Skip to main content

Patella height is not altered by descending medial open-wedge high tibial osteotomy (HTO) compared to ascending HTO

Abstract

Purpose

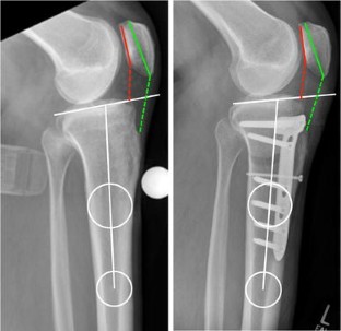
The primary purpose of the study was to gain insight into geometric changes of the patellar height (PH) and posterior tibial slope (PTS) after a biplanar ascending medial open-wedge high tibial osteotomy (HTO) compared to biplanar descending medial open-wedge HTO in patients with genu varum.

Methods

Sixty-four patients (mean age 45.2 ± 8.7 years, females n = 24, males n = 40) with varus malalignment and medial gonarthrosis were retrospectively studied. Patients received either a biplanar ascending or descending medial open-wedge HTO. Radiographic analysis included the assessment of standing total leg axis, PH, and PTS prior to and after surgery.

Results

In the ascending HTO group, PH decreased significantly by 4.0% (p = 0.037, Caton–Deschamps index) after an average leg axis valgus-producing correction of 7.1° ± 2.8°. In the descending HTO group, with an average leg axis correction of 7.0° ± 3.7°, there were no significant PH changes. There were no significant differences between the ascending and descending HTO groups regarding PTS or leg axis. The mean post-operative leg axis between ascending (1.6° ± 1.9°) and descending HTO (1.9° ± 2.4°) was not significantly different.

Conclusion

Compared to the biplanar ascending medial open-wedge HTO, the descending HTO did not influence patella height or increase the posterior tibial slope. In order to respect patellofemoral and slope-related knee kinematics, a biplanar descending medial open-wedge HTO has proven useful to control patella height and posterior tibial slope. These findings underscore the importance of the preoperative patella height assessment in the osteotomy planning and subsequent choice of the biplanar osteotomy direction.

Level of evidence

IV.

This is a preview of subscription content, access via your institution.

Fig. 1
Fig. 2
Fig. 3

References

  1. Agneskirchner JD, Hurschler C, Stukenborg-Colsman C, Imhoff AB, Lobenhoffer P (2004) Effect of high tibial flexion osteotomy on cartilage pressure and joint kinematics: a biomechanical study in human cadaveric knees. Winner of the AGA-DonJoy Award 2004. Arch Orthop Trauma Surg 124:575–584

    Article  PubMed  CAS  Google Scholar 

  2. Akizuki S, Shibakawa A, Takizawa T, Yamazaki I, Horiuchi H (2008) The long-term outcome of high tibial osteotomy: a ten- to 20-year follow-up. J Bone Joint Surg Br 90:592–596

    Article  PubMed  CAS  Google Scholar 

  3. Arun GR, Kumaraswamy V, Rajan D, Vinodh K, Singh AK, Kumar P, Chandrasekaran K, Santosh S, Kishore C (2016) Long-term follow up of single-stage anterior cruciate ligament reconstruction and high tibial osteotomy and its relation with posterior tibial slope. Arch Orthop Trauma Surg 136:505–511

    Article  PubMed  CAS  Google Scholar 

  4. Bito H, Takeuchi R, Kumagai K, Aratake M, Saito I, Hayashi R, Sasaki Y, Saito T (2010) Opening wedge high tibial osteotomy affects both the lateral patellar tilt and patellar height. Knee Surg Sports Traumatol Arthrosc 18:955–960

    Article  PubMed  Google Scholar 

  5. Bode G, von Heyden J, Pestka J, Schmal H, Salzmann G, Südkamp N, Niemeyer P (2015) Prospective 5-year survival rate data following open-wedge valgus high tibial osteotomy. Knee Surg Sports Traumatol Arthrosc 23:1949–1955

    Article  PubMed  Google Scholar 

  6. Bonin N, Ait Si Selmi T, Donell ST, Dejour H, Neyret P (2004) Anterior cruciate reconstruction combined with valgus upper tibial osteotomy: 12 years follow-up. Knee 11:431–437

    Article  PubMed  CAS  Google Scholar 

  7. Brouwer RW, Bierma-Zeinstra SMA, van Koeveringe AJ, Verhaar JAN (2005) Patellar height and the inclination of the tibial plateau after high tibial osteotomy. The open versus the closed-wedge technique. J Bone Joint Surg Br 87:1227–1232

    Article  PubMed  CAS  Google Scholar 

  8. Cantin O, Magnussen RA, Corbi F, Servien E, Neyret P, Lustig S (2015) The role of high tibial osteotomy in the treatment of knee laxity: a comprehensive review. Knee Surg Sports Traumatol Arthrosc 23:3026–3037

    Article  PubMed  CAS  Google Scholar 

  9. Caton J, Deschamps G, Chambat P, Lerat JL, Dejour H (1982) Patella infera. Apropos of 128 cases. Rev Chir orthopédique réparatrice l’appareil Mot 68:317–325

    CAS  Google Scholar 

  10. Chae DJ, Shetty GM, Lee DB, Choi HW, Han SB, Nha KW (2008) Tibial slope and patellar height after opening wedge high tibia osteotomy using autologous tricortical iliac bone graft. Knee 15:128–133

    Article  PubMed  Google Scholar 

  11. Cotic M, Vogt S, Hinterwimmer S, Feucht MJ, Slotta-Huspenina J, Schuster T, Imhoff AB (2015) A matched-pair comparison of two different locking plates for valgus-producing medial open-wedge high tibial osteotomy: peek-carbon composite plate versus titanium plate. Knee Surg Sports Traumatol Arthrosc 23:2032–2040

    Article  PubMed  Google Scholar 

  12. Dean CS, Chahla J, Matheny LM, Cram TR, Moulton SG, Dornan GJ, Mitchell JJ, LaPrade RF (2016) Posteromedially placed plates with anterior staple reinforcement are not successful in decreasing tibial slope in opening-wedge proximal tibial osteotomy. Knee Surg Sports Traumatol Arthrosc. doi:10.1007/s00167-016-4311-y

    PubMed  Article  Google Scholar 

  13. Dejour H, Neyret P, Boileau P, Donell ST (1994) Anterior cruciate reconstruction combined with valgus tibial osteotomy. Clin Orthop Relat Res 299:220–228

    Google Scholar 

  14. El-Azab H, Glabgly P, Paul J, Imhoff AB, Hinterwimmer S (2010) Patellar height and posterior tibial slope after open- and closed-wedge high tibial osteotomy: a radiological study on 100 patients. Am J Sports Med 38:323–329

    Article  PubMed  Google Scholar 

  15. El-Azab H, Halawa A, Anetzberger H, Imhoff AB, Hinterwimmer S (2008) The effect of closed- and open-wedge high tibial osteotomy on tibial slope: a retrospective radiological review of 120 cases. J Bone Joint Surg Br 90:1193–1197

    Article  PubMed  CAS  Google Scholar 

  16. Elmalı N, Esenkaya I, Can M, Karakaplan M (2013) Monoplanar versus biplanar medial open-wedge proximal tibial osteotomy for varus gonarthrosis: a comparison of clinical and radiological outcomes. Knee Surg Sports Traumatol Arthrosc 21:2689–2695

    Article  PubMed  Google Scholar 

  17. Elson DW, Petheram TG, Dawson MJ (2015) High reliability in digital planning of medial opening wedge high tibial osteotomy, using Miniaci’s method. Knee Surg Sports Traumatol Arthrosc 23:2041–2048

    Article  PubMed  CAS  Google Scholar 

  18. Esenkaya I, Unay K (2012) Proximal medial tibial biplanar retrotubercle open wedge osteotomy in medial knee arthrosis. Knee 19:416–421

    Article  PubMed  Google Scholar 

  19. Faul F, Erdfelder E, Lang A-G, Buchner A (2007) G*Power 3: a flexible statistical power analysis program for the social, behavioral, and biomedical sciences. Behav Res Methods 39:175–191

    Article  PubMed  Google Scholar 

  20. Feucht MJ, Mauro CS, Brucker PU, Imhoff AB, Hinterwimmer S (2013) The role of the tibial slope in sustaining and treating anterior cruciate ligament injuries. Knee Surg Sports Traumatol Arthrosc 21:134–145

    Article  PubMed  Google Scholar 

  21. Gaasbeek RDA, Sonneveld H, van Heerwaarden RJ, Jacobs WCH, Wymenga AB (2004) Distal tuberosity osteotomy in open wedge high tibial osteotomy can prevent patella infera: a new technique. Knee 11:457–461

    Article  PubMed  CAS  Google Scholar 

  22. Gstöttner M, Michaela G, Pedross F, Florian P, Liebensteiner M, Michael L, Bach C, Christian B (2008) Long-term outcome after high tibial osteotomy. Arch Orthop Trauma Surg 128:111–115

    Article  PubMed  Google Scholar 

  23. Hepp WR (1984) 2 new methods for determination of the height of patella. Z Orthop Ihre Grenzgeb 122:159–166

    Article  PubMed  CAS  Google Scholar 

  24. Hinterwimmer S, Beitzel K, Paul J, Kirchhoff C, Sauerschnig M, von Eisenhart-Rothe R, Imhoff AB (2011) Control of posterior tibial slope and patellar height in open-wedge valgus high tibial osteotomy. Am J Sports Med 39:851–856

    Article  PubMed  Google Scholar 

  25. Hoell S, Suttmoeller J, Stoll V, Fuchs S, Gosheger G (2005) The high tibial osteotomy, open versus closed wedge, a comparison of methods in 108 patients. Arch Orthop Trauma Surg 125:638–643

    Article  PubMed  CAS  Google Scholar 

  26. Hopwood S, Khan W, Agarwal S (2016) The biplanar open wedge high tibial osteotomy preserving the tibial tubercle. J Orthop Sci 21:786–790

    Article  PubMed  Google Scholar 

  27. Insall J, Salvati E (1971) Patella position in the normal knee joint. Radiology 101:101–104

    Article  PubMed  CAS  Google Scholar 

  28. Kaper BP, Bourne RB, Rorabeck CH, Macdonald SJ (2001) Patellar infera after high tibial osteotomy. J Arthroplasty 16:168–173

    Article  PubMed  CAS  Google Scholar 

  29. Kesmezacar H, Erginer R, Ogut T, Seyahi A, Babacan M, Tenekecioglu Y (2005) Evaluation of patellar height and measurement methods after valgus high tibial osteotomy. Knee Surg Sports Traumatol Arthrosc 13:539–544

    Article  PubMed  Google Scholar 

  30. Kolb W, Guhlmann H, Windisch C, Kolb K, Koller H, Grützner P (2009) Opening-wedge high tibial osteotomy with a locked low-profile plate. J Bone Joint Surg Am 91:2581–2588

    Article  PubMed  Google Scholar 

  31. Kyung BS, Kim JG, Jang K-M, Chang M, Moon Y-W, Ahn JH, Wang JH (2013) Are navigation systems accurate enough to predict the correction angle during high tibial osteotomy? Comparison of navigation systems with 3-dimensional computed tomography and standing radiographs. Am J Sports Med 41:2368–2374

    Article  PubMed  Google Scholar 

  32. Langlois J, Charles-Nelson A, Katsahian S, Beldame J, Lefebvre B, Bercovy M (2015) Predictors of flexion using the rotating concave–convex total knee arthroplasty: preoperative range of motion is not the only determinant. Knee Surg Sport Traumatol Arthrosc 23:1734–1740

    Article  Google Scholar 

  33. LaPrade RF, Oro FB, Ziegler CG, Wijdicks CA, Walsh MP (2010) Patellar height and tibial slope after opening-wedge proximal tibial osteotomy: a prospective study. Am J Sports Med 38:160–170

    Article  PubMed  Google Scholar 

  34. Lee YS, Kang JY, Lee MC, Oh WS, Elazab A, Song MK (2016) Effect of the osteotomy length on the change of the posterior tibial slope with a simple distraction of the posterior gap in the uni- and biplanar open-wedge high tibial osteotomy. Arthroscopy 32:263–271

    Article  PubMed  Google Scholar 

  35. Lerat JL, Moyen B, Garin C, Mandrino A, Besse JL, Brunet-Guedj E (1993) Anterior laxity and internal arthritis of the knee. Results of the reconstruction of the anterior cruciate ligament associated with tibial osteotomy. Rev Chir orthopédique réparatrice l’appareil Mot 79:365–374

    CAS  Google Scholar 

  36. Lobenhoffer P, Agneskirchner JD (2003) Improvements in surgical technique of valgus high tibial osteotomy. Knee Surg Sports Traumatol Arthrosc 11:132–138

    Article  PubMed  Google Scholar 

  37. Longino PD, Birmingham TB, Schultz WJ, Moyer RF, Giffin JR (2013) Combined tibial tubercle osteotomy with medial opening wedge high tibial osteotomy minimizes changes in patellar height: a prospective cohort study with historical controls. Am J Sports Med 41:2849–2857

    Article  PubMed  Google Scholar 

  38. Luyckx T, Didden K, Vandenneucker H, Labey L, Innocenti B, Bellemans J (2009) Is there a biomechanical explanation for anterior knee pain in patients with patella alta? Bone Joint J. 91:344–350

    CAS  Google Scholar 

  39. Marti CB, Gautier E, Wachtl SW, Jakob RP (2004) Accuracy of frontal and sagittal plane correction in open-wedge high tibial osteotomy. Arthroscopy 20:366–372

    Article  PubMed  Google Scholar 

  40. McLean SG, Oh YK, Palmer ML, Lucey SM, Lucarelli DG, Ashton-Miller JA, Wojtys EM (2011) The relationship between anterior tibial acceleration, tibial slope, and ACL strain during a simulated jump landing task. J Bone Joint Surg Am 93:1310–1317

    Article  PubMed  Google Scholar 

  41. Miniaci A, Ballmer FT, Ballmer PM, Jakob RP (1989) Proximal tibial osteotomy. A new fixation device. Clin Orthop Relat Res 246:250–259

    Google Scholar 

  42. Mont MA, Marker DR, Zywiel MG, Carrino JA (2011) Osteonecrosis of the knee and related conditions. J Am Acad Orthop Surg 19:482–494

    Article  PubMed  Google Scholar 

  43. Moon SW, Park SH, Lee BH, Oh M, Chang M, Ahn JH, Wang JH (2015) The effect of hinge position on posterior tibial slope in medial open-wedge high tibial osteotomy. Arthroscopy 31:1128–1133

    Article  PubMed  Google Scholar 

  44. Nerhus TK, Ekeland A, Solberg G, Sivertsen EA, Madsen JE, Heir S (2015) Radiological outcomes in a randomized trial comparing opening wedge and closing wedge techniques of high tibial osteotomy. Knee Surg Sports Traumatol Arthrosc 25:910–917

    Article  PubMed  Google Scholar 

  45. Nha K-W, Kim H-J, Ahn H-S, Lee D-H (2016) Change in posterior tibial slope after open-wedge and closed-wedge high tibial osteotomy: a meta-analysis. Am J Sports Med 44:3006–3013

    Article  PubMed  Google Scholar 

  46. Nishizawa Y, Matsumoto T, Kubo S, Muratsu H, Matsushita T, Oka S, Ishida K, Matsuzaki T, Nishida K, Akisue T, Kuroda R, Kurosaka M (2013) The influence of patella height on soft tissue balance in cruciate-retaining and posterior-stabilised total knee arthroplasty. Int Orthop 37:421–425

    Article  PubMed  Google Scholar 

  47. Noyes FR, Barber SD, Simon R (1993) High tibial osteotomy and ligament reconstruction in varus angulated, anterior cruciate ligament-deficient knees. A two- to seven-year follow-up study. Am J Sports Med 21:2–12

    Article  PubMed  CAS  Google Scholar 

  48. Noyes FR, Goebel SX, West J (2005) Opening wedge tibial osteotomy: the 3-triangle method to correct axial alignment and tibial slope. Am J Sports Med 33:378–387

    Article  PubMed  Google Scholar 

  49. Ozel O, Yucel B, Mutlu S, Orman O, Mutlu H (2017) Changes in posterior tibial slope angle in patients undergoing open-wedge high tibial osteotomy for varus gonarthrosis. Knee Surg Sports Traumatol Arthrosc 25:314–318

    Article  PubMed  Google Scholar 

  50. Pietrini SD, LaPrade RF, Griffith CJ, Wijdicks CA, Ziegler CG (2009) Radiographic identification of the primary posterolateral knee structures. Am J Sports Med 37:542–551

    Article  PubMed  Google Scholar 

  51. Portner O (2014) High tibial valgus osteotomy: closing, opening or combined? Patellar height as a determining factor. Clin Orthop Relat Res 472:3432–3440

    Article  PubMed  PubMed Central  Google Scholar 

  52. Rodner CM, Adams DJ, Diaz-Doran V, Tate JP, Santangelo SA, Mazzocca AD, Arciero RA (2006) Medial opening wedge tibial osteotomy and the sagittal plane: the effect of increasing tibial slope on tibiofemoral contact pressure. Am J Sports Med 34:1431–1441

    Article  PubMed  Google Scholar 

  53. Rossi R, Bonasia DE, Amendola A (2011) The role of high tibial osteotomy in the varus knee. J Am Acad Orthop Surg 19:590–599

    Article  PubMed  Google Scholar 

  54. Sariali E, Catonne Y (2009) Modification of tibial slope after medial opening wedge high tibial osteotomy: clinical study and mathematical modelling. Knee Surg Sports Traumatol Arthrosc 17:1172–1177

    Article  PubMed  Google Scholar 

  55. Sasaki H, Kubo S, Matsumoto T, Muratsu H, Matsushita T, Ishida K, Takayama K, Oka S, Kurosaka M, Kuroda R (2012) The influence of patella height on intra-operative soft tissue balance in posterior-stabilized total knee arthroplasty. Knee Surg Sport Traumatol Arthrosc 20:2191–2196

    Article  Google Scholar 

  56. Schaefer TK, Majewski M, Hirschmann MT, Friederich NF (2008) Comparison of sagittal and frontal plane alignment after open- and closed-wedge osteotomy: a matched-pair analysis. J Int Med Res 36:1085–1093

    Article  PubMed  CAS  Google Scholar 

  57. Scuderi GR, Windsor RE, Insall JN (1989) Observations on patellar height after proximal tibial osteotomy. J Bone Jt Surg 71:245–248

    Article  CAS  Google Scholar 

  58. Seil R, Müller B, Georg T, Kohn D, Rupp S (2000) Reliability and interobserver variability in radiological patellar height ratios. Knee Surg Sport Traumatol Arthrosc 8:231–236

    Article  CAS  Google Scholar 

  59. Song E-K, Seon J-K, Park S-J (2007) How to avoid unintended increase of posterior slope in navigation-assisted open-wedge high tibial osteotomy. Orthopedics 30:S127–S131

    PubMed  Google Scholar 

  60. Song I-H, Song E-K, Seo H-Y, Lee K-B, Yim J-H, Seon J-K (2012) Patellofemoral alignment and anterior knee pain after closing- and opening-wedge valgus high tibial osteotomy. Arthroscopy 28:1087–1093

    Article  PubMed  Google Scholar 

  61. Spahn G, Hofmann GO, von Engelhardt LV, Li M, Neubauer H, Klinger HM (2013) The impact of a high tibial valgus osteotomy and unicondylar medial arthroplasty on the treatment for knee osteoarthritis: a meta-analysis. Knee Surg Sports Traumatol Arthrosc 21:96–112

    Article  PubMed  Google Scholar 

  62. Wang JH, Bae JH, Lim HC, Shon WY, Kim CW, Cho JW (2009) Medial open wedge high tibial osteotomy: the effect of the cortical hinge on posterior tibial slope. Am J Sports Med 37:2411–2418

    Article  PubMed  Google Scholar 

  63. Weale AE, Murray DW, Newman JH, Ackroyd CE (1999) The length of the patellar tendon after unicompartmental and total knee replacement. J Bone Joint Surg Br 81:790–795

    Article  PubMed  CAS  Google Scholar 

  64. Windsor RE, Insall JN, Vince KG (1988) Technical considerations of total knee arthroplasty after proximal tibial osteotomy. J Bone Joint Surg Am 70:547–555

    Article  PubMed  CAS  Google Scholar 

  65. Yang J-H, Lee S-H, Nathawat KS, Jeon S-H, Oh K-J (2013) The effect of biplane medial opening wedge high tibial osteotomy on patellofemoral joint indices. Knee 20:128–132

    Article  PubMed  CAS  Google Scholar 

Download references

Author information

Affiliations

Authors

Contributions

MK, RA, and KHF designed the study. MK and RA directed its implementation and wrote the manuscript. MK, AK, AP, and TCD performed the data collection. KHF reviewed the manuscript. All authors read and approved the final manuscript.

Corresponding author

Correspondence to Karl-Heinz Frosch.

Ethics declarations

Conflict of interest

The authors declare that they have no conflict of interest.

Funding

This study was supported by Asklepios proresearch.

Ethical approval

All procedures performed in studies involving human participants were in accordance with the ethical standards of the institutional and/or national research committee and with the 1964 Helsinki declaration and its later amendments or comparable ethical standards.

Informed consent

Informed consent was obtained from all individual participants included in the study.

Rights and permissions

Reprints and Permissions

About this article

Verify currency and authenticity via CrossMark

Cite this article

Krause, M., Drenck, T.C., Korthaus, A. et al. Patella height is not altered by descending medial open-wedge high tibial osteotomy (HTO) compared to ascending HTO. Knee Surg Sports Traumatol Arthrosc 26, 1859–1866 (2018). https://doi.org/10.1007/s00167-017-4548-0

Download citation

  • Received:

  • Accepted:

  • Published:

  • Issue Date:

  • DOI: https://doi.org/10.1007/s00167-017-4548-0

Keywords

  • Varus knee malalignment
  • High tibial osteotomy
  • Ascending biplanar retrotubercule osteotomy
  • Descending biplanar retrotubercule osteotomy
  • Tibial slope
  • Patellar height