Abstract
Purpose
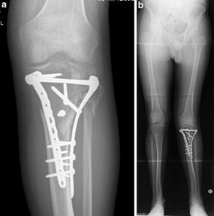
This study was conducted to examine the long-term survivorship and functional outcome of distal femoral varus osteotomy with fresh osteochondral allograft following failed lateral tibial plateau fracture surgery. We hypothesized that this procedure would be associated with a low rate of conversion to total knee arthroplasty (TKA) at medium to long-term follow-up.
Methods
A consecutive series of 27 of distal femoral varus osteotomy combined with fresh osteochondral allograft following (27 patients) conducted between January 1981 and January 2005 for failed lateral tibial plateau fracture was retrospectively reviewed. Outcome measures included the Knee Society Knee Score (KSKS) and Knee Society Function Score (KSFS) and conversion rates to TKA.
Results
The study group consisted of 15 females (55.6 %) and 12 males (44.4 %), with a median age of 41.2 years (range 17–62 years). The median follow-up was 13.3 years (range 2–31 years). The knee function scores improved significantly at 2 years post-surgery (p < 0.01) from a median of 54.6 points preoperatively to 83.8 points (KSKS) and median of 50.6 points to 71.1 points (KSFS) at 2 years post-distal femoral varus osteotomy with fresh osteochondral allograft following surgery. At most recent follow-up, 4/27 patients had required conversion to TKA, and one patient had fractured the FOCA, requiring revision of the allograft. The survivorship for distal femoral varus osteotomy with fresh osteochondral allograft following was 88.9 ± 4.6 % at 10 years, 71.4 ± 18.1 % at 15 years, and 23.8 ± 11.1 % at 20 years.
Conclusion
The use of distal femoral varus osteotomy combined with fresh osteochondral allograft following in patients with failed lateral tibial plateau fracture results in the majority of patients having good or excellent clinical outcomes and significantly delays the need for TKA in most patients.
Level of evidence
Case series, Level IV.




Similar content being viewed by others
References
Asif S, Choon DS (2005) Midterm results of cemented Press Fit Condylar Sigma total knee arthroplasty system. J Orthop Surg (Hong Kong) 13:280–284
Backstein D, Morag G, Hanna S, Safir O, Gross A (2007) Long-term follow-up of distal femoral varus osteotomy of the knee. J Arthroplasty 22:2–6
Bartlett W, Skinner JA, Gooding CR, Carrington RW, Flanagan AM, Briggs TW, Bentley G (2005) Autologous chondrocyte implantation versus matrix-induced autologous chondrocyte implantation for osteochondral defects of the knee: a prospective, randomised study. J Bone Joint Surg Br 87:640–645
Edgerton BC, Mariani EM, Morrey BF (1993) Distal femoral varus osteotomy for painful genu valgum. A five-to-11-year follow-up study. Clin Orthop Relat Res 288:263–269
Gardiner A, Richmond JC (2013) Periarticular osteotomies for degenerative joint disease of the knee. Sports Med Arthrosc 21:38–46
Honkonen SE (1995) Degenerative arthritis after tibial plateau fractures. J Orthop Trauma 9:273–277
Hutchison CR, Cho B, Wong N, Agnidis Z, Gross AE (1999) Proximal valgus tibial osteotomy for osteoarthritis of the knee. Instr Course Lect 48:131–134
Insall JN, Dorr LD, Scott RD, Scott WN (1989) Rationale of the Knee Society clinical rating system. Clin Orthop Relat Res 248:13–14
Insall JN, Joseph DM, Msika C (1984) High tibial osteotomy for varus gonarthrosis. A long-term follow-up study. J Bone Joint Surg Am 66:1040–1048
Kellgren JH, Lawrence JS (1957) Radiological assessment of osteo-arthrosis. Ann Rheum Dis 16:494–502
Kosashvili Y, Safir O, Gross A, Morag G, Lakstein D, Backstein D (2010) Distal femoral varus osteotomy for lateral osteoarthritis of the knee: a minimum ten-year follow-up. Int Orthop 34:249–254
Laprade RF, Spiridonov SI, Nystrom LM, Jansson KS (2012) Prospective outcomes of young and middle-aged adults with medial compartment osteoarthritis treated with a proximal tibial opening wedge osteotomy. Arthroscopy 28:354–364
Marti RK, Verhagen RA, Kerkhoffs GM, Moojen TM (2001) Proximal tibial varus osteotomy. Indications, technique, and five to twenty-one-year results. J Bone Joint Surg Am 83-A:164–170
Matthews LS, Goldstein SA, Malvitz TA, Katz BP, Kaufer H (1988) Proximal tibial osteotomy. Factors that influence the duration of satisfactory function. Clin Orthop Relat Res 229:193–200
Shasha N, Krywulak S, Backstein D, Pressman A, Gross AE (2003) Long-term follow-up of fresh tibial osteochondral allografts for failed tibial plateau fractures. J Bone Joint Surg Am 85-A(Suppl 2):33–39
Sprenger TR, Doerzbacher JF (2003) Tibial osteotomy for the treatment of varus gonarthrosis. Survival and failure analysis to twenty-two years. J Bone Joint Surg Am 85-A:469–474
Sternheim A, Garbedian S, Backstein D (2011) Distal femoral varus osteotomy: unloading the lateral compartment: long-term follow-up of 45 medial closing wedge osteotomies. Orthopedics 34:e488–e490
Tjornstrand BA, Egund N, Hagstedt BV (1981) High tibial osteotomy: a seven-year clinical and radiographic follow-up. Clin Orthop Relat Res 160:124–136
Vainionpaa S, Laike E, Kirves P, Tiusanen P (1981) Tibial osteotomy for osteoarthritis of the knee. A five to ten-year follow-up study. J Bone Joint Surg Am 63:938–946
Volpin G, Dowd GS, Stein H, Bentley G (1990) Degenerative arthritis after intra-articular fractures of the knee. Long-term results. J Bone Joint Surg Br 72:634–638
Wang JW, Hsu CC (2006) Distal femoral varus osteotomy for osteoarthritis of the knee. Surgical technique. J Bone Joint Surg Am 88(Suppl 1 Pt 1):100–108
Zaffagnini S, Bonanzinga T, Grassi A, Marcheggiani Muccioli GM, Musiani C, Raggi F, Iacono F, Vaccari V, Marcacci M (2013) Combined ACL reconstruction and closing-wedge HTO for varus angulated ACL-deficient knees. Knee Surg Sports Traumatol Arthrosc 21:934–941
Author information
Authors and Affiliations
Corresponding author
Rights and permissions
About this article
Cite this article
Drexler, M., Gross, A., Dwyer, T. et al. Distal femoral varus osteotomy combined with tibial plateau fresh osteochondral allograft for post-traumatic osteoarthritis of the knee. Knee Surg Sports Traumatol Arthrosc 23, 1317–1323 (2015). https://doi.org/10.1007/s00167-013-2828-x
Received:
Accepted:
Published:
Issue Date:
DOI: https://doi.org/10.1007/s00167-013-2828-x


