S, Bauer T, Lee JW et al (2013) Consensus in chronic ankle instability: aetiology, assessment, surgical indications and place for arthroscopy. Orthop Traumatol Surg Res 99:S411–S419

    Article  PubMed  CAS  Google Scholar 

  13. Hawkins RB (1987) Arthroscopic stapling repair for chronic lateral instability. Clin Podiatr Med Surg 4:875–883

    PubMed  CAS  Google Scholar 

  14. Kashuk KB, Landsman AS, Werd MB et al (1994) Arthroscopic lateral ankle stabilization. Clin Podiatr Med Surg 11:407–423

    PubMed  CAS  Google Scholar 

  15. Keilikan A, Sarrafian S (2011) Sarrafian’s anatomy of the foot and ankle: descriptive, topographic, functional, 3rd edn. Lippincott, Williams & Wilkins, Wolters Kluwer, Philadelphia, pp 40–44

    Google Scholar 

  16. Kim ES, Lee KT, Park JS, Lee YK (2011) Arthroscopic anterior talofibular ligament repair for chronic ankle instability with a suture anchor technique. Orthopedics 34(4):273

    Google Scholar 

  17. Kirchhoff C, Braunstein V, Milz S, Sprecher CM, Fischer F, Tami A, Ahrens P, Imhoff AB, Hinterwimmer S (2010) Assessment of bone quality within the tuberosities of the osteoporotic humeral head: relevance for anchor positioning in rotator cuff repair. Am J Sports Med 38:564–569

    Article  PubMed  Google Scholar 

  18. Lui TH (2016) Modified arthroscopic Brostrom procedure with bone tunnels. Arthrosc Tech 5(4):e775–e780

    Article  PubMed  PubMed Central  Google Scholar 

  19. Matsui K, Takao M, Miyamoto W, Innami K, Matsushita T (2014) Arthroscopic Broström repair with Gould argumentation via an accessory anterolateral port for lateral instability of the ankle. Arch Orthop Trauma Surg 134:1461–1467

    Article  PubMed  Google Scholar 

  20. Nery C, Raduan F, Del Buono A, Asaumi ID, Cohen M, Maffulli N (2011) Arthroscopic-assisted Broström–Gould for chronic ankle instability: a long-term follow-up. Am J Sports Med 39:2381–2388

    Article  PubMed  Google Scholar 

  21. Pereira H, Vuurberg G, Gomes N, Oliveira JM, Ripoll PL, Reis RL, Espregueira-Mendes J, Niek van Dijk C (2016) Arthroscopic repair of ankle instability with all-soft knotless anchors. Arthrosc Tech. 5:e99–e107

    Article  PubMed  PubMed Central  Google Scholar 

  22. Skaliczki G, Paladini P, Merolla G, Campi F, Porcellini G (2015) Early anchor displacement after arthroscopic rotator cuff repair. Int Orthop 39:915–920

    Article  PubMed  Google Scholar 

  23. Takao M, Miyamoto W, Matsui K, Sasahara J, Matsushita T (2012) Functional treatment after surgical repair for acute lateral ligament disruption of the ankle in athletes. Am J Sports Med 40:447–451

    Article  PubMed  Google Scholar 

  24. Takao M, Matsui K, Stone JW et al (2016) Arthroscopic anterior talofibular ligament repair for lateral instability of the ankle. Knee Sports Traumatol Arthrosc 24(4):1003–1006

    Article  Google Scholar 

  25. Tingart MJ, Apreleva M, Lehtinen J, Zurakowski D, Warner JJ (2004) Anchor design and bone mineral density affect the pull-out strength of suture anchors in rotator cuff repair; which anchors are best to use in patients with low bone quality? Am J Sports Med 32:1466–1473

    Article  PubMed  Google Scholar 

  26. Vega J, Golanó P, Pellegrino A, Rabat E, Peña F (2013) All-inside arthroscopic lateral collateral repair for ankle instability with a knotless suture anchor technique. Foot Ankle Int 34:1701–1709

    Article  PubMed  Google Scholar 

Download references

Author information

Affiliations

Authors

Corresponding author

Correspondence to Ichiro Yoshimura.

Ethics declarations

Conflict of interest

The authors and institution have no conflict of interest.

Funding

No grant was received for this study.

Ethical approval

This study did not involve any human participants.

Informed consent

This study did not involve human participants so informed consent were not needed.

Rights and permissions

Reprints and Permissions

About this article

Verify currency and authenticity via CrossMark

Cite this article

Yoshimura, I., Hagio, T., Noda, M. et al. Optimal suture anchor direction in arthroscopic lateral ankle ligament repair. Knee Surg Sports Traumatol Arthrosc 26, 2110–2115 (2018). https://doi.org/10.1007/s00167-017-4587-6

Download citation

  • Received:

  • Accepted:

  • Published:

  • Issue Date:

  • DOI: https://doi.org/10.1007/s00167-017-4587-6

Keywords

  • Suture anchor
  • Fibula
  • CT
  • Direction
  • Ankle lateral ligament
  • Arthroscopy